RTN4 Antibody
-
中文名稱:RTN4兔多克隆抗體
-
貨號:CSB-PA054695
-
規格:¥1100
-
圖片:
-
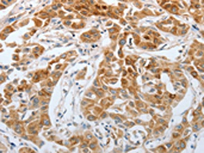
The image on the left is immunohistochemistry of paraffin-embedded Human lung cancer tissue using CSB-PA054695(RTN4 Antibody) at dilution 1/40, on the right is treated with synthetic peptide. (Original magnification: ×200)
-
Gel: 12%SDS-PAGE, Lysate: 40 μg, Lane: RAW264.7 cells, Primary antibody: CSB-PA054695(RTN4 Antibody) at dilution 1/900, Secondary antibody: Goat anti rabbit IgG at 1/8000 dilution, Exposure time: 1 minute
-
-
其他:
產品詳情
-
Uniprot No.:
-
基因名:
-
別名:1110020G17Rik antibody; AA407876 antibody; AA409940 antibody; AA960376 antibody; ASY antibody; C130026I10Rik antibody; Foocen antibody; Glut4 vesicle 20 kDa protein antibody; Human NogoA antibody; Kiaa0886 antibody; KIAA4153 antibody; MGC116054 antibody; MGC139261 antibody; mKIAA0886 antibody; mKIAA4153 antibody; My043 protein antibody; Nbla00271 antibody; Nbla10545 antibody; Neurite growth inhibitor 220 antibody; Neurite Growth Inhibitor 220, included antibody; Neurite outgrowth inhibitor antibody; Neuroendocrine-specific protein antibody; Neuroendocrine-specific protein C homolog antibody; NI-250 antibody; NI220/250 antibody; Nogo A antibody; NOGO antibody; Nogo B antibody; Nogo C antibody; Nogo protein antibody; NOGOC antibody; NSP antibody; NSP-CL antibody; rat N antibody; Reticulon 4 antibody; Reticulon 5 antibody; Reticulon-4 antibody; Reticulon-5 antibody; RTN X antibody; RTN-x antibody; Rtn4 antibody; Rtn4 reticulon 4 antibody; RTN4-A antibody; RTN4-B1 antibody; RTN4-B2 antibody; RTN4-C antibody; RTN4_HUMAN antibody; Vp20 antibody
-
宿主:Rabbit
-
反應種屬:Human,Mouse,Rat
-
免疫原:Synthetic peptide of Human RTN4
-
免疫原種屬:Homo sapiens (Human)
-
標記方式:Non-conjugated
-
抗體亞型:IgG
-
純化方式:Antigen affinity purification
-
濃度:It differs from different batches. Please contact us to confirm it.
-
保存緩沖液:-20°C, pH7.4 PBS, 0.05% NaN3, 40% Glycerol
-
產品提供形式:Liquid
-
應用范圍:ELISA,WB,IHC
-
推薦稀釋比:
Application Recommended Dilution ELISA 1:2000-1:10000 WB 1:500-1:2000 IHC 1:50-1:200 -
Protocols:
-
儲存條件:Upon receipt, store at -20°C or -80°C. Avoid repeated freeze.
-
貨期:Basically, we can dispatch the products out in 1-3 working days after receiving your orders. Delivery time maybe differs from different purchasing way or location, please kindly consult your local distributors for specific delivery time.
-
用途:For Research Use Only. Not for use in diagnostic or therapeutic procedures.
相關產品
靶點詳情
-
功能:Required to induce the formation and stabilization of endoplasmic reticulum (ER) tubules. They regulate membrane morphogenesis in the ER by promoting tubular ER production. They influence nuclear envelope expansion, nuclear pore complex formation and proper localization of inner nuclear membrane proteins. However each isoform have specific functions mainly depending on their tissue expression specificities (Probable).; Developmental neurite growth regulatory factor with a role as a negative regulator of axon-axon adhesion and growth, and as a facilitator of neurite branching. Regulates neurite fasciculation, branching and extension in the developing nervous system. Involved in down-regulation of growth, stabilization of wiring and restriction of plasticity in the adult CNS. Regulates the radial migration of cortical neurons via an RTN4R-LINGO1 containing receptor complex. Acts as a negative regulator of central nervous system angiogenesis. Inhibits spreading, migration and sprouting of primary brain microvascular endothelial cells (MVECs). Also induces the retraction of MVECs lamellipodia and filopodia in a ROCK pathway-dependent manner.; Mainly function in endothelial cells and vascular smooth muscle cells, is also involved in immune system regulation (Probable). Modulator of vascular remodeling, promotes the migration of endothelial cells but inhibits the migration of vascular smooth muscle cells. Regulates endothelial sphingolipid biosynthesis with direct effects on vascular function and blood pressure. Inhibits serine palmitoyltransferase, SPTLC1, the rate-limiting enzyme of the novo sphingolipid biosynthetic pathway, thereby controlling production of endothelial sphingosine-1-phosphate (S1P). Required to promote macrophage homing and functions such as cytokine/chemokine gene expression involved in angiogenesis, arteriogenesis and tissue repair. Mediates ICAM1 induced transendothelial migration of leukocytes such as monocytes and neutrophils and acute inflammation. Necessary for immune responses triggered by nucleic acid sensing TLRs, such as TLR9, is required for proper TLR9 location to endolysosomes. Also involved in immune response to LPS. Plays a role in liver regeneration through the modulation of hepatocytes proliferation. Reduces the anti-apoptotic activity of Bcl-xl and Bcl-2. This is likely consecutive to their change in subcellular location, from the mitochondria to the endoplasmic reticulum, after binding and sequestration. With isoform C, inhibits BACE1 activity and amyloid precursor protein processing.; Regulates cardiomyocyte apoptosis upon hypoxic conditions. With isoform B, inhibits BACE1 activity and amyloid precursor protein processing.
