RUVBL2 Antibody
-
中文名稱:RUVBL2兔多克隆抗體
-
貨號:CSB-PA897459LA01HU
-
規格:¥440
-
圖片:
-
Western Blot
Positive WB detected in: K562 whole cell lysate, HepG2 whole cell lysate, Rat liver tissue, Mouse brain tissue
All lanes: RUVBL2 antibody at 2.4μg/ml
Secondary
Goat polyclonal to rabbit IgG at 1/50000 dilution
Predicted band size: 52, 47 kDa
Observed band size: 52 kDa -
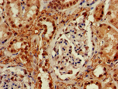
IHC image of CSB-PA897459LA01HU diluted at 1:600 and staining in paraffin-embedded human kidney tissue performed on a Leica BondTM system. After dewaxing and hydration, antigen retrieval was mediated by high pressure in a citrate buffer (pH 6.0). Section was blocked with 10% normal goat serum 30min at RT. Then primary antibody (1% BSA) was incubated at 4°C overnight. The primary is detected by a biotinylated secondary antibody and visualized using an HRP conjugated SP system.
-
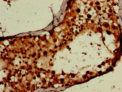
IHC image of CSB-PA897459LA01HU diluted at 1:600 and staining in paraffin-embedded human testis tissue performed on a Leica BondTM system. After dewaxing and hydration, antigen retrieval was mediated by high pressure in a citrate buffer (pH 6.0). Section was blocked with 10% normal goat serum 30min at RT. Then primary antibody (1% BSA) was incubated at 4°C overnight. The primary is detected by a biotinylated secondary antibody and visualized using an HRP conjugated SP system.
-
-
其他:
產品詳情
-
產品名稱:Rabbit anti-Homo sapiens (Human) RUVBL2 Polyclonal antibody
-
Uniprot No.:
-
基因名:
-
別名:48 kDa TATA box-binding protein-interacting protein antibody; 48 kDa TBP-interacting protein antibody; 48-kDa TATA box-binding protein-interacting protein antibody; 48-kDa TBP-interacting protein antibody; 51 kDa erythrocyte cytosolic protein antibody; CGI-46 antibody; EC=3.6.1.- antibody; ECP-51 antibody; ECP51 antibody; Erythrocyte cytosolic protein; 51-KD antibody; INO80 complex subunit J antibody; INO80J antibody; MGC144733 antibody; MGC144734 antibody; MGC52995 antibody; mp47 antibody; p47 antibody; p47 protein antibody; Repressing pontin 52 antibody; Reptin 52 antibody; REPTIN antibody; RuvB (E coli homolog)-like 2 antibody; RUVB; E. coli; homolog-like 2 antibody; RuvB-like 2 (E. coli) antibody; RuvB-like 2 antibody; RuvB-like protein 2 antibody; RUVB2 antibody; RUVB2_HUMAN antibody; RUVBL2 antibody; RVB2 antibody; TAP54-beta antibody; TATA box-binding protein-interacting protein; 48-KD antibody; TBP-interacting protein; 48-KD antibody; TIH2 antibody; TIP48 antibody; TIP49b antibody; TIP60-associated protein 54-beta antibody; wu:fi25f01 antibody; zreptin antibody
-
宿主:Rabbit
-
反應種屬:Human, Mouse, Rat
-
免疫原:Recombinant Human RuvB-like 2 protein (281-444AA)
-
免疫原種屬:Homo sapiens (Human)
-
標記方式:Non-conjugated
本頁面中的產品,RUVBL2 Antibody (CSB-PA897459LA01HU),的標記方式是Non-conjugated。對于RUVBL2 Antibody,我們還提供其他標記。見下表:
-
克隆類型:Polyclonal
-
抗體亞型:IgG
-
純化方式:>95%, Protein G purified
-
濃度:It differs from different batches. Please contact us to confirm it.
-
保存緩沖液:Preservative: 0.03% Proclin 300
Constituents: 50% Glycerol, 0.01M PBS, pH 7.4 -
產品提供形式:Liquid
-
應用范圍:ELISA, WB, IHC
-
推薦稀釋比:
Application Recommended Dilution WB 1:500-1:5000 IHC 1:500-1:1000 -
Protocols:
-
儲存條件:Upon receipt, store at -20°C or -80°C. Avoid repeated freeze.
-
貨期:Basically, we can dispatch the products out in 1-3 working days after receiving your orders. Delivery time maybe differs from different purchasing way or location, please kindly consult your local distributors for specific delivery time.
-
用途:For Research Use Only. Not for use in diagnostic or therapeutic procedures.
