S100A6 Antibody
-
中文名稱:S100A6兔多克隆抗體
-
貨號:CSB-PA271363
-
規格:¥1100
-
圖片:
-
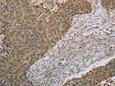
The image on the left is immunohistochemistry of paraffin-embedded Human liver cancer tissue using CSB-PA271363(S100A6 Antibody) at dilution 1/35, on the right is treated with synthetic peptide. (Original magnification: ×200)
-
The image on the left is immunohistochemistry of paraffin-embedded Human esophagus cancer tissue using CSB-PA271363(S100A6 Antibody) at dilution 1/35, on the right is treated with synthetic peptide. (Original magnification: ×200)
-
-
其他:
產品詳情
-
Uniprot No.:
-
基因名:S100A6
-
別名:2A9 antibody; 5B10 antibody; CABP antibody; CACY antibody; Calcyclin antibody; Growth factor inducible protein 2A9 antibody; Growth factor-inducible protein 2A9 antibody; MLN 4 antibody; MLN4 antibody; OTTHUMP00000015472 antibody; OTTHUMP00000015473 antibody; PRA antibody; PRAGrowth factor inducible protein 2A9 antibody; Prolactin receptor associated protein antibody; Prolactin receptor-associated protein antibody; Protein S100 A6 antibody; Protein S100-A6 antibody; S100 A6 antibody; S100 calcium binding protein A6 (calcyclin) antibody; S100 calcium binding protein A6 antibody; S100 calcium-binding protein A6 antibody; S100A6 antibody; S10A6_HUMAN antibody
-
宿主:Rabbit
-
反應種屬:Human,Mouse,Rat
-
免疫原:Synthetic peptide of Human S100A6
-
免疫原種屬:Homo sapiens (Human)
-
標記方式:Non-conjugated
-
抗體亞型:IgG
-
純化方式:Antigen affinity purification
-
濃度:It differs from different batches. Please contact us to confirm it.
-
保存緩沖液:-20°C, pH7.4 PBS, 0.05% NaN3, 40% Glycerol
-
產品提供形式:Liquid
-
應用范圍:ELISA,IHC
-
推薦稀釋比:
Application Recommended Dilution ELISA 1:1000-1:2000 IHC 1:25-1:100 -
Protocols:
-
儲存條件:Upon receipt, store at -20°C or -80°C. Avoid repeated freeze.
-
貨期:Basically, we can dispatch the products out in 1-3 working days after receiving your orders. Delivery time maybe differs from different purchasing way or location, please kindly consult your local distributors for specific delivery time.
-
用途:For Research Use Only. Not for use in diagnostic or therapeutic procedures.
相關產品
靶點詳情
-
功能:May function as calcium sensor and modulator, contributing to cellular calcium signaling. May function by interacting with other proteins, such as TPR-containing proteins, and indirectly play a role in many physiological processes such as the reorganization of the actin cytoskeleton and in cell motility. Binds 2 calcium ions. Calcium binding is cooperative.
