RPL27 Antibody
-
中文名稱:RPL27兔多克隆抗體
-
貨號:CSB-PA02345A0Rb
-
規格:¥440
-
圖片:
-
Western blot
All lanes: RPL27 antibody at 2µg/ml
Lane 1: EC109 whole cell lysate
Lane 2: 293T whole cell lysate
Secondary
Goat polyclonal to rabbit IgG at 1/15000 dilution
Predicted band size: 16 kDa
Observed band size: 16 kDa -
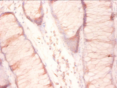
Immunohistochemistry of paraffin-embedded human colon cancer using CSB-PA02345A0Rb at diluton of 1:50
-
Immunofluorescent analysis of Hela cells using CSB-PA02345A0Rb at dilution of 1:100 and Alexa Fluor 488-congugated AffiniPure Goat Anti-Rabbit IgG(H+L)
-
-
其他:
產品詳情
-
產品名稱:Rabbit anti-Homo sapiens (Human) RPL27 Polyclonal antibody
-
Uniprot No.:
-
基因名:RPL27
-
別名:RPL27 antibody; 60S ribosomal protein L27 antibody; Large ribosomal subunit protein eL27 antibody
-
宿主:Rabbit
-
反應種屬:Human
-
免疫原:Recombinant Human 60S ribosomal protein L27 protein (2-136AA)
-
免疫原種屬:Homo sapiens (Human)
-
標記方式:Non-conjugated
本頁面中的產品,RPL27 Antibody (CSB-PA02345A0Rb),的標記方式是Non-conjugated。對于RPL27 Antibody,我們還提供其他標記。見下表:
-
克隆類型:Polyclonal
-
抗體亞型:IgG
-
純化方式:>95%, Protein G purified
-
濃度:It differs from different batches. Please contact us to confirm it.
-
保存緩沖液:Preservative: 0.03% Proclin 300
Constituents: 50% Glycerol, 0.01M PBS, PH 7.4 -
產品提供形式:Liquid
-
應用范圍:ELISA, WB, IHC, IF
-
推薦稀釋比:
Application Recommended Dilution WB 1:500-1:2000 IHC 1:20-1:200 IF 1:50-1:200 -
Protocols:
-
儲存條件:Upon receipt, store at -20°C or -80°C. Avoid repeated freeze.
-
貨期:Basically, we can dispatch the products out in 1-3 working days after receiving your orders. Delivery time maybe differs from different purchasing way or location, please kindly consult your local distributors for specific delivery time.
-
用途:For Research Use Only. Not for use in diagnostic or therapeutic procedures.
相關產品
靶點詳情
-
功能:Component of the large ribosomal subunit. Required for proper rRNA processing and maturation of 28S and 5.8S rRNAs.
-
基因功能參考文獻:
- Loss of function mutations in RPL27 and RPS27 lead to Diamond-Blackfan anaemia. PMID: 25424902
-
相關疾病:Diamond-Blackfan anemia 16 (DBA16)
-
亞細胞定位:Cytoplasm, cytosol. Cytoplasm. Rough endoplasmic reticulum.
-
蛋白家族:Eukaryotic ribosomal protein eL27 family
-
數據庫鏈接:
Most popular with customers
-
-
YWHAB Recombinant Monoclonal Antibody
Applications: ELISA, WB, IHC, IF, FC
Species Reactivity: Human, Mouse, Rat
-
Phospho-YAP1 (S127) Recombinant Monoclonal Antibody
Applications: ELISA, WB, IHC
Species Reactivity: Human
-
-
-
-
-