相關產品
靶點詳情
-
功能:Possesses single-stranded DNA-stimulated ATPase and ATP-dependent DNA helicase (5' to 3') activity; hexamerization is thought to be critical for ATP hydrolysis and adjacent subunits in the ring-like structure contribute to the ATPase activity. Component of the NuA4 histone acetyltransferase complex which is involved in transcriptional activation of select genes principally by acetylation of nucleosomal histones H4 and H2A. This modification may both alter nucleosome -DNA interactions and promote interaction of the modified histones with other proteins which positively regulate transcription. This complex may be required for the activation of transcriptional programs associated with oncogene and proto-oncogene mediated growth induction, tumor suppressor mediated growth arrest and replicative senescence, apoptosis, and DNA repair. The NuA4 complex ATPase and helicase activities seem to be, at least in part, contributed by the association of RUVBL1 and RUVBL2 with EP400. NuA4 may also play a direct role in DNA repair when recruited to sites of DNA damage. Component of a SWR1-like complex that specifically mediates the removal of histone H2A.Z/H2AZ1 from the nucleosome. Proposed core component of the chromatin remodeling INO80 complex which exhibits DNA- and nucleosome-activated ATPase activity and catalyzes ATP-dependent nucleosome sliding. Plays an essential role in oncogenic transformation by MYC and also modulates transcriptional activation by the LEF1/TCF1-CTNNB1 complex. May also inhibit the transcriptional activity of ATF2. Involved in the endoplasmic reticulum (ER)-associated degradation (ERAD) pathway where it negatively regulates expression of ER stress response genes. May play a role in regulating the composition of the U5 snRNP complex.
-
基因功能參考文獻:
- The interaction between RUVBL1/RUVBL2 and the U5 small nuclear ribonucleoprotein is mostly mediated by the previously uncharacterized factor ZNHIT2. PMID: 28561026
- Mep1A is overexpressed in most hepatocellular carcinomas and induces tumor cell migration and invasion. Mep1A expression is regulated by Reptin, and Mep1A mediates Reptin-induced migration. PMID: 27999200
- Reptin silencing did not affect the tyrosine phosphorylation of the insulin receptor nor of IRS1, but it enhanced the tyrosine phosphorylation of the p85 subunit of PI3K. PMID: 28833338
- Overall, POLG interactome mapping identifies novel proteins which support mitochondrial biogenesis and a potential novel mitochondrial isoform of Ruvbl2. PMID: 27845271
- The authors report that HIV-1 exploits the host factor RuvB-like 2 (RVB2) to balance relative expression of Gag and Env for efficient production of infectious virions. PMID: 26211835
- by means of molecular docking approaches we first modeled the structures of hetero-hexameric TIP49 ( TIP49a and TIP49b )complexes with short ds-DNA fragments (20 base pairs with different GC content) within the central channel of hexameric ring PMID: 26863765
- Data suggest that overexpression of Reptin in hepatocellular carcinoma (HCC) could be a factor of resistance to treatment. PMID: 25875766
- RuvbL1 and RuvbL2 enhance aggresome formation and disaggregate amyloid fibrils. PMID: 26303906
- results reveal a novel mechanism for the control of NF-kappaB pathway by cytoplasmic Reptin PMID: 25957047
- The results suggests that a potential mechanism for the role of RuvBL1-RuvBL2 in maintaining genome integrity is through controlling the cellular abundance of Fanconi anaemia core complex. PMID: 25428364
- Reptin and Pontin oligomerization and activity are modulated through histone H3 N-terminal tail interaction. PMID: 25336637
- these findings suggest that YY1-RuvBL1-RuvBL2 complexes could contribute to functions beyond transcription, and we show that YY1 and the ATPase activity of RuvBL2 are required for RAD51 foci formation during homologous recombination. PMID: 24990942
- The Reptin is unable to bind with membrane-associated APPL proteins. PMID: 23891720
- Anti-RuvBL1/2 antibody is a novel systemic scleroderma-related autoantibody associated with a unique combination of clinical features, including myositis overlap and diffuse cutaneous involvement. PMID: 24023044
- Data suggest that reptin may prove to be a valuable target for prevention and treatment of renal cell carcinoma. PMID: 22341977
- Data indicate that the RVB1/2 chromatin-remodeling complex is required for efficient Pol II recruitment and initiation at IFN-alpha-stimulated genes (ISGs) promoters and is recruited through interaction with the STAT2 transactivation domain. PMID: 23878400
- We demonstrate that leukemogenic activity of MLL-AF9 requires RUVBL2 (RuvB-like 2), an AAA+ ATPase family member that functions in a wide range of cellular processes, including chromatin remodeling and transcriptional regulation. PMID: 23403462
