SCO2 Antibody
-
中文名稱:SCO2兔多克隆抗體
-
貨號:CSB-PA020853ESR2HU
-
規格:¥440
-
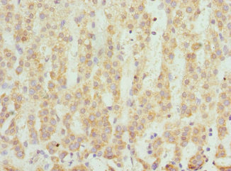
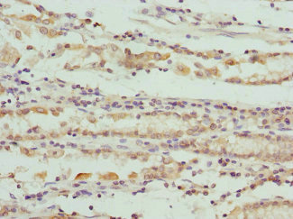
圖片:
-
其他:
產品詳情
-
產品名稱:Rabbit anti-Homo sapiens (Human) SCO2 Polyclonal antibody
-
Uniprot No.:
-
基因名:SCO2
-
別名:Cytochrome oxidase deficient homolog 2 antibody; MGC125823 antibody; MGC125825 antibody; OTTHUMP00000196774 antibody; OTTHUMP00000196775 antibody; Protein SCO2 homolog; mitochondrial antibody; SCO (cytochrome oxidase deficient; yeast) homolog 2 antibody; SCO 1L antibody; SCO 2 antibody; SCO cytochrome oxidase deficient homolog 2 (yeast) antibody; SCO cytochrome oxidase deficient homolog 2 antibody; SCO1L antibody; SCO2 antibody; SCO2_HUMAN antibody; Synthesis of cytochrome c oxidase 2 antibody
-
宿主:Rabbit
-
反應種屬:Human
-
免疫原:Recombinant Human Protein SCO2 homolog, mitochondrial protein (1-130AA)
-
免疫原種屬:Homo sapiens (Human)
-
標記方式:Non-conjugated
-
克隆類型:Polyclonal
-
抗體亞型:IgG
-
純化方式:Antigen Affinity Purified
-
濃度:It differs from different batches. Please contact us to confirm it.
-
保存緩沖液:PBS with 0.02% sodium azide, 50% glycerol, pH7.3.
-
產品提供形式:Liquid
-
應用范圍:ELISA, IHC
-
推薦稀釋比:
Application Recommended Dilution IHC 1:20-1:200 -
Protocols:
-
儲存條件:Upon receipt, store at -20°C or -80°C. Avoid repeated freeze.
-
貨期:Basically, we can dispatch the products out in 1-3 working days after receiving your orders. Delivery time maybe differs from different purchasing way or location, please kindly consult your local distributors for specific delivery time.
-
用途:For Research Use Only. Not for use in diagnostic or therapeutic procedures.
相關產品
靶點詳情
-
功能:Copper metallochaperone essential for the synthesis and maturation of cytochrome c oxidase subunit II (MT-CO2/COX2). Involved in transporting copper to the Cu(A) site on MT-CO2/COX2. Also acts as a thiol-disulfide oxidoreductase to regulate the redox state of the cysteines in SCO1 during maturation of MT-CO2/COX2.
-
基因功能參考文獻:
- We identified one novel possibility of an extreme myopia-causing mutation in SCO2. No other disease-causing mutation was found in 101 extremely myopic Japanese patients, suggesting that SCO2 plays a limited role in Japanese extreme myopia. PMID: 27052445
- In gastric cancer, the expression of SCO2 and COX were not shown to be associated with the regulatory role of p53, unlike TIGAR expression. Nevertheless, a significantly high recurrence rate was found in a patient group with high COX expression PMID: 27499152
- oxidative stress-induced glycolysis-to-OXPHOS switch is mediated by synthesis of cytochrome c oxidase 2 (SCO2). These findings demonstrate p53-mediated OXPHOS function as a compensatory alteration in Fanconi anemia (FA)hematopoietic stem cells to ensure a functional but mildly impaired energy metabolism and suggest a cautious approach to manipulating p53 signaling in FA. PMID: 26676373
- Geranylgeranoic acid increased the SCO2 gene expression, which might enhance aerobic respiration. PMID: 26700591
- oncoprotein HBXIP enhances glucose metabolism reprogramming through suppressing SCO2 and PDHA1 in breast cancer PMID: 26309161
- Cooperation between COA6 and SCO2 in COX2 maturation during cytochrome c oxidase assembly links two mitochondrial cardiomyopathies. PMID: 25959673
- Sco1 is a metallochaperone that selectively transfers Cu(I) ions based on loop recognition, whereas Sco2 is a copper-dependent thiol reductase of the cysteine ligands in the oxidase. PMID: 26351686
- Letter/Case Report: SCO2 mutations resulting in Leigh disease revealed at autopsy. PMID: 25720770
- mutation in LRPAP1 is associated with high myopia. Further studies are expected to evaluate the pathogenicity of the variants in CTSH, LEPREL1, ZNF644, SLC39A5, and SCO2. PMID: 25525168
- COX20 cooperates with SCO1 and SCO2 to mature COX2 and promote the assembly of cytochrome c oxidase. PMID: 24403053
- alpha-particle-induced bystander effect is regulated by p53 and its downstream SCO2 in the irradiated hepatoma cells PMID: 23786650
- oroxylin A could increase protein and mRNA expression of TP53-induced glycolysis and apoptosis regulator (TIGAR) and synthesis of cytochrome c oxidase 2 (SCO2), which are the key metabolic modulators regulated by p53. PMID: 23612020
