RRBP1 Antibody
-
中文名稱:RRBP1兔多克隆抗體
-
貨號:CSB-PA083779
-
規格:¥1100
-
圖片:
-
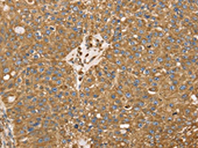
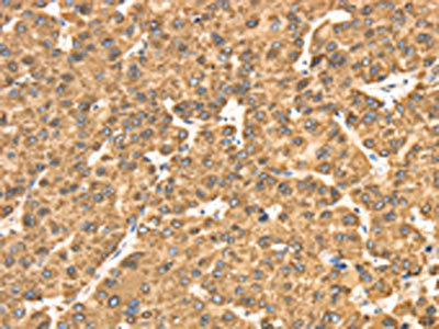
The image on the left is immunohistochemistry of paraffin-embedded Human breast cancer tissue using CSB-PA083779(RRBP1 Antibody) at dilution 1/25, on the right is treated with fusion protein. (Original magnification: ×200)
-
The image on the left is immunohistochemistry of paraffin-embedded Human liver cancer tissue using CSB-PA083779(RRBP1 Antibody) at dilution 1/25, on the right is treated with fusion protein. (Original magnification: ×200)
-
Gel: 6%SDS-PAGE, Lysate: 40 μg, Lane: K562 cells, Primary antibody: CSB-PA083779(RRBP1 Antibody) at dilution 1/400, Secondary antibody: Goat anti rabbit IgG at 1/8000 dilution, Exposure time: 10 seconds
-
-
其他:
產品詳情
-
Uniprot No.:
-
基因名:
-
別名:180 kDa ribosome receptor homolog antibody; DKFZp586A1420 antibody; ES/130 antibody; ES/130 related protein antibody; ES/130-related protein antibody; ES130 antibody; FLJ36146 antibody; hES antibody; KIAA1398 antibody; MGC157720 antibody; MGC157721 antibody; Ribosome binding protein 1 antibody; Ribosome binding protein 1 homolog 180kDa antibody; Ribosome binding protein 1 homolog antibody; Ribosome receptor protein antibody; Ribosome-binding protein 1 antibody; RRBP 1 antibody; Rrbp1 antibody; RRBP1_HUMAN antibody; RRP antibody
-
宿主:Rabbit
-
反應種屬:Human,Mouse
-
免疫原:Fusion protein of Human RRBP1
-
免疫原種屬:Homo sapiens (Human)
-
標記方式:Non-conjugated
-
抗體亞型:IgG
-
純化方式:Antigen affinity purification
-
濃度:It differs from different batches. Please contact us to confirm it.
-
保存緩沖液:-20°C, pH7.4 PBS, 0.05% NaN3, 40% Glycerol
-
產品提供形式:Liquid
-
應用范圍:ELISA,WB,IHC
-
推薦稀釋比:
Application Recommended Dilution ELISA 1:2000-1:5000 WB 1:500-1:2000 IHC 1:25-1:100 -
Protocols:
-
儲存條件:Upon receipt, store at -20°C or -80°C. Avoid repeated freeze.
-
貨期:Basically, we can dispatch the products out in 1-3 working days after receiving your orders. Delivery time maybe differs from different purchasing way or location, please kindly consult your local distributors for specific delivery time.
-
用途:For Research Use Only. Not for use in diagnostic or therapeutic procedures.
相關產品
靶點詳情
-
功能:Acts as a ribosome receptor and mediates interaction between the ribosome and the endoplasmic reticulum membrane.
-
基因功能參考文獻:
- High RRBP1 expression facilitates colorectal cancer progression and predicts an unfavourable post-operative prognosis. PMID: 26196185
- Data indicate that p180 is required for the efficient targeting of placental alkaline phosphatase (ALPP) mRNA to the endoplasmic reticulum (ER). PMID: 24019514
- RRBP1 could alleviate ER stress and help cancer cell survive PMID: 23318453
- p180 is concentrated in ER sheets by interacting with polysomes and may play a role in ER morphology. PMID: 21111237
- p180 promotes the ribosome-independent localization of a subset of mRNA to the endoplasmic reticulum. PMID: 22679391
- A novel function of p180-abundant endoplasmic reticulum on the trans-Golgi network expansion, both of which are highly developed in various professional secretory cells. PMID: 19932094
- p180 plays crucial roles in enhancing collagen biosynthesis at the entry site of the secretory compartments by a novel mechanism that mainly involves facilitating ribosome association on the ER. PMID: 20647306
- Results identify the ribosome receptor, p180, as a binding partner of the kinesin heavy chain isoform KIF5B. PMID: 15184079
- These data suggest that p180 mediates interactions between the endoplasmic reticulum and microtubules mainly through the novel microtubule-binding and -bundling domain MTB-1. PMID: 17634287
- over-expression of p180R failed to increase secretory pathway proteins calnexin, SEC61beta, and calreticulin, or ribosome biogenesis PMID: 18083570
- results obtained demonstrate that p180 is both necessary & sufficient to induce a secretory phenotype in mammalian cells; findings support a central role for p180 in the terminal differentiation of secretory cells & tissues PMID: 19037105
- the discovery overexpression of GPD1 and RRBP1 proteins and lack of expression for HNRNPH1 and SERPINB6 proteins which are new candidate biomarkers of colon cancer. PMID: 19425502
顯示更多
收起更多
-
亞細胞定位:Endoplasmic reticulum membrane; Single-pass type III membrane protein.
-
數據庫鏈接:
Most popular with customers
-
-
Phospho-YAP1 (S127) Recombinant Monoclonal Antibody
Applications: ELISA, WB, IHC
Species Reactivity: Human
-
-
-
-
-
-