-
基因功能參考文獻:
- This review aims at presenting our current knowledge on the role of Nogo-A in the visual system and to discuss how its therapeutic targeting may promote visual improvement in ophthalmic diseases. PMID: 28408340
- CAA and TATC Insertion/Deletion Genetic Polymorphisms of RTN4 3'-UTR are associated with Hepatocellular Carcinoma PMID: 28144881
- Nogo-B was shown to play an important negative role in apoptotic signaling through its interaction with c-FLIP in colorectal cancer cells. PMID: 29684585
- NOGO-B/RTN4B and NOGO-A/RTN4A are simultaneously expressed in cultured epithelial, fibroblast and neuronal cells. Morphological analysis of cells with manipulated levels of NOGO-B/RTN4B revealed that it is required for maintenance of normal endoplasmic reticulum shape. PMID: 27786289
- Nogo-B is expressed aberrantly in HCCs and plays an oncogenic role. These findings support that Nogo-B may be a novel anti-HCC therapeutic target. PMID: 28628795
- observations suggest that Rtn4A counteracts the Nrdp1-mediated degradation of ErbB3 by sequestering the ubiquitin ligase into ER tubules. PMID: 27353365
- NOGO-A/B may be a negative prognostic factor of malignant melanoma. PMID: 27354599
- LILRA3 significantly reversed Nogo-66-mediated inhibition of neurite outgrowth and promoted synapse formation in primary cortical neurons through regulation of the ERK/MEK pathway. PMID: 26826187
- Nogo-B expression is down-regulated in intrahepatic cholangiocarcinoma, the implication of which, however, remains to be investigated. PMID: 26656426
- Data show that the mean peak serum neuroglobin and Nogo-A concentrations were both significantly higher in patients with an unfavorable outcome at 6 months after traumatic brain injury (TBI). PMID: 26472601
- RTN4-C knockdown blocks cell cycle progression and cell growth in colorectal cancer cell lines. PMID: 25847052
- Epithelial RTN-4B/NOGO-B was downregulated in human and experimental inflammatory bowel disease PMID: 25907690
- The Nogo-B-PirB axis controls macrophage-mediated vascular remodeling. PMID: 24278366
- a novel mechanism that functionally couples cAMP signaling with the proteolytic turnover of NOGO-A, positively impacting on neurite outgrowth in mammalian brain. PMID: 25331889
- The RTN4 del allele could significantly increase NSCLC risk. PMID: 25040983
- Identify Nogo-C as a tumor suppressor gene in hepatocellular carcinoma and B-raf as a novel interacting protein. PMID: 24966913
- the present study found that Nogo-A depletion was capable of inhibiting HCC SMMC-7721 cell proliferation by promoting G2/M cell cycle arrest and apoptosis. PMID: 24626842
- The expression of Nogo-B, in arterial intima, is impeded in the early stages of atherosclerosis. Macrophage infiltration is not accompanied by Nogo-B expression in atherosclerotic arteries. PMID: 24372562
- Nogo-A/B expression decreased with increasing squamous cell carcinoma malignancy grade (p=0.026). PMID: 25075030
- Neither migration speed, nor cell proliferation, or layer area sizes were influenced by Nogo-A deletion, hence suggesting another role for early postnatal Nogo-A expression in the premigratory zone of the external granule layer. PMID: 24401759
- knockdown of NgR enhanced invasion and adhesion but increased cell apoptosis in C6 cells, suggesting that Nogo-66/NgR might have complex effects on glioma cells. PMID: 23982337
- Studied premenopausal women with uterine leiomyoma. No significant association was observed between the TATC in/del polymorphism and UL risk, but increased UL risk was associated with CAA in/del polymorphism in the recessive and codominant model. PMID: 23479081
- Overexpression of Nogo-B promotes the epithelial-mesenchymal transition in cervical cancer via Fibulin-5. PMID: 23042479
- The absence of Nogo-B enhances apoptosis of hepatic stellate cells in experimental cirrhosis. PMID: 23313137
- The results demonstrate a significant change in the expression of Nogo-A during the development of the human brain PMID: 23146900
- CAA and TATC insertion/deletion polymorphisms of RNT4 gene may not be a useful marker to predict the susceptibility of ASD in Chinese Han population PMID: 22313113
- genetic variation in RTN4 3'-UTR contributes to the susceptibility to CSCC PMID: 22320844
- The presence of Nogo-A in diseased human muscle biopsies is not limited to ALS, therefore it cannot be the standard for ALS diagnosis. PMID: 21503119
- Nogo-A is a useful marker for the diagnosis of oligodendroglioma and for identifying 1p19q codeletion PMID: 21835431
