RUNX3 Antibody
-
中文名稱:RUNX3兔多克隆抗體
-
貨號:CSB-PA157435
-
規格:¥1100
-
圖片:
-
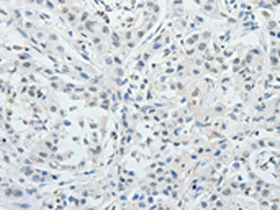
The image on the left is immunohistochemistry of paraffin-embedded Human ovarian cancer tissue using CSB-PA157435(RUNX3 Antibody) at dilution 1/25, on the right is treated with synthetic peptide. (Original magnification: ×200)
-
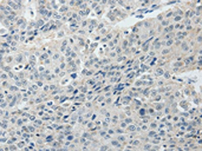
The image on the left is immunohistochemistry of paraffin-embedded Human lung cancer tissue using CSB-PA157435(RUNX3 Antibody) at dilution 1/25, on the right is treated with synthetic peptide. (Original magnification: ×200)
-
Gel: 10%SDS-PAGE, Lysate: 40 μg, Lane: Jurkat cells, Primary antibody: CSB-PA157435(RUNX3 Antibody) at dilution 1/400, Secondary antibody: Goat anti rabbit IgG at 1/8000 dilution, Exposure time: 1 minute
-
-
其他:
產品詳情
-
Uniprot No.:
-
基因名:
-
別名:Acute myeloid leukemia 2 protein antibody; Acute myeloid leukemia gene 2 antibody; AML 2 antibody; AML2 antibody; CBF alpha 3 antibody; CBF-alpha-3 antibody; CBFA 3 antibody; CBFA3 antibody; Core binding factor alpha 3 subunit antibody; core binding factor antibody; Core binding factor runt domain alpha subunit 3 antibody; Core binding factor subunit alpha 3 antibody; core-binding factor antibody; Core-binding factor subunit alpha-3 antibody; Oncogene AML 2 antibody; Oncogene AML-2 antibody; PEA2 alpha C antibody; PEA2-alpha C antibody; PEBP2 alpha C antibody; PEBP2-alpha C antibody; Pebp2a3 antibody; PEBP2aC antibody; Polyomavirus enhancer binding protein 2 alpha C subunit antibody; Polyomavirus enhancer-binding protein 2 alpha C subunit antibody; runt domain alpha subunit 3 antibody; runt related transcription factor 3 antibody; Runt-related transcription factor 3 antibody; RUNX 3 antibody; Runx3 antibody; RUNX3_HUMAN antibody; SL3 3 enhancer factor 1 alpha C subunit antibody; SL3-3 enhancer factor 1 alpha C subunit antibody; SL3/AKV core binding factor alpha C subunit antibody; SL3/AKV core-binding factor alpha C subunit antibody; Transcription factor AML2 antibody
-
宿主:Rabbit
-
反應種屬:Human,Mouse
-
免疫原:Synthetic peptide of Human RUNX3
-
免疫原種屬:Homo sapiens (Human)
-
標記方式:Non-conjugated
-
抗體亞型:IgG
-
純化方式:Antigen affinity purification
-
濃度:It differs from different batches. Please contact us to confirm it.
-
保存緩沖液:-20°C, pH7.4 PBS, 0.05% NaN3, 40% Glycerol
-
產品提供形式:Liquid
-
應用范圍:ELISA,WB,IHC
-
推薦稀釋比:
Application Recommended Dilution ELISA 1:1000-1:2000 WB 1:200-1:1000 IHC 1:15-1:50 -
Protocols:
-
儲存條件:Upon receipt, store at -20°C or -80°C. Avoid repeated freeze.
-
貨期:Basically, we can dispatch the products out in 1-3 working days after receiving your orders. Delivery time maybe differs from different purchasing way or location, please kindly consult your local distributors for specific delivery time.
-
用途:For Research Use Only. Not for use in diagnostic or therapeutic procedures.
相關產品
靶點詳情
-
功能:Forms the heterodimeric complex core-binding factor (CBF) with CBFB. RUNX members modulate the transcription of their target genes through recognizing the core consensus binding sequence 5'-TGTGGT-3', or very rarely, 5'-TGCGGT-3', within their regulatory regions via their runt domain, while CBFB is a non-DNA-binding regulatory subunit that allosterically enhances the sequence-specific DNA-binding capacity of RUNX. The heterodimers bind to the core site of a number of enhancers and promoters, including murine leukemia virus, polyomavirus enhancer, T-cell receptor enhancers, LCK, IL3 and GM-CSF promoters. May be involved in the control of cellular proliferation and/or differentiation. In association with ZFHX3, upregulates CDKN1A promoter activity following TGF-beta stimulation. CBF complexes repress ZBTB7B transcription factor during cytotoxic (CD8+) T cell development. They bind to RUNX-binding sequence within the ZBTB7B locus acting as transcriptional silencer and allowing for cytotoxic T cell differentiation. CBF complexes binding to the transcriptional silencer is essential for recruitment of nuclear protein complexes that catalyze epigenetic modifications to establish epigenetic ZBTB7B silencing.
