RPN1 Antibody
-
中文名稱:RPN1兔多克隆抗體
-
貨號:CSB-PA579544
-
規格:¥1100
-
圖片:
-
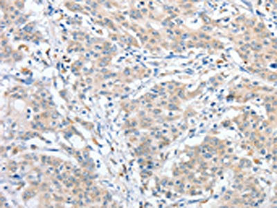
The image on the left is immunohistochemistry of paraffin-embedded Human liver cancer tissue using CSB-PA579544(RPN1 Antibody) at dilution 1/25, on the right is treated with fusion protein. (Original magnification: ×200)
-
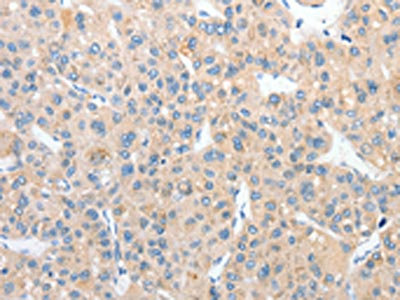
The image on the left is immunohistochemistry of paraffin-embedded Human gastric cancer tissue using CSB-PA579544(RPN1 Antibody) at dilution 1/25, on the right is treated with fusion protein. (Original magnification: ×200)
-
Gel: 8%SDS-PAGE, Lysate: 40 μg, Lane 1-5: Hela cells, A549 cells, MCF7 cells, human liver cancer tissue, Human lung cancer tissue, Primary antibody: CSB-PA579544(RPN1 Antibody) at dilution 1/550, Secondary antibody: Goat anti rabbit IgG at 1/8000 dilution, Exposure time: 1 minute
-
-
其他:
產品詳情
-
Uniprot No.:
-
基因名:
-
別名:D6Wsu137e antibody; Dolichyl diphosphooligosaccharide protein glycosyltransferase 67 kDa subunit antibody; Dolichyl diphosphooligosaccharide protein glycosyltransferase 67 kDa subunit precursor antibody; Dolichyl-diphosphooligosaccharide--protein glycosyltransferase 67 kDa subunit antibody; Dolichyl-diphosphooligosaccharide--protein glycosyltransferase subunit 1 antibody; EC 2.4.1.119 antibody; Oligosaccharyltransferase 1 homolog antibody; oligosaccharyltransferase complex subunit (non-catalytic) antibody; OST1 antibody; RBPH1 antibody; Ribophorin I antibody; Ribophorin-1 antibody; RPN-I antibody; Rpn1 antibody; RPN1_HUMAN antibody
-
宿主:Rabbit
-
反應種屬:Human,Mouse,Rat
-
免疫原:Fusion protein of Human RPN1
-
免疫原種屬:Homo sapiens (Human)
-
標記方式:Non-conjugated
-
抗體亞型:IgG
-
純化方式:Antigen affinity purification
-
濃度:It differs from different batches. Please contact us to confirm it.
-
保存緩沖液:-20°C, pH7.4 PBS, 0.05% NaN3, 40% Glycerol
-
產品提供形式:Liquid
-
應用范圍:ELISA,WB,IHC
-
推薦稀釋比:
Application Recommended Dilution ELISA 1:2000-1:5000 WB 1:500-1:2000 IHC 1:25-1:100 -
Protocols:
-
儲存條件:Upon receipt, store at -20°C or -80°C. Avoid repeated freeze.
-
貨期:Basically, we can dispatch the products out in 1-3 working days after receiving your orders. Delivery time maybe differs from different purchasing way or location, please kindly consult your local distributors for specific delivery time.
-
用途:For Research Use Only. Not for use in diagnostic or therapeutic procedures.
相關產品
靶點詳情
-
功能:Subunit of the oligosaccharyl transferase (OST) complex that catalyzes the initial transfer of a defined glycan (Glc(3)Man(9)GlcNAc(2) in eukaryotes) from the lipid carrier dolichol-pyrophosphate to an asparagine residue within an Asn-X-Ser/Thr consensus motif in nascent polypeptide chains, the first step in protein N-glycosylation. N-glycosylation occurs cotranslationally and the complex associates with the Sec61 complex at the channel-forming translocon complex that mediates protein translocation across the endoplasmic reticulum (ER). All subunits are required for a maximal enzyme activity.
-
基因功能參考文獻:
- These results clearly demonstrate that the association of malectin with ribophorin I is required to capture misfolded alpha1-antitrypsin and direct them to the degradation pathway. PMID: 25451265
- Data indicate that malectin functions by forming a complex with ribophorin I. PMID: 22988243
- ribophorin I can regulate the delivery of precursor proteins to the OST complex by capturing substrates and presenting them to the catalytic core. PMID: 18607003
-
亞細胞定位:Endoplasmic reticulum. Endoplasmic reticulum membrane; Single-pass type I membrane protein. Melanosome. Note=Identified by mass spectrometry in melanosome fractions from stage I to stage IV.
-
蛋白家族:OST1 family
-
組織特異性:Expressed in all tissues tested.
-
數據庫鏈接:
Most popular with customers
-
-
YWHAB Recombinant Monoclonal Antibody
Applications: ELISA, WB, IHC, IF, FC
Species Reactivity: Human, Mouse, Rat
-
Phospho-YAP1 (S127) Recombinant Monoclonal Antibody
Applications: ELISA, WB, IHC
Species Reactivity: Human
-
-
-
-
-