-
基因功能參考文獻:
- aberrant S100A16 expression might be modulated by its DNA hypomethylation and serves as an independent prognostic indicator of unfavorable overall survival and recurrence-free survival in non-small cell lung adenocarcinoma PMID: 29746588
- High expression of S100A6 in ICC defines a special group of patients with worse clinical characteristics and outcomes. Besides, S100A6 may promote ICC proliferation via activating p38/MAPK pathway. PMID: 28984474
- The results suggest that binding of S100A6 to integrin beta1 affects cell adhesion/proliferation due to activation of ILK and FAK signaling pathways. PMID: 29020611
- Authors demonstrated that the expression of S100A6 was significantly associated with patient age and tumor differentiation. PMID: 29053662
- Data show that S100 calcium binding protein A6 (S100A6) is required for the Ca2+-dependent nuclear translocation of calcyclin binding protein (CacyBP/SIP) in colon cancer SW480 cells. PMID: 29534068
- Isothermal titration calorimetry measured the binding of peptides with diverse sequence and biochemistry to human S100A5 and S110A6. These proteins bound distinct, but overlapping, sets of peptide targets. The specificity of S100 peptide interfaces is likely important for the biology of these proteins. PMID: 29240404
- S100A6 is a potential risk marker for screening of cholangiocarcinoma. PMID: 29629840
- The S100A6 interacts with FOR20 and related centrosomal proteins through a conserved N-terminal domain, suggesting a novel Ca(2+)-dependent regulation of centrosomal function. PMID: 28765046
- REVIEW: summary of novel discoveries concerning S100A6 targets, its involvement in cellular signaling pathways, and presence in stem/progenitor cells, extracellular matrix and body fluids of diseased patients PMID: 28343163
- Results showed that S100A6 was markedly up-regulated in nasopharyngeal carcinoma (NPC) tissues and cell lines and, may promote NPC development via the activation of p38/MAPK signaling pathways. PMID: 27596819
- As an intracellular protein, S100A6 has been implicated in the regulation of several cellular functions, such as proliferation, apoptosis, the cytoskeleton dynamics, and the cellular response to different stress factors. S100A6 can be secreted/released by certain cell types which points to extracellular effects of the protein. [review] PMID: 28417162
- suppression of S100A6 expression with RNAi significantly decreased the expression levels of beta-catenin, inhibited the growth and migration of eutopic endometrial stromal cells, and promoted their apoptosis. PMID: 28075439
- Study reports the crystallographic structure of an S100-bound full-length RAGE ectodomain. The structure reveals a unique dimeric conformation of RAGE, which appears suited for signal transduction, and shows that the S100A6 protein adopts a non-canonical homodimeric arrangement. PMID: 27818100
- STAT1 suppression by S100A6 may represent a promising therapeutic target to facilitate reendothelialization in damaged vessels. PMID: 27386938
- findings strongly suggest that S100A6 may promote OS cell proliferation and OS tumor growth at least in part by facilitating cell cycle progression, preventing apoptosis, and inhibiting osteogenic differentiation PMID: 26646427
- S100A6 induces EMT and promotes cell migration and invasion in a beta-catenin-dependent manner. PMID: 25799022
- Weak or absent S100A6 staining supports a diagnosis of pilar leiomyoma, whereas strong positive staining supports a diagnosis of cutaneous leiomyosarcoma. PMID: 26238340
- Elevated S100A6 enhances tumorigenesis and suppresses CXCL14-induced apoptosis in clear cell renal cell carcinoma. PMID: 25760073
- Applying this serum marker to clinical practice would require less-invasive examinations of patients and would help to detect life-threatening cancerous lesions earlier than current modalities. PMID: 25743341
- Results obtained proved that increased S100A6 content in keratinocytes dramatically changed the pace and extent of epidermal differentiation PMID: 25450463
- High-level S100A6 promotes metastasis and predicts the outcome of T1-T2 stage in clear cell renal cell carcinoma PMID: 25120023
- Data indicate that the interaction between S100A6 and integrin beta1, was confirmed by ELISA. PMID: 25256682
- In Wharton's jelly of preeclamptic tissue S100 calcium binding protein A6(S100A6) is up-regulated and binds to different targets than in control suggesting involvement in development of preeclampsia PMID: 24746261
