-
中文名稱:SCFD1兔多克隆抗體
-
貨號:CSB-PA840987ESR2HU
-
規格:¥440
-
圖片:
-
Western blot
All lanes: SCFD1 antibody at 2.92µg/ml
Lane 1: Hela whole cell lysate
Lane 2: A549 whole cell lysate
Secondary
Goat polyclonal to rabbit IgG at 1/10000 dilution
Predicted band size: 73, 63, 66 kDa
Observed band size: 73 kDa -
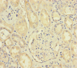
Immunohistochemistry of paraffin-embedded human kidney tissue using CSB-PA840987ESR2HU at dilution of 1:100
-
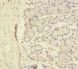
Immunohistochemistry of paraffin-embedded human pancreatic tissue using CSB-PA840987ESR2HU at dilution of 1:100
-
-
其他:
產品詳情
-
產品名稱:Rabbit anti-Homo sapiens (Human) SCFD1 Polyclonal antibody
-
Uniprot No.:
-
基因名:SCFD1
-
別名:C14orf163 antibody; Chromosome 14 open reading frame 163 antibody; RA410 antibody; Scfd1 antibody; SCFD1_HUMAN antibody; Sec1 family domain containing 1 antibody; Sec1 family domain-containing protein 1 antibody; SLY1 antibody; SLY1 homolog antibody; Sly1p antibody; STXBP1L2 antibody; Syntaxin binding protein 1 like 2 antibody; Syntaxin-binding protein 1-like 2 antibody; Vesicle transport related protein antibody
-
宿主:Rabbit
-
反應種屬:Human
-
免疫原:Recombinant Human Sec1 family domain-containing protein 1 protein (373-642AA)
-
免疫原種屬:Homo sapiens (Human)
-
標記方式:Non-conjugated
-
克隆類型:Polyclonal
-
抗體亞型:IgG
-
純化方式:Antigen Affinity Purified
-
濃度:It differs from different batches. Please contact us to confirm it.
-
保存緩沖液:PBS with 0.02% sodium azide, 50% glycerol, pH7.3.
-
產品提供形式:Liquid
-
應用范圍:ELISA, WB, IHC
-
推薦稀釋比:
Application Recommended Dilution WB 1:1000-1:5000 IHC 1:20-1:200 -
Protocols:
-
儲存條件:Upon receipt, store at -20°C or -80°C. Avoid repeated freeze.
-
貨期:Basically, we can dispatch the products out in 1-3 working days after receiving your orders. Delivery time maybe differs from different purchasing way or location, please kindly consult your local distributors for specific delivery time.
-
用途:For Research Use Only. Not for use in diagnostic or therapeutic procedures.
引用文獻
- ER-to-Golgi trafficking of procollagen III via conventional vesicular and tubular carriers Y Hirata,Molecular biology of the cell,2023
相關產品
靶點詳情
-
功能:Plays a role in SNARE-pin assembly and Golgi-to-ER retrograde transport via its interaction with COG4. Involved in vesicular transport between the endoplasmic reticulum and the Golgi.
-
基因功能參考文獻:
- Mutation in SCFD1 gene is associated with amyotrophic lateral sclerosis. PMID: 27455348
- Study shows that the SM protein, Sly1, interacts directly with the conserved oligomeric Golgi (COG) tethering complex; Sly1-COG interaction is mediated by the Cog4 subunit, which also interacts with Syntaxin 5 through a different binding site. PMID: 19536132
-
亞細胞定位:Cytoplasm. Endoplasmic reticulum membrane; Peripheral membrane protein. Golgi apparatus, Golgi stack membrane; Peripheral membrane protein.
-
蛋白家族:STXBP/unc-18/SEC1 family
-
數據庫鏈接:
Most popular with customers
-
-
Phospho-YAP1 (S127) Recombinant Monoclonal Antibody
Applications: ELISA, WB, IHC
Species Reactivity: Human
-
-
-
-
-
-