-
基因功能參考文獻:
- Runx3 ubiquitination is regulated by HOTAIR in the gastric cancer.HOTAIR is negatively associated with Runx3 in gastric cancer tissues. PMID: 29417297
- RUNX3 creates an effective barrier against further TGFbeta-dependent tumor progression by preventing genomic instability. PMID: 29074538
- Therefore miR199b may serve as an oncogene in Wilms' tumour (WT)progression by directly targeting RUNX3, thereby suggesting that the miR199b/RUNX3 axis may be a promising therapeutic target for patients with WT PMID: 29845298
- High expression of miR-20a-5p significantly decreased both the mRNA and protein levels of RUNX3, as well as its direct downstream targets Bim and p21. PMID: 29864933
- The present results suggested that methylation may serve a critical role in the silencing of RUNX3 and loss of RUNX3 expression may serve as a prognostic marker in endometrial cancer. PMID: 29693143
- RUNX3 expression correlates with tumor's differentiation, depth of invasion, lymph node metastasis, distant metastasis, TNM stage and overall survival of gastric cancer patients. PMID: 29578091
- MiR-182/HOXA9 was involved in the process of RUNX3-mediated GC tumor growth. PMID: 29054094
- The BMP9-induced phosphorylation of Smad1/5/8 was increased with the overexpression of RUNX3, and yet was decreased with the knockdown of RUNX3. Collectively, our findings suggest that RUNX3 is an essential modulator of the BMP9-induced osteoblast lineage differentiation of mesenchymal stem cells (MSCs). PMID: 29039519
- results suggest that EZH2 regulates cell proliferation potentially by targeting RUNX3 through the Wnt/beta-catenin signaling pathway in laryngeal carcinoma. PMID: 28795320
- These findings suggested that RUNX3 played a tumor suppressor role in oral squamous cell carcinoma (OSCC) by inhibiting cell migration, invasion and angiogenesis, supporting that it could be a potential therapeutic target for OSCC PMID: 28765934
- Study showed that Runx3 was found a target of miR-106b, and the inhibition of miR-106b upregulated Runx3. These results provide evidence that Runx3 is a tumor-suppressor in retinoblastoma and is a target of miR-106b. PMID: 28901461
- Our results support the ability of Runx3 to contribute to the dissemination of human PDAC thus confirming the observations from murine models. PMID: 28882948
- High expression of RUNX3 is correlated with gastric cancer. PMID: 27566570
- RUNX3 is a common downstream target of TGF-beta and Notch signaling, and may be a novel therapeutic target for treating CVD mediated by EndMT. PMID: 28534977
- CNRIP1 and RUNX3 as potential DNA methylation biomarkers for CRC diagnosis and treatment PMID: 28940471
- RUNX3 expression in oral squamous carcinoma cells contributes to their bone invasion and the resulting osteolysis by inducing their malignant behaviors and production of osteolytic factors. PMID: 28030842
- Lower positive expression rate of RUNX3 and higher positive expression rate of Notch1 and Jagged 1 were observed in CRC tissues than those in normal adjacent tissues with a negative correlation, and the expression levels were associated with the differentiation degree, TNM staging, lymph node metastasis and tumor invasion depth (all P<0.05). PMID: 28498402
- Loss of RUNX3 expression strongly correlated with adverse prognosis, independent of subtype. Further studies are warranted to elucidate the biology and prognostic utility of RUNX3 in DLBCL. PMID: 27184221
- Runx3 plays a critical role in R-point regulation and defense against cellular transformation. PMID: 28846108
- RUNX3 mRNA and protein expression were upregulated in nasal-type extranodal NK/T-cell lymphoma (NKTL) patient samples and NKTL cell lines compared to normal NK cells. RUNX3 silenced NKTL cells showed increased apoptosis and reduced cell proliferation. MYC and RUNX3 binding occurs. Potential binding sites for MYC were identified in the RUNX3 enhancer region. PMID: 28119527
- The methylation status of Runx3 gene are abnormal in Hepatocellular Carcinoma patients, which may further be used as molecular markers for early diagnosis of Liver cancer. PMID: 29019900
- RUNX 3 hypermethylation is associated with breast cancer. PMID: 27825140
- High RUNX3 expression is associated with gastric cancer. PMID: 27425596
- we present evidence that RUNX3 can act as a tumor suppressor in a human T-cell malignancy and suggest that this effect is predominantly mediated through transcripts from its distal promoter, in particular RUNX3/p46. PMID: 27377697
- Our results from clinical samples also suggest that Threonine 209 phosphorylation by Pak1 could be a potential therapeutic target and of great clinical relevance with implications for Runx3 inactivation in cancer cells where Runx3 is known to be oncogenic. The findings presented in this study provide evidence of Runx3-Threonine 209 phosphorylation as a molecular switch in dictating the tissue-specific dualistic functions PMID: 26898755
- RUNX3 acts as a tumour suppressor PMID: 26364597