- Following myocardial infarction, S100A6 expression levels increased in cardiomyocytes. PMID: 23844739
- S100A6 may be involved in promotion and progression of human liver cancer. PMID: 24281831
- Expression of S100A6 and MMP9 in combination is associated with the development of squamous cell carcinoma. PMID: 23993025
- S100A6 and the TAZ2 domain of p300 bind p53 with similar affinities and S100A6 effectively competes with TAZ2 for binding to p53. PMID: 23796514
- The S100A6 mutant protein interacts with the RAGE V domain in a symmetrical fashion forming a heterotetrameric complex. PMID: 23537648
- native S1006 seeds SOD1 aggregation, shortening its nucleation process. This suggests a cross-talk between these two proteins involved in ALS. PMID: 23076148
- Results show strong correlations between mRNA levels of PRA and PRB, protein levels of hormone receptors, HER/ErbB receptors and ligands network, and suggest that crosstalks between PR and the HER family are a hallmark of breast cancer growth. PMID: 22505232
- Depletion of endothelial S100A6 levels also elevated beta-galactosidase expression, which is an important hallmark of cellular senescence and exit from the mammalian cell cycle PMID: 23095053
- Upregulated expression of S100A6 is associated with gastric cancer. PMID: 22681645
- Introduced a simple and efficient method for producing high-purity recombinant human S100A6 from Escherichia coli culture with low level of endotoxin. We further demonstrated its biological activities for triggering SH-SY5Y cells apoptosis in vitro. PMID: 22450162
- S100A6 interacts with lamin A/C, a protein known to be implicated in colon carcinogenesis. PMID: 22560296
- the overexpression of thioredoxin,S100-A10 and S100-A6 specifically distinguished metastatic from non-metastatic tumors PMID: 21938494
- new insight into the interaction between S100 proteins and CacyBP/SIP PMID: 22295074
- Calcyclin was identified to be underexpressed in small cell lung cancers, as compared with non-small cell lung cancers and normal lung tissue. PMID: 22192801
- results show the presence of S100A6 in umbilical cord and suggest the involvement of this protein in intra- and extra-cellular signalling pathways in this tissue PMID: 21923636
- S100A6 is necessary for nuclear translocation of the Sgt1 protein PMID: 20213445
- Serum levels of S100B, S100A6 and S100P are associated with acute coronary syndrome, and serum levels and myocardial expression of these proteins are related to infarct size. PMID: 21663912
- In melanocytic neoplasms composed of small spindle cells, patchy S100A6 staining should not be interpreted as evidence of supporting a diagnosis of melanoma PMID: 21039744
- Results suggested that S100A6 plays an important role in the progression of gastric cancer, affecting patient prognosis, and is up-regulated by epigenetic regulation. PMID: 20581057
- This study supports a role of S100A6 in thyroid tumorigenesis and as a potential aid in the discrimination between follicular thyroid tumors and papillary thyroid carcinoma. PMID: 20629554
- S100A6 expression decreases along with cancerization in oral squamous cell carcinoma. PMID: 20596636
- S100A6 expression level in cancer and metastatic lymph node was significantly higher than their matched non-neoplastic mucosa. S100A6 overexpression was associated with larger tumor size and deeper invasion. PMID: 19062716
- S100A6 concentration predicts peritoneal tumor burden in mice with epithelial ovarian cancer and is associated with advanced stage in patients PMID: 19888321
- Proteomic profiling in distinct cellular compartments led to the identification of a novel p53-dependent biomarker of telomere dysfunction, S100A6. PMID: 19834903
- findings suggest that up-regulation of FRalpha gene and calcyclin gene expressions induced by Allitridi may play an important role in human gastric cancer cell differentiation PMID: 11925593
- Results are consistent with S100A6, and most likely other S100 proteins, functioning as Ca(2+) sensors in a way analogous to the prototypical sensors calmodulin and troponin C. PMID: 11937060
- Sgt1 binds to S100A6 in a calcium-regulated manner PMID: 12746458
顯示更多
收起更多
-
亞細胞定位:Nucleus envelope. Cytoplasm. Cell membrane; Peripheral membrane protein; Cytoplasmic side.
-
蛋白家族:S-100 family
-
數據庫鏈接:
Most popular with customers
-
YWHAB Recombinant Monoclonal Antibody
Applications: ELISA, WB, IHC, IF, FC
Species Reactivity: Human, Mouse, Rat
-
Phospho-YAP1 (S127) Recombinant Monoclonal Antibody
Applications: ELISA, WB, IHC
Species Reactivity: Human
-
-
-
-
-
-















