RNASEL Antibody
-
中文名稱:RNASEL兔多克隆抗體
-
貨號:CSB-PA313223LA01HU
-
規格:¥440
-
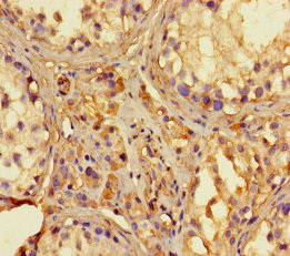
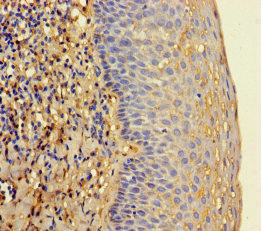
圖片:
-
其他:
產品詳情
-
產品名稱:Rabbit anti-Homo sapiens (Human) RNASEL Polyclonal antibody
-
Uniprot No.:
-
基因名:
-
別名:2 5A dependent ribonuclease antibody; 2 5A dependent RNase antibody; 2' 5' oligoisoadenylate synthetase dependent antibody; 2-5A-dependent ribonuclease antibody; 2-5A-dependent RNase antibody; DKFZp781D08126 antibody; Interferon induced 2 5A dependent RNase antibody; MGC104972 antibody; MGC133329 antibody; PRCA 1 antibody; PRCA1 antibody; Ribonuclease 4 antibody; Ribonuclease L (2' 5' oligoisoadenylate synthetase dependent) antibody; Ribonuclease L antibody; Ribonuclease4 antibody; RibonucleaseL antibody; RN5A_HUMAN antibody; RNase L antibody; Rnasel antibody; RNS 4 antibody; RNS4 antibody
-
宿主:Rabbit
-
反應種屬:Human
-
免疫原:Recombinant Human 2-5A-dependent ribonuclease protein (330-741AA)
-
免疫原種屬:Homo sapiens (Human)
-
標記方式:Non-conjugated
本頁面中的產品,RNASEL Antibody (CSB-PA313223LA01HU),的標記方式是Non-conjugated。對于RNASEL Antibody,我們還提供其他標記。見下表:
-
克隆類型:Polyclonal
-
抗體亞型:IgG
-
純化方式:>95%, Protein G purified
-
濃度:It differs from different batches. Please contact us to confirm it.
-
保存緩沖液:Preservative: 0.03% Proclin 300
Constituents: 50% Glycerol, 0.01M PBS, PH 7.4 -
產品提供形式:Liquid
-
應用范圍:ELISA, IHC
-
推薦稀釋比:
Application Recommended Dilution IHC 1:20-1:200 -
Protocols:
-
儲存條件:Upon receipt, store at -20°C or -80°C. Avoid repeated freeze.
-
貨期:Basically, we can dispatch the products out in 1-3 working days after receiving your orders. Delivery time maybe differs from different purchasing way or location, please kindly consult your local distributors for specific delivery time.
-
用途:For Research Use Only. Not for use in diagnostic or therapeutic procedures.
相關產品
靶點詳情
-
功能:Endoribonuclease that functions in the interferon (IFN) antiviral response. In INF treated and virus infected cells, RNASEL probably mediates its antiviral effects through a combination of direct cleavage of single-stranded viral RNAs, inhibition of protein synthesis through the degradation of rRNA, induction of apoptosis, and induction of other antiviral genes. RNASEL mediated apoptosis is the result of a JNK-dependent stress-response pathway leading to cytochrome c release from mitochondria and caspase-dependent apoptosis. Therefore, activation of RNASEL could lead to elimination of virus infected cells under some circumstances. In the crosstalk between autophagy and apoptosis proposed to induce autophagy as an early stress response to small double-stranded RNA and at later stages of prolonged stress to activate caspase-dependent proteolytic cleavage of BECN1 to terminate autophagy and promote apoptosis. Might play a central role in the regulation of mRNA turnover. Cleaves 3' of UpNp dimers, with preference for UU and UA sequences, to sets of discrete products ranging from between 4 and 22 nucleotides in length.