- Autosomal recessive mutations in SCO2 are known to be associated with COX deficiency recognized as fatal infantile cardio-encephalomyopathy PMID: 23364397
- Exogenous addition of the SCO2 gene to hypoxic cancer cells and hypoxic tumors induces apoptosis. PMID: 23319048
- Mutations in SCO2 are associated with autosomal-dominant high-grade myopia. PMID: 23643385
- Analysis of the mtDNA revealed that COX deficiency is caused by high levels of mtDNA deletions which accumulate with age in alzheimer disease. PMID: 21925769
- wild-type p53 gene silencing reduced the expression of synthesis of cytochrome c oxidase 2 (SCO2), an effector necessary for respiratory chain function PMID: 22120717
- These results suggest that p53 can modulate the metabolic pathways via the proteins SCO2 and TIGAR in human breast cancer. PMID: 21820150
- Results describe the tissue distribution of SCO1 and SCO2 in mouse and human tissues. PMID: 20864674
- Mutations of SCO2 gene should be considered as a possible cause of neurogenic skeletal muscle features (including SMA-like) in infants with encephalomyopathy even in the absence of heart involvement and COX deficit. PMID: 19879173
- recombinant fusion L-Sco2 protein was successfully transduced into the mitochondria of primary fibroblasts derived from SCO2/COX deficient patient and facilitated recovery of COX activity PMID: 20193760
- Mutations can cause fatal cytochrome c oxidase deficiency. Affected myoblasts can be rescued in vitro by transduction of the normal SCO2 gene or by copper administration. PMID: 11751685
- Copper supplementation restores cytochrome c oxidase activity in cultured cells from patients with SCO2 mutations. PMID: 11931660
- One novel SCO2 mutation has been identified in a patient with hypertrophic cardiomyopathy. PMID: 12538779
- SCO2 mutation is associated spinal muscular atrophy type I phenotype PMID: 14994243
- SCO2 transfers copper to the CuA site at an early stage of COX assembly in mitochondria. PMID: 15229189
- The consequences of SCO2 and SURF1 mutations suggest the existence of tissue-specific functional differences of these proteins that may serve different tissue-specific requirements for the regulation of COX biogenesis. PMID: 16083427
- data suggest that both Cu(I) and Cu(II) binding are critical for normal Sco function. PMID: 16091356
- findings show that p53 modulates the balance between the utilization of respiratory and glycolytic pathways; identifed Synthesis of Cytochrome c Oxidase 2 (SCO2) as the downstream mediator of this effect PMID: 16728594
- These results suggest a mitochondrial pathway for the regulation of cellular copper content that involves signaling through SCO1 and SCO2, perhaps by their thiol redox or metal-binding state. PMID: 17189203
- structural and metal binding features of human Cu(I)Sco2 are similar to the Sco1 homolog, although the dynamic properties and the conformational disorder are quite different when apo forms and the copper(I)-loaded forms of the two proteins are compared PMID: 17850752
- report extends knowledge of the pathology of COX deficiency caused by mutations in the SCO2 gene PMID: 18254779
- Spinal muscular atrophy has been associated with mtDNA depletion or with mutations in the cytochrome-c oxidase assembly gene (SCO2; OMIM 604377). PMID: 18332255
- Mutations in the SCO2 gene are a cause of prenatal-onset hypertrophic cardiomyopathy. PMID: 18924171
- SCO2 acts upstream of SCO1, and that it is indispensable for CO II synthesis. PMID: 19336478
- observations confirm that mutations in the SCO2 gene are frequently associated with the neurogenic pattern of skeletal muscle involvement accompanied by mitochondrial abnormalities PMID: 19353431
顯示更多
收起更多
-
相關疾病:Cardioencephalomyopathy, fatal infantile, due to cytochrome c oxidase deficiency 1 (CEMCOX1); Myopia 6 (MYP6); Leigh syndrome (LS)
-
亞細胞定位:Mitochondrion inner membrane; Single-pass membrane protein.
-
蛋白家族:SCO1/2 family
-
組織特異性:Ubiquitous.
-
數據庫鏈接:
Most popular with customers
-
-
YWHAB Recombinant Monoclonal Antibody
Applications: ELISA, WB, IHC, IF, FC
Species Reactivity: Human, Mouse, Rat
-
Phospho-YAP1 (S127) Recombinant Monoclonal Antibody
Applications: ELISA, WB, IHC
Species Reactivity: Human
-
-
-
-
-















