-
中文名稱:RPL35A兔多克隆抗體
-
貨號:CSB-PA020248LA01HU
-
規格:¥440
-
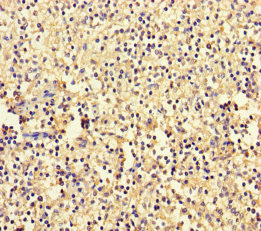
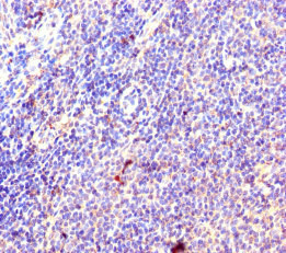
圖片:
-
其他:
產品詳情
-
產品名稱:Rabbit anti-Homo sapiens (Human) RPL35A Polyclonal antibody
-
Uniprot No.:
-
基因名:RPL35A
-
別名:60S ribosomal protein L35a antibody; Cell growth-inhibiting gene 33 protein antibody; DBA5 antibody; L35A antibody; Ribosomal Protein L35a antibody; RL35A_HUMAN antibody; RPL35A antibody
-
宿主:Rabbit
-
反應種屬:Human
-
免疫原:Recombinant Human 60S ribosomal protein L35a protein (1-110AA)
-
免疫原種屬:Homo sapiens (Human)
-
標記方式:Non-conjugated
本頁面中的產品,RPL35A Antibody (CSB-PA020248LA01HU),的標記方式是Non-conjugated。對于RPL35A Antibody,我們還提供其他標記。見下表:
-
克隆類型:Polyclonal
-
抗體亞型:IgG
-
純化方式:>95%, Protein G purified
-
濃度:It differs from different batches. Please contact us to confirm it.
-
保存緩沖液:Preservative: 0.03% Proclin 300
Constituents: 50% Glycerol, 0.01M PBS, PH 7.4 -
產品提供形式:Liquid
-
應用范圍:ELISA, IHC
-
推薦稀釋比:
Application Recommended Dilution IHC 1:20-1:200 -
Protocols:
-
儲存條件:Upon receipt, store at -20°C or -80°C. Avoid repeated freeze.
-
貨期:Basically, we can dispatch the products out in 1-3 working days after receiving your orders. Delivery time maybe differs from different purchasing way or location, please kindly consult your local distributors for specific delivery time.
-
用途:For Research Use Only. Not for use in diagnostic or therapeutic procedures.
引用文獻
- Unraveling Pancreatic Ductal Adenocarcinoma Immune Prognostic Signature through a Naive B Cell Gene Set S Zhang,Cancer letters,2024
相關產品
靶點詳情
-
功能:Required for the proliferation and viability of hematopoietic cells. Plays a role in 60S ribosomal subunit formation. The protein was found to bind to both initiator and elongator tRNAs and consequently was assigned to the P site or P and A site.
-
基因功能參考文獻:
- We identified 85 overlapping deletions, of which six included the RPL35A gene and all should be had Diamond-Blackfan anemia (DBA).we sequenced the remaining RNF168 gene and examined her fibroblast culture for a DNA double strand break repair deficiency. These results were normal, indicating that the immunodeficiency is unlikely to result from a RNF168 deficiency. PMID: 28432740
- Studies identified deletions at known Diamond-Blackfan anemia (DBA)-related ribosomal protein gene loci in 17% (9 of 51) of patients without an identifiable mutation, including RPS19, RPS17, RPS26, and RPL35A. PMID: 22045982
- Inhibition of cell death by ribosomal protein L35a. PMID: 12175552
- analysis of 2 Diamond-Blackfan anemia (DBA) patients with chromosome 3q deletions identified RPL35A as a potential DBA gene PMID: 18535205
-
相關疾病:Diamond-Blackfan anemia 5 (DBA5)
-
蛋白家族:Eukaryotic ribosomal protein eL33 family
-
數據庫鏈接:
Most popular with customers
-
YWHAB Recombinant Monoclonal Antibody
Applications: ELISA, WB, IHC, IF, FC
Species Reactivity: Human, Mouse, Rat
-
Phospho-YAP1 (S127) Recombinant Monoclonal Antibody
Applications: ELISA, WB, IHC
Species Reactivity: Human
-
-
-
-
-
-















