SDF4 Antibody
-
中文名稱:SDF4兔多克隆抗體
-
貨號:CSB-PA279846
-
規格:¥1100
-
圖片:
-
The image on the left is immunohistochemistry of paraffin-embedded Human esophagus cancer tissue using CSB-PA279846(SDF4 Antibody) at dilution 1/40, on the right is treated with fusion protein. (Original magnification: ×200)
-
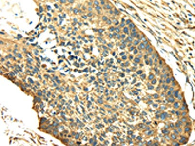
The image on the left is immunohistochemistry of paraffin-embedded Human thyroid cancer tissue using CSB-PA279846(SDF4 Antibody) at dilution 1/40, on the right is treated with fusion protein. (Original magnification: ×200)
-
-
其他:
產品詳情
-
Uniprot No.:
-
基因名:SDF4
-
別名:45 kDa calcium-binding protein antibody; Cab45 antibody; CAB45_HUMAN antibody; Calcium binding protein antibody; PSEC0034 antibody; SDF 4 antibody; SDF-4 antibody; SDF4 antibody; Stromal cell derived factor 4 antibody; Stromal cell-derived factor 4 antibody
-
宿主:Rabbit
-
反應種屬:Human,Mouse,Rat
-
免疫原:Fusion protein of Human SDF4
-
免疫原種屬:Homo sapiens (Human)
-
標記方式:Non-conjugated
-
抗體亞型:IgG
-
純化方式:Antigen affinity purification
-
濃度:It differs from different batches. Please contact us to confirm it.
-
保存緩沖液:-20°C, pH7.4 PBS, 0.05% NaN3, 40% Glycerol
-
產品提供形式:Liquid
-
應用范圍:ELISA,IHC
-
推薦稀釋比:
Application Recommended Dilution ELISA 1:2000-1:10000 IHC 1:30-1:150 -
Protocols:
-
儲存條件:Upon receipt, store at -20°C or -80°C. Avoid repeated freeze.
-
貨期:Basically, we can dispatch the products out in 1-3 working days after receiving your orders. Delivery time maybe differs from different purchasing way or location, please kindly consult your local distributors for specific delivery time.
-
用途:For Research Use Only. Not for use in diagnostic or therapeutic procedures.
相關產品
靶點詳情
-
功能:May regulate calcium-dependent activities in the endoplasmic reticulum lumen or post-ER compartment.; Isoform 5 may be involved in the exocytosis of zymogens by pancreatic acini.
-
基因功能參考文獻:
- Ca(2+)-dependent changes in Cab45 mediate sorting of specific cargo molecules at the trans-Golgi network. PMID: 27138253
- Data reveal that the ability of Cab45S to inhibit SERCA2b activity is crucial for its role as a modulator of cell proliferation and tumor growth. PMID: 25772237
- The obtained results indicate that the changes in gene expression in bone marrow progenitor cells can be involved into space flight-induced osteopenia. PMID: 25509878
- Cab45S, a novel regulator of GRP78/BiP, suppresses endoplasmic reticulum stress-induced IRE1 activation and apoptosis by binding to and elevating GRP78/BiP, and has a role in the inhibition of ER stress-induced apoptosis. PMID: 24810055
- Calcium is required for the retention of Cab45 in the Golgi membranes, where Cab45 binds secretory cargo in a calcium-dependent reaction. PMID: 23266954
- In a yeast two-hybrid screen the EF-hand Ca(2+)-binding protein Cab45 was identified as an interaction partner of Munc18b. PMID: 17442889
- SDF-2, SDF-4 and SDF-5 are expressed in mammary tissues and cells and that a reduced level of SDF-2 and SDF-4 are associated with a poor clinical outcome. PMID: 19513569
顯示更多
收起更多
-
亞細胞定位:[Isoform 1]: Golgi apparatus lumen.; [Isoform 5]: Cytoplasm. Cell membrane. Cell projection, bleb.
-
蛋白家族:CREC family
-
組織特異性:Ubiquitous. Isoform 5 is expressed in pancreas.
-
數據庫鏈接:
Most popular with customers
-
-
Phospho-YAP1 (S127) Recombinant Monoclonal Antibody
Applications: ELISA, WB, IHC
Species Reactivity: Human
-
-
-
-
-
-
VDAC1 Recombinant Monoclonal Antibody
Applications: ELISA, WB, IHC
Species Reactivity: Human, Mouse, Rat















