RNF114 Antibody
-
中文名稱:RNF114兔多克隆抗體
-
貨號:CSB-PA019821ESR2HU
-
規格:¥440
-
圖片:
-
Western blot
All lanes: RNF114 antibody at 0.87µg/ml
Lane 1: Mouse gonadal tissue
Lane 2: 293T whole cell lysate
Secondary
Goat polyclonal to rabbit IgG at 1/10000 dilution
Predicted band size: 26, 22 kDa
Observed band size: 26 kDa -
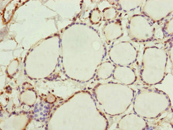
Immunohistochemistry of paraffin-embedded human thyroid tissue using CSB-PA019821ESR2HU at dilution of 1:100
-
-
其他:
產品詳情
-
產品名稱:Rabbit anti-Homo sapiens (Human) RNF114 Polyclonal antibody
-
Uniprot No.:
-
基因名:RNF114
-
別名:1110008J21Rik antibody; AI225886 antibody; AW549494 antibody; MGC112560 antibody; OTTMUSP00000001082 antibody; OTTMUSP00000017392 antibody; PSORS12 antibody; RING finger protein 114 antibody; RN114_HUMAN antibody; RNF114 antibody; RP23-118A2.1 antibody; Zfp228 antibody; Zfp313 antibody; Zinc finger protein 228 antibody; Zinc finger protein 313 antibody; ZNF228 antibody; ZNF313 antibody
-
宿主:Rabbit
-
反應種屬:Human, Mouse
-
免疫原:Recombinant Human E3 ubiquitin-protein ligase RNF114 protein (1-228AA)
-
免疫原種屬:Homo sapiens (Human)
-
標記方式:Non-conjugated
-
克隆類型:Polyclonal
-
抗體亞型:IgG
-
純化方式:Antigen Affinity Purified
-
濃度:It differs from different batches. Please contact us to confirm it.
-
保存緩沖液:PBS with 0.02% sodium azide, 50% glycerol, pH7.3.
-
產品提供形式:Liquid
-
應用范圍:ELISA, WB, IHC
-
推薦稀釋比:
Application Recommended Dilution WB 1:1000-1:5000 IHC 1:20-1:200 -
Protocols:
-
儲存條件:Upon receipt, store at -20°C or -80°C. Avoid repeated freeze.
-
貨期:Basically, we can dispatch the products out in 1-3 working days after receiving your orders. Delivery time maybe differs from different purchasing way or location, please kindly consult your local distributors for specific delivery time.
-
用途:For Research Use Only. Not for use in diagnostic or therapeutic procedures.
相關產品
靶點詳情
-
功能:E3 ubiquitin-protein ligase that promotes the ubiquitination of various substrates. In turn, participates in the regulation of many biological processes including cell cycle, apoptosis, osteoclastogenesis as well as innate or adaptive immunity. Acts as negative regulator of NF-kappa-B-dependent transcription by promoting the ubiquitination and stabilization of the NF-kappa-B inhibitor TNFAIP3. May promote the ubiquitination of TRAF6 as well. Acts also as a negative regulator of T-cell activation. Inhibits cellular dsRNA responses and interferon production by targeting MAVS component for proteasomal degradation. Ubiquitinates the CDK inhibitor CDKN1A leading to its degradationand probably also CDKN1B and CDKN1C. This activity stimulates cell cycle G1-to-S phase transition and suppresses cellular senescence. May play a role in spermatogenesis.
-
基因功能參考文獻:
- RNF114 is a new partner of A2O involved in the regulation of NF-kappaB activity that contributes to the control of signaling pathways modulating T cell-mediated immune response. PMID: 25165885
- RNF114 over-expression had a promotion effect on T cell activation with an average 43.97% increment and the upregulatory roles showed a dose-dependent effect with 18.44% increment. PMID: 24631332
- A single nucleotide plymorphism had an association with psoriasis in this Chinese Uygur population: SNP rs495337 in the gene encoding for zinc finger protein 313 (P < 0.001; OR = 0.80) PMID: 23617596
- ZNF313 is a novel cell cycle activator with an E3 ligase activity inhibiting cellular senescence by destabilizing p21(WAF1.). PMID: 23645206
- Rare disease-associated variants in the promoter region of the RNF114 psoriasis susceptibility gene have been identified. PMID: 22205304
- RNF114 regulates a positive feedback loop that enhances double-stranded RNA induced production of type I interferon. PMID: 21571784
- ZNF313 is controlled at the transcriptional level, and a common mechanism controlling the basal transcription of ZNF313 gene exists. PMID: 20515446
- ZNF313 is a novel psoriasis susceptibility gene. PMID: 18364390
顯示更多
收起更多
-
亞細胞定位:Cytoplasm. Nucleus.
-
組織特異性:Expressed in numerous tissues, including skin, CD4 lymphocytes and dendritic cells. Highest levels in testis.
-
數據庫鏈接:
Most popular with customers
-
-
YWHAB Recombinant Monoclonal Antibody
Applications: ELISA, WB, IHC, IF, FC
Species Reactivity: Human, Mouse, Rat
-
-
-
-
-
-















