RSAD2 Antibody
-
中文名稱:RSAD2兔多克隆抗體
-
貨號:CSB-PA848838ESR1HU
-
規格:¥440
-
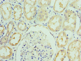
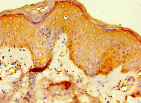
圖片:
-
其他:
產品詳情
-
產品名稱:Rabbit anti-Homo sapiens (Human) RSAD2 Polyclonal antibody
-
Uniprot No.:
-
基因名:RSAD2
-
別名:2510004L01Rik antibody; cig 33 antibody; CIG 5 antibody; cig-33 antibody; CIG-5 antibody; CIG33 antibody; CIG5 antibody; Cytomegalovirus induced gene 5 protein antibody; Cytomegalovirus-induced gene 5 protein antibody; endoplasmic reticulum-associated antibody; interferon-inducible antibody; Radical S adenosyl methionine domain containing 2 antibody; Radical S-adenosyl methionine domain-containing protein 2 antibody; RSAD 2 antibody; Rsad2 antibody; RSAD2_HUMAN antibody; RSDA-2 antibody; VIG 1 antibody; vig1 antibody; Viperin antibody; Virus inhibitory protein antibody; virus inhibitory protein endoplasmic reticulum associated interferon inducible antibody
-
宿主:Rabbit
-
反應種屬:Human
-
免疫原:Recombinant Human Radical S-adenosyl methionine domain-containing protein 2 protein (42-361AA)
-
免疫原種屬:Homo sapiens (Human)
-
標記方式:Non-conjugated
-
克隆類型:Polyclonal
-
抗體亞型:IgG
-
純化方式:Antigen Affinity Purified
-
濃度:It differs from different batches. Please contact us to confirm it.
-
保存緩沖液:PBS with 0.02% sodium azide, 50% glycerol, pH7.3.
-
產品提供形式:Liquid
-
應用范圍:ELISA, IHC
-
推薦稀釋比:
Application Recommended Dilution IHC 1:20-1:200 -
Protocols:
-
儲存條件:Upon receipt, store at -20°C or -80°C. Avoid repeated freeze.
-
貨期:Basically, we can dispatch the products out in 1-3 working days after receiving your orders. Delivery time maybe differs from different purchasing way or location, please kindly consult your local distributors for specific delivery time.
-
用途:For Research Use Only. Not for use in diagnostic or therapeutic procedures.
相關產品
靶點詳情
-
功能:Interferon-inducible antiviral protein which plays a major role in the cell antiviral state induced by type I and type II interferon. Catalyzes the conversion of cytidine triphosphate (CTP) to 3'-deoxy-3',4'-didehydro-CTP (ddhCTP) via a SAM-dependent radical mechanism. In turn, ddhCTP acts as a chain terminator for the RNA-dependent RNA polymerases from multiple viruses and directly inhibits viral replication. Therefore, inhibits a wide range of DNA and RNA viruses, including human cytomegalovirus (HCMV), hepatitis C virus (HCV), west Nile virus (WNV), dengue virus, sindbis virus, influenza A virus, sendai virus, vesicular stomatitis virus (VSV), zika virus, and human immunodeficiency virus (HIV-1). Promotes also TLR7 and TLR9-dependent production of IFN-beta production in plasmacytoid dendritic cells (pDCs) by facilitating 'Lys-63'-linked ubiquitination of IRAK1 by TRAF6. Plays a role in CD4+ T-cells activation and differentiation. Facilitates T-cell receptor (TCR)-mediated GATA3 activation and optimal T-helper 2 (Th2) cytokine production by modulating NFKB1 and JUNB activities. Can inhibit secretion of soluble proteins.
-
基因功能參考文獻:
- Study reports the identification of geranyl pyrophosphate (GPP) and farnesyl pyrophosphate (FPP), two terpene intermediates in the mevalonate pathway, as substrates of human viperin. PMID: 29251770
- Viperin is antivirally active against many different viruses from different families and has been shown to inhibit several flaviviruses. Authors summarize the current knowledge about viperin and its role in antiflavivirus defense. [Review] PMID: 30059238
- Viperin N-terminal is necessary for the interaction with Junin viral nucleoprotein. PMID: 29202415
- viperin also reduced the stability of several other viral proteins in a NS3-dependent manner, suggesting a central role of NS3 in viperin's antiflavivirus activity. PMID: 29321318
- RSAD2 and AIM2 Modulate Coxsackievirus A16 and Enterovirus A71 Replication in Neuronal Cells in Different Ways That May Be Associated with Their 5' Nontranslated Regions. PMID: 29263272
- Data suggest that CIA2B and MMS19 physically interact with C-terminus of viperin/RSAD2; CIAO1 appears to function as primary viperin-interacting protein; CIA2A binds to N-terminus of viperin in CIAO1-, CIA2B-, and MMS19-independent fashion. (CIA2B = metallochaperone CIA2B/FAM96B; MMS19 = transcription factor MMS19; CIAO1 = cytosolic iron-sulfur assembly component 1; CIA2A = metallochaperone CIA2A/Fam96a) PMID: 28615450
- Data suggest that human viperin exerts "ancient radical" SAM-dependent activity in invading bacteria such as Escherichia coli; here, expression of recombinant viperin induces dramatically elongated morphology of "host"/pathogen cells. (SAM = S-adenosylmethionine) PMID: 28708394
- Exposure to hepatitis B virus up-regulates viperin expression in vivo and in vitro in placental trophoblast, and lack of this up-regulation is associated with intrauterine transmission of hepatitis B virus. PMID: 27943419
- Viperin was localized in trophoblast cells. HCMV IE1 mRNA expression was significantly inhibited by viperin RNA interference. PMID: 25814471