- Two coexisting conformations, compact and stretched, are revealed by analysis of cryo-electron microscopy structures of the RuvBL1-RuvBL2 complex. PMID: 23002137
- The hexameric crystal structure of TIP49b confirms the validity of molecular models. PMID: 22748767
- First insight into the mechanism of action of pontin and reptin in the assembly of macromolecular complexes. PMID: 22923768
- Ectopic expression of RUVBL2 decreases the levels of ARF, whereas knockdown of RUVBL2 results in a marked increase in ARF levels. In addition, RUVBL2 down-regulates the levels of p53 in an ARF-dependent manner. PMID: 22285491
- truncation of domain II led to a substantial increase in ATP consumption of RuvBL1, RuvBL2 and their complex. In addition, we present evidence that DNA unwinding of the human RuvBL proteins can be auto-inhibited by domain II PMID: 21933716
- data firmly implicate RuvBl2 in Ets2 mediated regulation of hTERT in colon cancer which has functional and clinical consequences PMID: 21763315
- RUVBL1 and RUVBL2 control the abundance of Phosphatidylinositol 3-kinase (PI3K)-related protein kinases (PIKKs), and stimulate the formation of PIKK-containing molecular complexes, such as those involved in nonsense-mediated mRNA decay. PMID: 20371770
- In vivo Reptin depletion leads to tumor growth arrest and may prove a valuable target in hepatocellular carcinoma. PMID: 20346530
- hTERT transcription requires constitutive expression of Reptin and its cooperation with c-MYC PMID: 20509972
- Reptin, a chromatin-remodeling factor, is methylated at lysine 67 in hypoxic conditions by the methyltransferase G9a. PMID: 20603076
- TIP49b hexamers were found to be inactive for ATP hydrolysis and DNA unwinding, suggesting that, in cells, protein factors that remain unknown might be required to recycle these into an active form. PMID: 20553504
- Several experimental approaches were used to investigate the molecular architecture of the RuvBL1-RuvBL2 complex and the role of the ATPase-insert domain (domain II) for its assembly and stability. PMID: 20412048
- The relocation of endogenous TIP48 to the midzone/midbody under physiological conditions suggests a novel and distinct function for TIP48 in mitosis and possible involvement in the exit of mitosis. PMID: 16157330
- similar to the yeast INO80 complex, the hINO80 complex of Tip49a and Tip49b exhibits DNA- and nucleosome-activated ATPase activity and catalyzes ATP-dependent nucleosome sliding PMID: 16230350
- sumoylation status of reptin modulates the invasive activity of cancer cells with metastatic potential PMID: 16699503
- The results point to biochemical differences between TIP48 and TIP49, which may explain the structural differences between the two hexameric rings and could be significant for specialised functions that the proteins perform individually. PMID: 17157868
- RUVBL2 is overexpressed in a large majority of HCCs. RUVBL2 overexpression enhances tumorigenicity, and RUVBL2 is required for tumor cell viability. These results argue for a major role of RUVBL2 in liver carcinogenesis. PMID: 17657734
- Study identifies the ATPases pontin and reptin as telomerase components through affinity purification of TERT from human cells. PMID: 18358808
- Crystal structure has been solved and the solutions obtained show that the RuvBL1-RuvBL2 complex forms a dodecamer. PMID: 18765919
- RPAP3 interacts with Reptin to modulate UV-induced DNA damage by regulating H2AX phosphorylation PMID: 19180575
- RBL2 inhibits influenza virus replication by suppressing influenza A virus polymerases. PMID: 19369355
- In human embryonic stem cells the Reptin52 expression increase in cell nuclei during cell differentiation. PMID: 19444951
- RVB1 and RVB2 function within multiple protein complexes is reviewed. PMID: 19524533
- Reptin and Pontin protein levels are strictly controlled by a posttranslational mechanism involving proteasomal degradation of newly synthesized proteins. PMID: 19877184
顯示更多
收起更多
-
亞細胞定位:Nucleus matrix. Nucleus, nucleoplasm. Cytoplasm. Membrane. Dynein axonemal particle. Note=Mainly localized in the nucleus, associated with nuclear matrix or in the nuclear cytosol. Although it is also present in the cytoplasm and associated with the cell membranes.
-
蛋白家族:RuvB family
-
組織特異性:Ubiquitously expressed. Highly expressed in testis and thymus.
-
數據庫鏈接:
Most popular with customers
-
-
YWHAB Recombinant Monoclonal Antibody
Applications: ELISA, WB, IHC, IF, FC
Species Reactivity: Human, Mouse, Rat
-
Phospho-YAP1 (S127) Recombinant Monoclonal Antibody
Applications: ELISA, WB, IHC
Species Reactivity: Human
-
-
-
-
-















