RPS27 Antibody
-
中文名稱:RPS27兔多克隆抗體
-
貨號:CSB-PA346286
-
規格:¥1100
-
圖片:
-
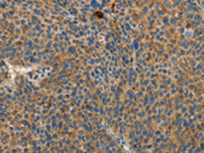
The image on the left is immunohistochemistry of paraffin-embedded Human thyroid cancer tissue using CSB-PA346286(RPS27 Antibody) at dilution 1/25, on the right is treated with fusion protein. (Original magnification: ×200)
-
The image on the left is immunohistochemistry of paraffin-embedded Human liver cancer tissue using CSB-PA346286(RPS27 Antibody) at dilution 1/25, on the right is treated with fusion protein. (Original magnification: ×200)
-
Gel: 12%SDS-PAGE, Lysate: 40 μg, Lane 1-3: Jurkat cells, K562 cells, Raji cells, Primary antibody: CSB-PA346286(RPS27 Antibody) at dilution 1/300, Secondary antibody: Goat anti rabbit IgG at 1/8000 dilution, Exposure time: 10 seconds
-
-
其他:
產品詳情
-
Uniprot No.:
-
基因名:RPS27
-
別名:2610206D02Rik antibody; 3200001M24Rik antibody; 40S ribosomal protein S27 antibody; C530005D02Rik antibody; Metallopan stimulin 1 antibody; Metallopan-stimulin 1 antibody; Metallopanstimulin 1 antibody; Metallopanstimulin1 antibody; MPS 1 antibody; MPS-1 antibody; MPS1 antibody; pmn antibody; Ribosomal protein S27 antibody; Ribosomal protein S27 metallopanstimulin 1 antibody; rps27 antibody; RS27_HUMAN antibody; S27 antibody; snoRNA MBI 112 antibody
-
宿主:Rabbit
-
反應種屬:Human,Mouse,Rat
-
免疫原:Fusion protein of Human RPS27
-
免疫原種屬:Homo sapiens (Human)
-
標記方式:Non-conjugated
-
抗體亞型:IgG
-
純化方式:Antigen affinity purification
-
濃度:It differs from different batches. Please contact us to confirm it.
-
保存緩沖液:-20°C, pH7.4 PBS, 0.05% NaN3, 40% Glycerol
-
產品提供形式:Liquid
-
應用范圍:ELISA,WB,IHC
-
推薦稀釋比:
Application Recommended Dilution ELISA 1:1000-1:2000 WB 1:200-1:1000 IHC 1:25-1:100 -
Protocols:
-
儲存條件:Upon receipt, store at -20°C or -80°C. Avoid repeated freeze.
-
貨期:Basically, we can dispatch the products out in 1-3 working days after receiving your orders. Delivery time maybe differs from different purchasing way or location, please kindly consult your local distributors for specific delivery time.
-
用途:For Research Use Only. Not for use in diagnostic or therapeutic procedures.
相關產品
靶點詳情
-
功能:Component of the small ribosomal subunit. Required for proper rRNA processing and maturation of 18S rRNAs.
-
基因功能參考文獻:
- Chloride anion behaves as a signaling effector for CFTR in the modulation of RPS27 expression. PMID: 28941802
- reveal how Mps1 dynamically modifies kinetochores to correct improper attachments and ensure faithful chromosome segregation PMID: 28441529
- MPS1 is a new marker of Purkinje Cells. PMID: 26708598
- We identified frequent recurrent (i.e. hotspot) mutation in the 5' untranslated region of RPS27 in ~10% of melanoma samples PMID: 24913145
- The data on genome context analysis indicates that the presence of MPS-1 in the blood is an indicator of oncogenesis PMID: 22798506
- This work is consistent with a critical role of RPMPS-1/S27 in the life cycle of various viruses and shows that disruption of viral ZFPs is potentially important to control and prevent deathly viral diseases PMID: 21518817
- study reveals a multilevel interplay between RPS27L/S27 and p53-MDM2 axis, with RPS27L functioning as a p53 target, a MDM2 substrate and a p53 regulator PMID: 21170087
- When MPS-1 is overexpressed, it has an extraribosomal function as a strong inhibitor of HNSCC tumor cell growth, which may be exerted by reduced paxillin gene expression. PMID: 19642098
- MPS-1 was overexpressed in 86% of the gastric cancer tissues and all gastric cancer cells. MPS-1 expression was significantly increased and corresponded with the tumor-node-metastasis clinical stage, and was significantly higher in the late stage. PMID: 16914586
顯示更多
收起更多
-
相關疾病:Diamond-Blackfan anemia 17 (DBA17)
-
蛋白家族:Eukaryotic ribosomal protein eS27 family
-
組織特異性:Expressed in a wide variety of actively proliferating cells and tumor tissues.
-
數據庫鏈接:
Most popular with customers
-
-
YWHAB Recombinant Monoclonal Antibody
Applications: ELISA, WB, IHC, IF, FC
Species Reactivity: Human, Mouse, Rat
-
Phospho-YAP1 (S127) Recombinant Monoclonal Antibody
Applications: ELISA, WB, IHC
Species Reactivity: Human
-
-
-
-
-