-
基因功能參考文獻:
- Mitochondrial C11orf83 is a potent antiviral protein independent of interferon production; and knockdown of either OAS3 or RNase L impaired the antiviral capability of C11orf83. PMID: 28418037
- Our study suggests that RNASEL:p.Glu265* may be a genetic modifier of risk for early-onset breast cancer predisposition in carriers of high-risk mutations. PMID: 29422015
- Results reported in the present study suggest a sex-specific interaction between miR-146a and RNASEL genes in melanoma skin cancer susceptibility. PMID: 28654546
- These results demonstrate that ablation of RNase L activity promotes survival of ADAR1 deficient cells even in the presence of MDA5 and MAVS, suggesting that the RNase L system is the primary sensor pathway for endogenous dsRNA that leads to cell death. PMID: 28362255
- Mutations in the genes glucokinase regulatory protein (GCKR), RNase L (RNASEL), leukocyte immunoglobulin-like receptor 3 (LILRA3), and dynein axonemal heavy chain 10 (DNAH10) segregated with elevated HDLc levels in families, while no mutations associated with low HDLc. PMID: 24891332
- findings suggest that beside the RLR pathway, RNase L cleavage products can also activate the NLRP3-inflammasome pathway, which requires DHX33 (DExD/H-box helicase) and the mitochondrial adaptor protein MAVS. PMID: 26987611
- This study provides the evidence that germline variations in RNASEL are associated with fatal PCa in men (Gleason score >7 for rs486907 and RNASEL underexpressed [P = 0.007] in patients with PCa). PMID: 27318894
- By sequencing abundant RNA fragments generated by RNase L in cell lines, we identify site-specific cleavage of two groups of noncoding RNAs: Y-RNAs, whose function is poorly understood, and cytosolic tRNAs, which are essential for translation. PMID: 28808124
- RNASEL rs3738579 genotype was significantly related to severe necroinflammatory activity (NIA) grade of chronic hepatitis C patients. PMID: 28704535
- Serum RNase-L levels were inversely associated with metabolic syndrome and age. PMID: 28399925
- We show that mutations in RNase L found in HPC patients may promote prostate cancer by increasing expression of AR-responsive genes and cell motility and identify novel roles of RNase L as a prostate cancer susceptibility gene. PMID: 28257035
- Suggest that naturally occurring mutations in the RNase L gene might promote enhanced prostate cancer cell migration and metastasis. PMID: 26517238
- This review outlines the role of RNase-L in antimicrobial immunity and the cytoskeleton-associated innate response. [review] PMID: 26760998
- Data show that RNA decay by ribonuclease L (RNase L) has an important role in homeostasis and serves as a suppressor of cell adhesion. PMID: 26668391
- Single Nucleotide Polymorphisms in RNASEL involved in the immune response are generally not associated with intraprostatic inflammation in men without a Prostate cancer diagnosis. PMID: 26771888
- OAS3 displayed a higher affinity for dsRNA in intact cells than either OAS1 or OAS2, consistent with its dominant role in RNase L activation. PMID: 26858407
- Tanslation of vaccinia virus A27L and B5R genes is independent of PKR activation, but their expression is dependent on the RNase L activity. PMID: 26656695
- Our results demonstrate a novel role of RNase L generated small RNAs in cross-talk between autophagy and apoptosis that impacts the fate of cells during viral infections and cancer. PMID: 26263979
- Among 794 RNASEL Ssingle nucleotide polymorphism (SNPs) entries 124 SNPs were found nonsynonymous (ns) from which SIFT predicted 13 nsSNPs as nontolerable whereas PolyPhen-2 predicted 28. PMID: 26236721
- Virus infection and RNase L activation disrupt its association with Filamin A and release RNase L to mediate its canonical nuclease-dependent antiviral activities. PMID: 25352621
- These data show that RNase L targets specific sites in both host and viral RNAs to restrict influenza virus replication when NS1 protein is disabled. PMID: 25540362
- The IFNs inhibit viral infections in part through the 2',5'-oligoadenylate (2-5A) synthetase (OAS)/RNase L pathway. PMID: 24905202
- a model of feedback regulation in which RNase L and TTP target SRF mRNA and SRF-induced transcripts. PMID: 25301952
- data suggest that RNASEL, an enzyme involved in RNA turnover, is controlled by miR-146a and may be important in NMSC etiology PMID: 24699816
