RPAP3 Antibody
-
中文名稱:RPAP3兔多克隆抗體
-
貨號:CSB-PA961254
-
規格:¥1100
-
圖片:
-
The image on the left is immunohistochemistry of paraffin-embedded Human brain tissue using CSB-PA961254(RPAP3 Antibody) at dilution 1/15, on the right is treated with fusion protein. (Original magnification: ×200)
-
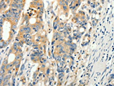
The image on the left is immunohistochemistry of paraffin-embedded Human colon cancer tissue using CSB-PA961254(RPAP3 Antibody) at dilution 1/15, on the right is treated with fusion protein. (Original magnification: ×200)
-
-
其他:
產品詳情
-
Uniprot No.:
-
基因名:RPAP3
-
別名:FLJ21908 antibody; RNA polymerase II associated protein 3 antibody; RNA polymerase II-associated protein 3 antibody; rpap3 antibody; RPAP3_HUMAN antibody; Spag antibody
-
宿主:Rabbit
-
反應種屬:Human
-
免疫原:Fusion protein of Human RPAP3
-
免疫原種屬:Homo sapiens (Human)
-
標記方式:Non-conjugated
-
抗體亞型:IgG
-
純化方式:Antigen affinity purification
-
濃度:It differs from different batches. Please contact us to confirm it.
-
保存緩沖液:-20°C, pH7.4 PBS, 0.05% NaN3, 40% Glycerol
-
產品提供形式:Liquid
-
應用范圍:ELISA,IHC
-
推薦稀釋比:
Application Recommended Dilution ELISA 1:1000-1:2000 IHC 1:15-1:50 -
Protocols:
-
儲存條件:Upon receipt, store at -20°C or -80°C. Avoid repeated freeze.
-
貨期:Basically, we can dispatch the products out in 1-3 working days after receiving your orders. Delivery time maybe differs from different purchasing way or location, please kindly consult your local distributors for specific delivery time.
-
用途:For Research Use Only. Not for use in diagnostic or therapeutic procedures.
相關產品
靶點詳情
-
功能:Forms an interface between the RNA polymerase II enzyme and chaperone/scaffolding protein, suggesting that it is required to connect RNA polymerase II to regulators of protein complex formation.
-
基因功能參考文獻:
- RPAP3 provides a flexible scaffold for coupling HSP90 to the human R2TP co-chaperone complex. PMID: 29662061
- These results indicate that RPAP3 may be a novel modulator of NF-kappaB pathway in apoptosis induced by anti-cancer chemotherapeutic agents. PMID: 21184742
- Data indicate that RNA polymerase II is built in the cytoplasm and reveal quality-control mechanisms that link HSP90 and its cochaperone hSpagh (RPAP3) to the nuclear import of fully assembled enzymes. PMID: 20864038
- Overexpression of RPAP3 in HEK 293 cells potentiated caspase-3 activation and apoptosis. PMID: 18538670
- RPAP3 interacts with Reptin to modulate UV-induced DNA damage by regulating H2AX phosphorylation PMID: 19180575
顯示更多
收起更多
-
蛋白家族:RPAP3 family
-
數據庫鏈接:
Most popular with customers
-
-
YWHAB Recombinant Monoclonal Antibody
Applications: ELISA, WB, IHC, IF, FC
Species Reactivity: Human, Mouse, Rat
-
Phospho-YAP1 (S127) Recombinant Monoclonal Antibody
Applications: ELISA, WB, IHC
Species Reactivity: Human
-
-
-
-
-