- MicroRNA-145 could regulate the balance of Th1/Th2 through targeting the RUNX3 in asthma patients. PMID: 27902892
- The miR-29b/KDM2A axis was involved in the RUNX3-mediated inhibition of gastric cancer cell proliferation and metastasis. PMID: 27497248
- RUNX3 methylation level is associated with gastric cancer (GC), especially the methylation at site -1415 contributes to the poor prognosis in GC. PMID: 27664488
- The hypermethylation of RUNX3 in AFB1-transformed hepatocytes and human hepatocellular carcinomas implicates RUNX3 as a tumor suppressor gene PMID: 28458013
- our results suggest that an aberrant messenger RNA expression may be the outcome of CpG, CHG, and CHH methylation in O(6)-methylguanine-DNA methyltransferase, whereas outcome of CHG and CHH methylation in runt-related transcription factor 3 promoters along with risk factors such as consumption of tobacco, betel nut, and smoking habits in esophageal cancer from Northeast India PMID: 28468586
- IFNgamma promotes double strabded RNA-induced TLR3-dependent apoptosis via upregulation of transcription factor Runx3 in airway epithelial cells. PMID: 27793801
- Knockdown of RUNX3 in HCMECs attenuates hypoxia-induced EndoMT via partially inhibiting TGF-beta and Notch signaling pathway. PMID: 27916094
- The genetic association of RUNX3 with ankylosing spondylitis can be explained by allele-specific effects on IRF4 recruitment that alter gene expression. PMID: 26452539
- the Notch pathway component RBP-J is required for EBNA2 activation of RUNX3 and reveal additional coactivation of RUNX3 by EBNA3B and 3C PMID: 26883634
- HDAC1- and SRC-mediated phosphorylation of RUNX3 induced by oxidative stress is associated with the cytoplasmic localization of RUNX3 and can lead to RUNX3 inactivation and carcinogenesis. PMID: 27990641
- the present study suggested that RUNX3 regulated the differentiation of Th17 and Th22 cells in psoriasis, providing a promising therapeutic strategy for the treatment of psoriasis. PMID: 27082311
- miR-20a overexpression contributed to hepatocellular carcinoma cell proliferation and migration through reducing the translation of RUNX3. PMID: 27748919
- RUNX3 plays an important role in As2O3induced cellular responses and allows cells to overcome mesenchymal stem cellmediated drug resistance PMID: 27498627
- Results confirmed that a loss of RUNX3 in esophageal squamous cell carcinoma may contribute to cisplatin-resistance. PMID: 27766776
- The RUNX3 gene promoter methylation rate was much higher in tumor tissue than that in normal gastric tissue in patient with gastric cancer, which indicates a close association between gastric cancer and RUNX3 gene promoter methylation. PMID: 27721253
- RUNX3 overexpression inhibited CRC cell migration and invasion resulting from the upregulation of matrix metalloproteinase-2 (MMP-2) and MMP-9 expression. the knockdown of RUNX3 reduced the inhibition of migration and invasion of CRC cells. Finally, we found that restoration of RUNX3 decreased vascular endothelial growth factor (VEGF) secretion and suppressed endothelial cell growth and tube formation PMID: 27633042
- RUNX3 promoter methylation is linked to the origin of HCC but not to its progression from non-metastatic to metastatic stages. PMID: 27420934
- hypermethylation modifications of CpG13, CpG14, and CpG15 in the promoter region of Runx3 could result in the down regulation of Runx3 expression to affect the prognosis of Chronic Atrophic Gastritis Patients. So the methylation levels of these CpG sites in Runx3 in the peripheral blood can be used as the biomarker for predicting the healing prognosis of Chronic Atrophic Gastritis Patients patients. PMID: 27196446
- miR-148a-3p may regulate RUNX3 expression through the modulation of DNMT1-dependent DNA methylation in laryngeal squamous cell carcinoma. PMID: 27859417
- miR-130b expression was downregulated, while RUNX3 mRNA was upregulated, in EOC tissues compared to normal ovarian tissues (both P=0.001). Importantly, the expression level of miR-130b in EOC tissues was negatively correlated with that of RUNX3 mRNA significantly. PMID: 27048832
- N-myc protein also could bind to the promoter of pri-miR-4295 and inhibit the expression of RUNX3 in glioma cells. PMID: 26756701
- miR-532-5p functions as an oncogenic miRNA by promoting cell growth, migration and invasion in human gastric cancer cells via regulation of RUNX3 gene expression. PMID: 26515139
- loss of RUNX3 expression contributed to 5-FU and CDDP resistance by inducing multidrug resistance proteins expression. PMID: 26985715
- Results show up-regulation of TrkB and down-regulation of Runx3 and Keap1 in breast cancer cells and suggest that TrkB plays a key role in tumorigenicity and metastasis of breast cancer cells through suppression of Runx3 or Keap1. PMID: 26657794
顯示更多
收起更多
-
亞細胞定位:Nucleus. Cytoplasm.
-
組織特異性:Expressed in gastric cancer tissues (at protein level).
-
數據庫鏈接:
Most popular with customers
-
-
Phospho-YAP1 (S127) Recombinant Monoclonal Antibody
Applications: ELISA, WB, IHC
Species Reactivity: Human
-
-
-
-
-
-