- data suggested that viperin impaired respiratory syncytial virus (RSV) transmission by inhibiting virus filament formation, providing a basis for its anti-virus activity in RSV-infected cells PMID: 25433308
- Viperin inhibits viral replication by interactiing with host cell proteins and viral proteins. [review] PMID: 25997337
- These data suggest that viperin requires CIAO1 for [4Fe-4S] cluster assembly, and acts through an enzymatic, Fe-S cluster- and SAM-dependent mechanism to inhibit viral RNA synthesis. PMID: 24245804
- The data indicate that viperin is the major effector underlying the ability of HCMV to regulate cellular lipid metabolism. PMID: 23935494
- Viperin is induced following dengue virus type-2 (DENV-2) infection and has anti-viral actions requiring the C-terminal end of viperin. PMID: 23638199
- inhibits replication of respiratory syncytial virus PMID: 23018837
- viperin is a critical antiviral host protein that controls chikungunya virus infection. PMID: 23160199
- The restriction of Bunyamwera virus replication mediated by interferon is an accumulated effect of at least three interferon-stimulated genes viperin, MTAP44 and PKR. PMID: 22896602
- Viperin is now known to act in different ways in the inhibition of the replication of different viruses that employ different mechanisms and organelles in their replication cycle. [Review] PMID: 22182524
- Viperin restrict influenza H1N1 virus replication in vitro. PMID: 22377585
- Viperin is an alpha-beta protein containing iron-sulfur cluster at the center pocket. PMID: 22363738
- Viperin inhibits hepatitis C virus replication by interfering with binding of NS5A to host protein VAP-33. PMID: 21957124
- We propose that viperin interacts with NS5A and the host factor, VAP-A, to limit hepatitis C virus replication at the replication complex. PMID: 22045669
- Data idenified two cleavage sites for RNase MRP/RNase P in the coding sequence of viperin mRNA. PMID: 21053045
- study shows human cytomegalovirus (HCMV)-induced viperin disrupts cellular metabolism to enhance infectious process; viperin interaction with vMIA resulted in viperin relocalization from endoplasmic reticulum to mitochondria PMID: 21527675
- IFITM2 and IFITM3, disrupted early steps (entry and/or uncoating) of the viral infection, viperin, ISG20, and double-stranded-RNA-activated protein kinase, inhibited steps in west nile virus and dengue virus viral proteins and/or RNA biosynthesis. PMID: 20534863
- Incubation of reduced viperin with SAM results in reductive cleavage of SAM to produce 5'-deoxyadenosine (5'-dAdo), a reaction characteristic of the radical SAM superfamily. PMID: 20176015
- the first experimental evidence confirming that viperin is indeed a radical SAM enzyme provided. PMID: 20026307
- Viperin inhibits hepatitis C virus (HCV) by localizing to lipid droplets using a domain and mechanism similar to that used by HCV itself. PMID: 19920176
- Viperin is expressed in atherosclerosis and induced in vascular cells by inflammatory stimuli and cytomegalovirus infection PMID: 15890971
- ISG (interferon-stmiulated genese) viperin has anti-Hepatitis c virus activity in vitro; we postulate that viperin, and other ISGs, acts to limit HCV replication. PMID: 16108059
- Results identify Viperin as a tightly regulated ISGF3 target gene, which is counter-regulated by PRDI-BF1. PMID: 16849320
- poly(I:C) upregulated TLR3, thereby augmenting the primary (IFN-beta) and secondary (IDO and viperin) response genes PMID: 17626075
- Overexpression of farnesyl diphosphate synthase reverses viperin-mediated inhibition of virus production and restores normal membrane fluidity. PMID: 18005724
- This work, for the first time, provides strong evidence suggesting that viperin is a putative radical S-adenosyl-l-methionine (SAM) enzyme. PMID: 18077728
- The results suggest that even though viperin gene expression is highly induced by Japanese encephalitis virus, it is negatively regulated at the protein level to counteract its antiviral effect. PMID: 18768981
- The N-terminal amphipathic alpha-helix of viperin mediates localization to the cytosolic face of the endoplasmic reticulum and inhibits protein secretion PMID: 19074433
顯示更多
收起更多
-
亞細胞定位:Endoplasmic reticulum membrane; Peripheral membrane protein; Cytoplasmic side. Golgi apparatus. Endoplasmic reticulum. Lipid droplet. Mitochondrion. Mitochondrion inner membrane. Mitochondrion outer membrane. Note=Infection with human cytomegalovirus (HCMV) causes relocation to the Golgi apparatus and to cytoplasmic vacuoles which also contain HCMV proteins glycoprotein B and pp28. Interaction with human cytomegalovirus/HHV-5 protein vMIA/UL37 results in its relocalization from the endoplasmic reticulum to the mitochondria.
-
蛋白家族:Radical SAM superfamily, RSAD2 family
-
數據庫鏈接:
Most popular with customers
-
-
YWHAB Recombinant Monoclonal Antibody
Applications: ELISA, WB, IHC, IF, FC
Species Reactivity: Human, Mouse, Rat
-
Phospho-YAP1 (S127) Recombinant Monoclonal Antibody
Applications: ELISA, WB, IHC
Species Reactivity: Human
-
-
-
-
-