- The combined high affinity for double-stranded RNA and the capability to produce 2'-5'-linked oligoadenylates of sufficient length to activate RNase L suggests that OAS3 is a potent activator of RNase L. PMID: 25275129
- This study identified three RNASEL variants that are associated with risk for prostate cancer. PMID: 21360564
- RNAse L gene SNP 1385G>A does not have a clear clinical significance in CHC. PMID: 25286525
- RNase L activity limits FFA/obesity-induced impairment of insulin response in muscle cells via TLR3 and MnSOD expression. PMID: 24651439
- This work identifies novel roles for IFN-beta and RNase L in cell barrier functions that are targeted by bacterial effectors to escape host defense mechanisms and promote virulence. PMID: 24733098
- Association between SNPs from RNASEL and chromosome 8q24 with the risk of prostate cancer, and its aggressiveness, in a Hispanic (Chilean) population. PMID: 24224612
- this study reports 2.8 and 2.1 angstrom crystal structures of human RNase L in complexes with synthetic and natural ligands and a fragment of an RNA substrate. PMID: 24578532
- We show an association between RNASEL SNP rs12757998 and outcome after radiation therapy for prostate cancer PMID: 23382116
- the structural changes of human RNase L as a result of interactions with four different activators: natural 2-5 pA(4) and three tetramers with 3'-end AMP PMID: 22691533
- Data show that miR-29 acts via 4 target sites within the RNASEL 3' UTR. PMID: 23113544
- RNASEL mutations are associated with xenotropic murine leukemia virus and its R426Q polymorphism in patients with prostate cancer PMID: 23098452
- Two molecules of 2-5A at a time tether RNase L monomers via the ankyrin-repeat (ANK) domain. Each ANK domain harbors two distinct sites for 2-5A recognition that reside 50 A apart. PMID: 23084743
- among the members of the OAS family, OAS1 p46 and OAS3 p100 mediate the RNase L-dependent antiviral activity against HCV PMID: 23196181
- RNase L induces autophagy via c-Jun N-terminal kinase and double-stranded RNA-dependent protein kinase signaling pathways. PMID: 23109342
- study found that RNase L is highly expressed in lung cancer cells with significantly decreased enzymatic activity due to an increase of RLI, a specific inhibitor of RNase L PMID: 22925698
- Positive selection has operated on the RNASEL gene. PMID: 22513284
- Statistically significant differences were found between controls and patients in some of the genotyped regions of the RNASEL gene PMID: 22464196
- genotypes associated with the worst prognoses in prostate cancer are G/G in D541E, A/A in R462Q and A/G in I97L. PMID: 22083266
- The RNASEL 541Gln allele might be a low-penetrent risk factor for sporadic prostate cancer. PMID: 21656378
- Five SNPs were validated as being significantly associated with prostate cancer mortality, one each in the LEPR, CRY1, RNASEL, IL4, and ARVCF genes. PMID: 21846818
- The RNASEL -1385G/A polymorphism is associated with cancer risk in African descendents. PMID: 21221811
- Ribonuclease L (RNASEL) protein was shown to be up-regulated in lopinavir-treated SiHa cells, which was confirmed by PCR and western blot. Targeted silencing of RNASEL reduced the sensitivity of SiHa cells to lopinavir. PMID: 21685539
- Codon 462 polymorphisms within the RNASEL gene are not associated with an increased risk of cervical cancer. PMID: 21665181
- Data show that the IQ motif-containing Ras GTPase-activating-like protein 1 (IQGAP1) can associate with RNase L, and that phosphorylation occurs on the IQGAP1, and works as a regulator in apoptosis. PMID: 20875083
- Genetic variation is associated with RNASEL associated with prostate cancer. PMID: 20576793
- These studies suggest that the expression of Xpr1 and certain genotypes of the RNASEL gene, which could restrict XMRV infection, may play important roles in defining XMRV tropisms in certain cell types. PMID: 20410264
顯示更多
收起更多
-
相關疾病:Prostate cancer, hereditary, 1 (HPC1)
-
亞細胞定位:Cytoplasm. Mitochondrion.
-
蛋白家族:Protein kinase superfamily
-
組織特異性:Highly expressed in spleen and thymus followed by prostate, testis, uterus, small intestine, colon and peripheral blood leukocytes.
-
數據庫鏈接:
Most popular with customers
-
-
YWHAB Recombinant Monoclonal Antibody
Applications: ELISA, WB, IHC, IF, FC
Species Reactivity: Human, Mouse, Rat
-
Phospho-YAP1 (S127) Recombinant Monoclonal Antibody
Applications: ELISA, WB, IHC
Species Reactivity: Human
-
-
-
-
-















