RRAGC Antibody
-
中文名稱:RRAGC兔多克隆抗體
-
貨號:CSB-PA867190ESR1HU
-
規格:¥440
-
圖片:
-
Western blot
All lanes: RRAGC antibody at 1.14µg/ml
Lane 1: Hela whole cell lysate
Lane 2: MCF-7 whole cell lysate
Lane 3: A549 whole cell lysate
Secondary
Goat polyclonal to rabbit IgG at 1/10000 dilution
Predicted band size: 44 kDa
Observed band size: 44 kDa -
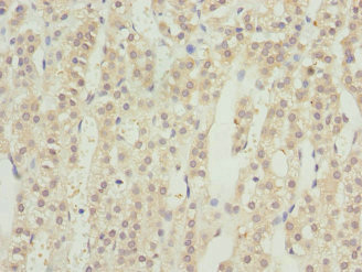
Immunohistochemistry of paraffin-embedded human adrenal gland tissue using CSB-PA867190ESR1HU at dilution of 1:100
-
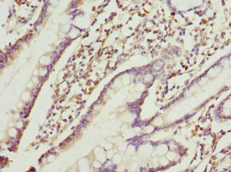
Immunohistochemistry of paraffin-embedded human small intestine tissue using CSB-PA867190ESR1HU at dilution of 1:100
-
-
其他:
產品詳情
-
產品名稱:Rabbit anti-Homo sapiens (Human) RRAGC Polyclonal antibody
-
Uniprot No.:
-
基因名:
-
別名:AU041672 antibody; FLJ13311 antibody; GTPase interacting protein 2 antibody; GTPase-interacting protein 2 antibody; GTR2 antibody; MGC47404 antibody; OTTHUMP00000000548 antibody; Rag C antibody; Rag C protein antibody; RAGC antibody; Ras related GTP binding C antibody; Ras-related GTP-binding protein C antibody; RP23 29H22.4 antibody; RRAGC antibody; RRAGC_HUMAN antibody; TIB929 antibody; YGR163W antibody
-
宿主:Rabbit
-
反應種屬:Human
-
免疫原:Recombinant Human Ras-related GTP-binding protein C protein (1-250AA)
-
免疫原種屬:Homo sapiens (Human)
-
標記方式:Non-conjugated
-
克隆類型:Polyclonal
-
抗體亞型:IgG
-
純化方式:Antigen Affinity Purified
-
濃度:It differs from different batches. Please contact us to confirm it.
-
保存緩沖液:PBS with 0.02% sodium azide, 50% glycerol, pH7.3.
-
產品提供形式:Liquid
-
應用范圍:ELISA, WB, IHC
-
推薦稀釋比:
Application Recommended Dilution WB 1:1000-1:5000 IHC 1:20-1:200 -
Protocols:
-
儲存條件:Upon receipt, store at -20°C or -80°C. Avoid repeated freeze.
-
貨期:Basically, we can dispatch the products out in 1-3 working days after receiving your orders. Delivery time maybe differs from different purchasing way or location, please kindly consult your local distributors for specific delivery time.
-
用途:For Research Use Only. Not for use in diagnostic or therapeutic procedures.
相關產品
靶點詳情
-
功能:Guanine nucleotide-binding protein that plays a crucial role in the cellular response to amino acid availability through regulation of the mTORC1 signaling cascade. Forms heterodimeric Rag complexes with RRAGA or RRAGB and cycles between an inactive GTP-bound and an active GDP-bound form. In its active form participates in the relocalization of mTORC1 to the lysosomes and its subsequent activation by the GTPase RHEB. This is a crucial step in the activation of the TOR signaling cascade by amino acids.
-
基因功能參考文獻:
- Multiple RRAGC mutations demonstrated elevated MTOR activation. PMID: 27267853
- Full-length RagA(GTP):RagC(GDP) dimer binds to regulator to activate mTORC1. PMID: 29107538
- The dynamic response of mTORC1 requires intersubunit communication by the Rag GTPases, providing a rationale for why they exist as a dimer and revealing a distinct mode of control for a GTP-binding protein. PMID: 29056322
- These findings implicate mTORC1 dysregulation through a gain-of-function mutation in RagC as a novel molecular basis for syndromic forms of pediatric heart failure, and expand genotype-phenotype correlation in RASopathy-related syndromes PMID: 27234373
- activating nature of the RRAGC mutations, their existence in the dominant clone and their stability during disease progression support their potential as an excellent candidate for therapeutic targeting PMID: 26691987
顯示更多
收起更多
-
相關疾病:RRAGC mutations have been found in a patient with idiopathic dilated cardiomyopathy with ventricular dilation and systolic dysfunction, bilateral cataracts, and mild facial dysmorphisms.
-
亞細胞定位:Cytoplasm. Nucleus. Lysosome.
-
蛋白家族:GTR/RAG GTP-binding protein family
-
數據庫鏈接:
Most popular with customers
-
-
YWHAB Recombinant Monoclonal Antibody
Applications: ELISA, WB, IHC, IF, FC
Species Reactivity: Human, Mouse, Rat
-
Phospho-YAP1 (S127) Recombinant Monoclonal Antibody
Applications: ELISA, WB, IHC
Species Reactivity: Human
-
-
-
-
-















