SDHAF2 Antibody
-
中文名稱:SDHAF2兔多克隆抗體
-
貨號:CSB-PA885749LA01HU
-
規格:¥440
-
圖片:
-
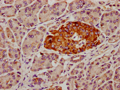
IHC image of CSB-PA885749LA01HU diluted at 1:300 and staining in paraffin-embedded human pancreatic tissue performed on a Leica BondTM system. After dewaxing and hydration, antigen retrieval was mediated by high pressure in a citrate buffer (pH 6.0). Section was blocked with 10% normal goat serum 30min at RT. Then primary antibody (1% BSA) was incubated at 4°C overnight. The primary is detected by a biotinylated secondary antibody and visualized using an HRP conjugated SP system.
-
Immunofluorescence staining of A549 cells with CSB-PA885749LA01HU at 1:100, counter-stained with DAPI. The cells were fixed in 4% formaldehyde, permeabilized using 0.2% Triton X-100 and blocked in 10% normal Goat Serum. The cells were then incubated with the antibody overnight at 4°C. The secondary antibody was Alexa Fluor 488-congugated AffiniPure Goat Anti-Rabbit IgG(H+L).
-
-
其他:
產品詳情
-
產品名稱:Rabbit anti-Homo sapiens (Human) SDHAF2 Polyclonal antibody
-
Uniprot No.:
-
基因名:SDHAF2
-
別名:Chromosome 11 open reading frame 79 antibody; FLJ20487 antibody; hSDH5 antibody; mitochondrial antibody; Paraganglioma or familial glomus tumors 2 antibody; PGL2 antibody; SDH assembly factor 2 antibody; SDH5 antibody; Sdhaf2 antibody; SDHF2_HUMAN antibody; Succinate dehydrogenase assembly factor 2, mitochondrial antibody; Succinate dehydrogenase subunit 5 antibody
-
宿主:Rabbit
-
反應種屬:Human
-
免疫原:Recombinant Human Succinate dehydrogenase assembly factor 2, mitochondrial protein (30-166AA)
-
免疫原種屬:Homo sapiens (Human)
-
標記方式:Non-conjugated
本頁面中的產品,SDHAF2 Antibody (CSB-PA885749LA01HU),的標記方式是Non-conjugated。對于SDHAF2 Antibody,我們還提供其他標記。見下表:
-
克隆類型:Polyclonal
-
抗體亞型:IgG
-
純化方式:>95%, Protein G purified
-
濃度:It differs from different batches. Please contact us to confirm it.
-
保存緩沖液:Preservative: 0.03% Proclin 300
Constituents: 50% Glycerol, 0.01M PBS, pH 7.4 -
產品提供形式:Liquid
-
應用范圍:ELISA, IHC, IF
-
推薦稀釋比:
Application Recommended Dilution IHC 1:200-1:500 IF 1:50-1:200 -
Protocols:
-
儲存條件:Upon receipt, store at -20°C or -80°C. Avoid repeated freeze.
-
貨期:Basically, we can dispatch the products out in 1-3 working days after receiving your orders. Delivery time maybe differs from different purchasing way or location, please kindly consult your local distributors for specific delivery time.
-
用途:For Research Use Only. Not for use in diagnostic or therapeutic procedures.
相關產品
靶點詳情
-
功能:Plays an essential role in the assembly of succinate dehydrogenase (SDH), an enzyme complex (also referred to as respiratory complex II) that is a component of both the tricarboxylic acid (TCA) cycle and the mitochondrial electron transport chain, and which couples the oxidation of succinate to fumarate with the reduction of ubiquinone (coenzyme Q) to ubiquinol. Required for flavinylation (covalent attachment of FAD) of the flavoprotein subunit SDHA of the SDH catalytic dimer.
-
基因功能參考文獻:
- Loss of SDHAF2 gene is associated with paragangliomas. PMID: 28099933
- The SDHA, TMEM127, MAX, and SDHAF2 genes contribute to hereditary pheochromocytoma and paraganglioma. PMID: 28384794
- data show that SDHA flavination is independent of SDHAF2 in breast cancer cells, employing an alternative mechanism. PMID: 27587393
- FAD interacts noncovalently with SDHA in the absence of SDH5 PMID: 27296776
- Autosomal dominant susceptibility for Paraganglioma is modified by imprinting and mutations in the SDHAF2 gene cause Paragangliomas only when the mutation is inherited from father. PMID: 24973967
- Loss of heterozygosity was found in more than 50 % of the von Hippel-Lindau-associated pheochromocytomas, and was correlated with a significant decrease (p < 0.05) in both SDHAF2 and SDHD mRNA expression, which may be suggestive of a pathogenic role. PMID: 24322175
- New mutation found in SDHAF2 gene in pheochromocytoma/paraganglioma patients. PMID: 24712571
- Data indicate that SDH5 is protected from mitochondrial LON (LONM)-mediated degradation in mitochondria by its stable interaction with SDHA, a state that is dysregulated in hereditary paraganglioma 2 (PGL2). PMID: 24414418
- Data indicate that succinate dehydrogenase 5 (SDH5) functions as a critical protein in regulating epithelial-mesenchymal transition (EMT) by modulating the glycogen synthase kinase (GSK)-3beta-beta-catenin signaling pathway. PMID: 23983127
- Studies indicate that mutations in the mitochondrial complex II structural subunit genes SDHB, SDHC and SDHD and the regulatory subunit gene SDHAF2 in many paraganglioma families. PMID: 23291190
- Studies indicate that an array of tumor syndromes caused by complex II-associated mutations in genes SDHA, SDHB, SDHC, SDHD, SDHAF1 and SDHAF2 have been identified over a decade. PMID: 23174333
- Studies indicate that the flavinylation factor Sdh5 (SDHAF2) provided insight into the possible mechanism associated with Sdh1 (SDHA) flavinylation. PMID: 23380393
- We established the SDHAF2 mutation status of PGL2 family members PMID: 21224366
- Somatic mutations of the SDHAF2 tumor suppressor gene are unlikely to frequently contribute to parathyroid tumor development in sporadic primary hyperparathyroidism. PMID: 20972721
- germline loss-of-function mutations in the SDH5 gene segregate with disease in a family with hereditary paraganglioma PMID: 19628817
顯示更多
收起更多
-
相關疾病:Paragangliomas 2 (PGL2)
-
亞細胞定位:Mitochondrion matrix.
-
蛋白家族:SDHAF2 family
-
數據庫鏈接:
Most popular with customers
-
-
YWHAB Recombinant Monoclonal Antibody
Applications: ELISA, WB, IHC, IF, FC
Species Reactivity: Human, Mouse, Rat
-
Phospho-YAP1 (S127) Recombinant Monoclonal Antibody
Applications: ELISA, WB, IHC
Species Reactivity: Human
-
-
-
-
-