- Nogo receptor 3, a paralog of NgR1,functions as a NgR1 co-receptor for Nogo-66. PMID: 22133682
- The data identify, for the first time, an effect of Nogo B in the brain and specifically show that its expression is increased in conditions where synaptic plasticity is compromised. PMID: 21111015
- Data showd that Nogo-B, a regulator of ER structure, was induced by hypoxia in pulonary artery smooht muscle cells but not the systemic vasculature through activation of the ER stress-sensitive transcription factor ATF6. PMID: 21697531
- A multi-domain fragment of Nogo-A protein is a potent inhibitor of cortical axon regeneration via Nogo receptor 1. PMID: 21454605
- No significant differences in 3'UTR TATC and CAA insertion/deletion polymorphism genotype and allele frequencies were observed between the ventricular septal defect patients and controls. PMID: 21166502
- Nogo-A is highly expressed in oligodendroglial tumors; however, it does not serve as a definite marker specific for oligodendroglial tumors PMID: 20487307
- Endogenous Nogo-B, which may exert its effects through ARPC 2/3 and MYL-9, is necessary for the migration and contraction of airway smooth muscle cells. PMID: 21251247
- Using leukocytes and endothelial cells, we show mechanistically that the silencing of Nogo-B with siRNA impairs the transmigration of neutrophils and reduces ICAM-1-stimulated phosphorylation of VE-cadherin. PMID: 21183689
- These results suggest a role for neuronal Nogo-A in maintaining a spine phenotype in neocortical pyramidal cells PMID: 20938157
- Nogo-B may regulate macrophage recruitment after unilateral ureteral obstruction, although it does not greatly affect the degree of tissue injury or fibrosis in this model. PMID: 20971739
- Reticulons, the only molecular so far to participate in all three apoptosis signaling pathways, may be a novel player in the progress of atherosclerosis. PMID: 20717916
- Epithelial reticulon 4B (Nogo-B) is an endogenous regulator of Th2-driven lung inflammation. PMID: 20975041
- Fibulin-5, a secreted extracellular matrix protein, was identified as a binding partner of Nogo-B. PMID: 20599731
- verified the molecular interaction of Nogo-A with 2', 3'-cyclic nucleotide 3'-phosphodiesterase (CNP), which could act as a conformational stabilizer for the intrinsically unstructured large segment of Amino-Nogo PMID: 19508346
- identified Akt1 as a new signaling component of the amino-Nogo pathway. Akt1 phosphorylation is decreased by amino-Nogo. PMID: 20018888
- An RTN4-C mutant lacking the C-terminal domain bound to BACE1 comparably to wild-type RTN4-C & reduced Abeta40 & Abeta42 secretion by cells expressing Swedish mutant APP. PMID: 19405102
- The alteration in Nogo gene expression in muscle biopsy represents a potential diagnostic tool for the early stages of amyotrophic lateral sclerosis. PMID: 12270696
- Elevated expression of Nogo mRNA in schizophrenia was confirmed by RT-PCR. Nogo mRNA was found to contain a CAA insert polymorphism in the 3'-untranslated region. PMID: 12425946
- results describe the regulation of nogo expression through its promoter region PMID: 12488097
- ASY may be multi-functional, regulating apoptosis, tumor development, and neuronal regeneration [review] PMID: 12510146
- ER stress of highly overexpressed Nogo-B may lead to aversive cellular reactions under particular conditions. Our data do not support a function of Nogo-B as a physiological pro-apoptotic protein in certain types of cancer. PMID: 12618765
顯示更多
收起更多
-
亞細胞定位:[Isoform A]: Endoplasmic reticulum membrane; Multi-pass membrane protein. Cell membrane; Multi-pass membrane protein; Cytoplasmic side.; [Isoform B]: Endoplasmic reticulum membrane; Multi-pass membrane protein. Cell membrane; Multi-pass membrane protein; Extracellular side. Cell junction.; [Isoform C]: Endoplasmic reticulum membrane; Multi-pass membrane protein.
-
組織特異性:Isoform A: is specifically expressed in brain and testis and weakly in heart and skeletal muscle. Isoform B: widely expressed except for the liver. Highly expressed in endothelial cells and vascular smooth muscle cells, including blood vessels and mesente
-
數據庫鏈接:
Most popular with customers
-
YWHAB Recombinant Monoclonal Antibody
Applications: ELISA, WB, IHC, IF, FC
Species Reactivity: Human, Mouse, Rat
-
Phospho-YAP1 (S127) Recombinant Monoclonal Antibody
Applications: ELISA, WB, IHC
Species Reactivity: Human
-
-
-
-
-
-















