RNASEH2A Antibody
-
中文名稱:RNASEH2A兔多克隆抗體
-
貨號:CSB-PA019805LA01HU
-
規格:¥440
-
圖片:
-
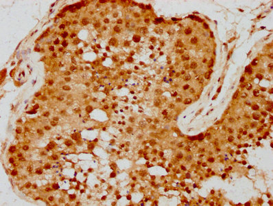
IHC image of CSB-PA019805LA01HU diluted at 1:300 and staining in paraffin-embedded human testis tissue performed on a Leica BondTM system. After dewaxing and hydration, antigen retrieval was mediated by high pressure in a citrate buffer (pH 6.0). Section was blocked with 10% normal goat serum 30min at RT. Then primary antibody (1% BSA) was incubated at 4°C overnight. The primary is detected by a biotinylated secondary antibody and visualized using an HRP conjugated SP system.
-
-
其他:
產品詳情
-
產品名稱:Rabbit anti-Homo sapiens (Human) RNASEH2A Polyclonal antibody
-
Uniprot No.:
-
基因名:RNASEH2A
-
別名:RNASEH2A antibody; RNASEHI antibody; RNHIA antibody; Ribonuclease H2 subunit A antibody; RNase H2 subunit A antibody; EC 3.1.26.4 antibody; Aicardi-Goutieres syndrome 4 protein antibody; AGS4 antibody; RNase H(35) antibody; Ribonuclease HI large subunit antibody; RNase HI large subunit antibody; Ribonuclease HI subunit A antibody
-
宿主:Rabbit
-
反應種屬:Human
-
免疫原:Recombinant Human Ribonuclease H2 subunit A protein (201-299AA)
-
免疫原種屬:Homo sapiens (Human)
-
標記方式:Non-conjugated
本頁面中的產品,RNASEH2A Antibody (CSB-PA019805LA01HU),的標記方式是Non-conjugated。對于RNASEH2A Antibody,我們還提供其他標記。見下表:
-
克隆類型:Polyclonal
-
抗體亞型:IgG
-
純化方式:>95%, Protein G purified
-
濃度:It differs from different batches. Please contact us to confirm it.
-
保存緩沖液:Preservative: 0.03% Proclin 300
Constituents: 50% Glycerol, 0.01M PBS, pH 7.4 -
產品提供形式:Liquid
-
應用范圍:ELISA, IHC
-
推薦稀釋比:
Application Recommended Dilution IHC 1:200-1:500 -
Protocols:
-
儲存條件:Upon receipt, store at -20°C or -80°C. Avoid repeated freeze.
-
貨期:Basically, we can dispatch the products out in 1-3 working days after receiving your orders. Delivery time maybe differs from different purchasing way or location, please kindly consult your local distributors for specific delivery time.
-
用途:For Research Use Only. Not for use in diagnostic or therapeutic procedures.
相關產品
靶點詳情
-
功能:Catalytic subunit of RNase HII, an endonuclease that specifically degrades the RNA of RNA:DNA hybrids. Participates in DNA replication, possibly by mediating the removal of lagging-strand Okazaki fragment RNA primers during DNA replication. Mediates the excision of single ribonucleotides from DNA:RNA duplexes.
-
基因功能參考文獻:
- The expression levels of RNASEH2A, CDK1, and CD151 and their combination could predict the survival of renal cell carcinoma patients. PMID: 29843367
- RNaseH2A may be involved in human gliomagenesis. PMID: 27176716
- This study reviewed that Neurologic Phenotypes Associated with Mutations in RNASEH2A in patients with Aicardi-Goutieres Syndrome. PMID: 27643693
- RNase H2 complex is assembled in the cytosol and imported into the nucleus in an RNase H2B-dependent manner. PMID: 24986920
- Studies indicate that most antiviral-defense systems involve RNase H-like enzymes destroying invading nucleic acids, RNA, or DNA. PMID: 25703292
- study identified two synonymous variants in RNASEH2A that result in loss of RNase H2 enzyme function and the consequent Aicardi-Goutieres syndrome phenotype PMID: 23592335
- analysis of the RNase H2A subunit mutations that cause Aicardi-Goutieres syndrome PMID: 21454563
顯示更多
收起更多
-
相關疾病:Aicardi-Goutieres syndrome 4 (AGS4)
-
亞細胞定位:Nucleus.
-
蛋白家族:RNase HII family, Eukaryotic subfamily
-
數據庫鏈接:
Most popular with customers
-
-
YWHAB Recombinant Monoclonal Antibody
Applications: ELISA, WB, IHC, IF, FC
Species Reactivity: Human, Mouse, Rat
-
Phospho-YAP1 (S127) Recombinant Monoclonal Antibody
Applications: ELISA, WB, IHC
Species Reactivity: Human
-
-
-
-
-















