RNF14 Antibody
-
中文名稱:RNF14兔多克隆抗體
-
貨號:CSB-PA409215
-
規格:¥1100
-
圖片:
-
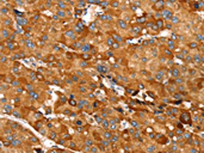
The image on the left is immunohistochemistry of paraffin-embedded Human liver cancer tissue using CSB-PA409215(RNF14 Antibody) at dilution 1/20, on the right is treated with fusion protein. (Original magnification: ×200)
-
Gel: 8%SDS-PAGE, Lysate: 40 μg, Lane: RAW264.7 cells, Primary antibody: CSB-PA409215(RNF14 Antibody) at dilution 1/300, Secondary antibody: Goat anti rabbit IgG at 1/8000 dilution, Exposure time: 2 minutes
-
-
其他:
產品詳情
-
Uniprot No.:
-
基因名:RNF14
-
別名:Androgen receptor associated protein 54 antibody; Androgen receptor-associated protein 54 antibody; ARA 54 antibody; ARA54 antibody; E3 ubiquitin protein ligase RNF14 antibody; E3 ubiquitin-protein ligase RNF14 antibody; FLJ26004 antibody; HFB 30 antibody; HFB30 antibody; HRIHFB2038 antibody; RING finger protein 14 antibody; RNF 14 antibody; Rnf14 antibody; RNF14_HUMAN antibody; TRIAD 2 antibody; TRIAD2 antibody; Triad2 protein antibody
-
宿主:Rabbit
-
反應種屬:Human,Mouse
-
免疫原:Fusion protein of Human RNF14
-
免疫原種屬:Homo sapiens (Human)
-
標記方式:Non-conjugated
-
抗體亞型:IgG
-
純化方式:Antigen affinity purification
-
濃度:It differs from different batches. Please contact us to confirm it.
-
保存緩沖液:-20°C, pH7.4 PBS, 0.05% NaN3, 40% Glycerol
-
產品提供形式:Liquid
-
應用范圍:ELISA,WB,IHC
-
推薦稀釋比:
Application Recommended Dilution ELISA 1:1000-1:2000 WB 1:200-1:1000 IHC 1:25-1:100 -
Protocols:
-
儲存條件:Upon receipt, store at -20°C or -80°C. Avoid repeated freeze.
-
貨期:Basically, we can dispatch the products out in 1-3 working days after receiving your orders. Delivery time maybe differs from different purchasing way or location, please kindly consult your local distributors for specific delivery time.
-
用途:For Research Use Only. Not for use in diagnostic or therapeutic procedures.
相關產品
靶點詳情
-
功能:Might act as an E3 ubiquitin-protein ligase which accepts ubiquitin from specific E2 ubiquitin-conjugating enzymes and then transfers it to substrates, which could be nuclear proteins. Could play a role as a coactivator for androgen- and, to a lesser extent, progesterone-dependent transcription.
-
基因功能參考文獻:
- Ring Finger Protein 14 (RNF14) is a binding partner for all TCF/LEF transcription factors. PMID: 23449499
- dominant-negative AR coregulator can suppress AR transactivation and cell proliferation in prostate cancer cells PMID: 11673464
- ARA54 role in prostate carcinoma progression may in may involve function as androgen receptor coactivator and focal adhesion protein PMID: 12772188
- ARA54, might have dual in vivo roles functioning as both a direct coactivator and as an indirect mediator in AR function. PMID: 17082327
- Dual functional roles for ARA54 as an AR coregulator directly and as a mediator for the suppressive effect of hnRNP A1 indirectly. PMID: 17110431
- mRNA expression of ARA54 correlates with that of cyclin D1 in human colon carcinoma cells, indicating that ARA54 is not only involved in the regulation of cyclin D1 expression in cultured cell lines but also in clinical cancer specimens. PMID: 17510080
- Differential localization of ARA54 may play an important role in testicular development and spermatogenesis in humans. PMID: 17919607
顯示更多
收起更多
-
亞細胞定位:Cytoplasm. Nucleus.
-
蛋白家族:RBR family, RNF14 subfamily
-
組織特異性:Widely expressed.
-
數據庫鏈接:
Most popular with customers
-
-
YWHAB Recombinant Monoclonal Antibody
Applications: ELISA, WB, IHC, IF, FC
Species Reactivity: Human, Mouse, Rat
-
Phospho-YAP1 (S127) Recombinant Monoclonal Antibody
Applications: ELISA, WB, IHC
Species Reactivity: Human
-
-
-
-
-















