SCAP Antibody
-
中文名稱:SCAP兔多克隆抗體
-
貨號:CSB-PA180985
-
規格:¥1100
-
圖片:
-
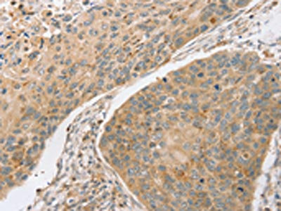
The image on the left is immunohistochemistry of paraffin-embedded Human esophagus cancer tissue using CSB-PA180985(SCAP Antibody) at dilution 1/20, on the right is treated with fusion protein. (Original magnification: ×200)
-
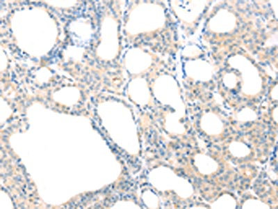
The image on the left is immunohistochemistry of paraffin-embedded Human thyroid cancer tissue using CSB-PA180985(SCAP Antibody) at dilution 1/20, on the right is treated with fusion protein. (Original magnification: ×200)
-
-
其他:
產品詳情
-
Uniprot No.:
-
基因名:
-
別名:KIAA0199 antibody; SCAP antibody; SCAP_HUMAN antibody; SREBF chaperone antibody; SREBF chaperone protein antibody; SREBP cleavage activating protein antibody; SREBP cleavage-activating protein antibody; Sterol regulatory element binding protein cleavage-activating protein antibody; Sterol regulatory element-binding protein cleavage-activating protein antibody
-
宿主:Rabbit
-
反應種屬:Human,Mouse,Rat
-
免疫原:Fusion protein of Human SCAP
-
免疫原種屬:Homo sapiens (Human)
-
標記方式:Non-conjugated
-
抗體亞型:IgG
-
純化方式:Antigen affinity purification
-
濃度:It differs from different batches. Please contact us to confirm it.
-
保存緩沖液:-20°C, pH7.4 PBS, 0.05% NaN3, 40% Glycerol
-
產品提供形式:Liquid
-
應用范圍:ELISA,IHC
-
推薦稀釋比:
Application Recommended Dilution ELISA 1:2000-1:5000 IHC 1:25-1:100 -
Protocols:
-
儲存條件:Upon receipt, store at -20°C or -80°C. Avoid repeated freeze.
-
貨期:Basically, we can dispatch the products out in 1-3 working days after receiving your orders. Delivery time maybe differs from different purchasing way or location, please kindly consult your local distributors for specific delivery time.
-
用途:For Research Use Only. Not for use in diagnostic or therapeutic procedures.
相關產品
靶點詳情
-
功能:Escort protein required for cholesterol as well as lipid homeostasis. Regulates export of the SCAP-SREBP complex from the endoplasmic reticulum to the Golgi upon low cholesterol, thereby regulating the processing of sterol regulatory element-binding proteins (SREBPs) SREBF1/SREBP1 and SREBF2/SREBP2. At high sterol concentrations, formation of a ternary complex with INSIG (INSIG1 or INSIG2) leads to mask the ER export signal in SCAP, promoting retention of the complex in the endoplasmic reticulum. Low sterol concentrations trigger release of INSIG, a conformational change in the SSD domain of SCAP, unmasking of the ER export signal, promoting recruitment into COPII-coated vesicles and transport of the SCAP-SREBP to the Golgi: in the Golgi, SREBPs are then processed, releasing the transcription factor fragment of SREBPs from the membrane, its import into the nucleus and up-regulation of LDLR, INSIG1 and the mevalonate pathway. Binds cholesterol via its SSD domain.
-
基因功能參考文獻:
- Polymorphism in SCAP gene is associated with high blood pressure. PMID: 28542467
- These insights suggest a new structural model for cholesterol-mediated regulation of Scap activity. PMID: 28377508
- The genetic polymorphisms of SREBF1 could play a role in the mechanism for interindividual variation of atypical antipsychotics-induced metabolic syndrome (MetS). SCAP polymorphisms with drug-induced MetS were negative in this study. PMID: 26982812
- this study uncovered a novel function of SCAP of counteracting the inhibitory action of Dengue Virus NS2B3 protease on STING signaling, suggesting that modulation of SCAP levels may have therapeutic implications. PMID: 28228593
- Data indicate that glucose-mediated glycosylation promotes SREBP cleavage-activating protein (SCAP) trafficking to the Golgi Leading to sterol regulatory element binding protein 1 (SREBP-1) activation. PMID: 26555173
- identified interaction of three genes in INSIG-SCAP-SREBP pathway on risk of obesity, revealing that these genes affect obesity more likely through a complex interaction pattern than single gene effect. PMID: 25028659
- Enhanced SCAP glycosylation by inflammation induces macrophage foam cell formation. PMID: 24146768
- SCAP gene polymorphisms decrease the risk of nonalcoholic fatty liver disease in females with metabolic syndrome. PMID: 24371177
- SREBP cleavage regulates Golgi-to-endoplasmic reticulum recycling of SREBP cleavage-activating protein (SCAP) PMID: 24478315
- A point mutation in Scap Loop 7 prevents interaction with Loop 1 and abolishes endoplasmic reticulum exit. PMID: 23564452
- the SCAP/SREBP signaling axis has a role in protecting cancer cells from lipotoxicity PMID: 23440422
- Data indicate that SREBP-2 and Scap are regulated by factors driving prostate growth, and suggest exploring this observation further could shed light on prostate carcinogenesis. PMID: 23454642
- could not identify any association between SREBF-2 1784G > C or SCAP 2386A > G SNPs and premature coronary artery disease or extent of coronary lesions in a Chinese population. PMID: 20111910
- TNF alpha upregulates the expression of SCAP and promotes the synthesis of triglyceride in cultured steatotic hepatocytes. PMID: 17963605
- Required for sterol-regulated transport of SREBPs from ER to Golgi. PMID: 12842885
- A possible gene-gene interaction between the genes encoding SREBP-2 and SCAP that modulate plasma lipids in a strictly gender-specific fashion. PMID: 16466730
- SCAP polymorphism appeared to modify the associations of SREBF-2 genotype with myocardial infarction risk among men. PMID: 17383658
顯示更多
收起更多
-
亞細胞定位:Endoplasmic reticulum membrane; Multi-pass membrane protein. Golgi apparatus membrane; Multi-pass membrane protein. Cytoplasmic vesicle, COPII-coated vesicle membrane; Multi-pass membrane protein.
-
蛋白家族:WD repeat SCAP family
-
數據庫鏈接:
Most popular with customers
-
-
YWHAB Recombinant Monoclonal Antibody
Applications: ELISA, WB, IHC, IF, FC
Species Reactivity: Human, Mouse, Rat
-
Phospho-YAP1 (S127) Recombinant Monoclonal Antibody
Applications: ELISA, WB, IHC
Species Reactivity: Human
-
-
-
-
-















