RNASE2 Antibody
-
中文名稱:RNASE2兔多克隆抗體
-
貨號:CSB-PA019794LA01HU
-
規格:¥440
-
圖片:
-
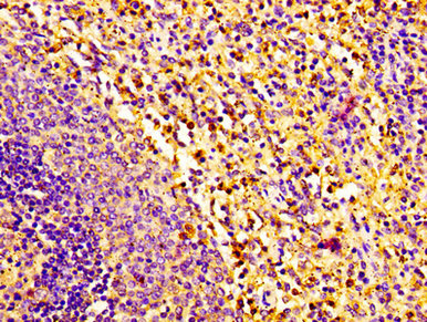
IHC image of CSB-PA019794LA01HU diluted at 1:100 and staining in paraffin-embedded human spleen tissue performed on a Leica BondTM system. After dewaxing and hydration, antigen retrieval was mediated by high pressure in a citrate buffer (pH 6.0). Section was blocked with 10% normal goat serum 30min at RT. Then primary antibody (1% BSA) was incubated at 4°C overnight. The primary is detected by a biotinylated secondary antibody and visualized using an HRP conjugated SP system.
-
-
其他:
產品詳情
-
產品名稱:Rabbit anti-Homo sapiens (Human) RNASE2 Polyclonal antibody
-
Uniprot No.:
-
基因名:RNASE2
-
別名:RNASE2 antibody; EDN antibody; RNS2 antibody; Non-secretory ribonuclease antibody; EC 4.6.1.18 antibody; Eosinophil-derived neurotoxin antibody; RNase UpI-2 antibody; Ribonuclease 2 antibody; RNase 2 antibody; Ribonuclease US antibody
-
宿主:Rabbit
-
反應種屬:Human
-
免疫原:Recombinant Human Non-secretory ribonuclease protein (28-161AA)
-
免疫原種屬:Homo sapiens (Human)
-
標記方式:Non-conjugated
本頁面中的產品,RNASE2 Antibody (CSB-PA019794LA01HU),的標記方式是Non-conjugated。對于RNASE2 Antibody,我們還提供其他標記。見下表:
-
克隆類型:Polyclonal
-
抗體亞型:IgG
-
純化方式:>95%, Protein G purified
-
濃度:It differs from different batches. Please contact us to confirm it.
-
保存緩沖液:Preservative: 0.03% Proclin 300
Constituents: 50% Glycerol, 0.01M PBS, PH 7.4 -
產品提供形式:Liquid
-
應用范圍:ELISA, IHC
-
推薦稀釋比:
Application Recommended Dilution IHC 1:20-1:200 -
Protocols:
-
儲存條件:Upon receipt, store at -20°C or -80°C. Avoid repeated freeze.
-
貨期:Basically, we can dispatch the products out in 1-3 working days after receiving your orders. Delivery time maybe differs from different purchasing way or location, please kindly consult your local distributors for specific delivery time.
-
用途:For Research Use Only. Not for use in diagnostic or therapeutic procedures.
相關產品
靶點詳情
-
功能:This is a non-secretory ribonuclease. It is a pyrimidine specific nuclease with a slight preference for U. Cytotoxin and helminthotoxin. Selectively chemotactic for dendritic cells. Possesses a wide variety of biological activities.
-
基因功能參考文獻:
- In healthy children, 95th Percentile values ranged from 1519 mg/kg at 0 months to 54.4 mg/kg at 144 months for fecal calprotectin (fCP) and from 9.9 mg/kg at 0 months to 0.2 mg/kg at 144 months for fecal eosinophil-derived neurotoxin (fEDN). There was a significant association between age and fCP concentrations and age and fEDN concentrations and a significant association between fEDN and fCP. PMID: 28169973
- EDN serum level could be considered a candidate molecule as a clinical biomarker for evaluating atopic dermatitis activity and a predictor of relapse PMID: 28866306
- Serum EDN level may be a useful marker for monitoring persistent airflow limitation in adult patients with asthma who had positive results for house-dust-specific IgE antibodies. PMID: 26534742
- increased in feces after the ingestion of enterocolitis-causative foods PMID: 24890227
- RNASE2 gene expression was differentially expressed in rheumatoid arthritis patients considering a sequence polymorphism. PMID: 25221852
- The antimicrobial protein, RNase 2 exhibits antiviral against respiratory syncytial virus. PMID: 9826755
- findings show substantial amounts of EPX/EDN localise in an extra-granular, low equilibrium density compartment of eosinophils PMID: 23053729
- A higher level of serum EDN was found specifically in patients with ALS, indicating that EDN may participate in the pathophysiology of Amyotrophic lateral sclerosis. PMID: 23533305
- Eosinophil protein X in urine from asymptomatic neonates is a biomarker significantly associated with later development of allergic sensitization, nasal eosinophilia, and eczema during the first 6 years of life PMID: 21680952
- atomic resolution structure PMID: 11876642
- crystal structure of a post-translationally modified form of eosinophil-derived neurotoxin (EDN) with four extra residues on its N terminus ((-4)EDN) has been solved and refined at atomic resolution (1 A) PMID: 11916383
- EDN and ECP are paralogs in human and Old World monkeys. PMID: 11959927
- evidence for glycosylphosphatidylinositol (GPI)-anchored neurotoxin on granulocytes PMID: 12606041
- data suggest that peripheral blood eosinophils from subjects with untreated asthma have increased inflammatory capacity, as reflected by greater intracellular concentrations of EDN PMID: 15356558
- Results reveal the dendritic cell-activating activity of eosinophil-derived neurotoxin and suggest that it is a likely participant of inflammatory and immune responses--an endogenous multifunctional immune alarmin. PMID: 15528350
- Results describe the crystal structure of placental ribonuclease inhibitor in complex with eosinophil-derived neurotoxin, and a mutational analysis based on this structure. PMID: 15755456
- May possibly be associated with the development of tropical pulmonary eosinophilia. PMID: 16014847
- Elevated glycosylated form of EDN in urine is associated with ovarian cancer PMID: 16428483
- EGO is a novel ncRNA gene expressed during eosinophil development and is necessary for normal MBP and EDN transcript expression. PMID: 17351112
- Data show that uEPX/c levels did not correlate with established markers of asthma severity and eosinophilic airway inflammation in atopic asthmatic children. PMID: 17641730
- MAZ and Sp1 play important roles on the transcriptional activation of the human edn promoter through specific binding to a 34-nt segment present in representative primate eosinophil rnase promoters. PMID: 17927842
- Urinary concentrations of eosinophil-derived neurotoxin in patients with atopic dermatitis show a significant positive correlation with disease severity. PMID: 17965582
- EDN can activate myeloid DCs by triggering the Toll-like receptor (TLR)2-myeloid differentiation factor 88 signaling pathway PMID: 18195069
- In three continental population groups (Asia, Europe, Africa), the angiogenin and RNase 2 genes appear to exhibit markedly less genetic heterogeneity with regard to T195C and A238G (ANG) and C425A (RNASE2) SNPs. PMID: 18636464
- No variation in genes encoding eosinophil-derived neurotoxin for Atopic dermatitis pathogenesis in this German cohort. PMID: 19014520
- the roles of the six discrete segments in transcription regulation were investigated and the -350/-329 region (ednR2) was shown to be involved in the regulation of edn expression PMID: 19115260
- ECP and EDN disrupt skin integrity and cause inflammation PMID: 19717523
顯示更多
收起更多
-
亞細胞定位:Lysosome. Cytoplasmic granule. Note=Matrix of eosinophil's large specific granule.
-
蛋白家族:Pancreatic ribonuclease family
-
組織特異性:Liver, lung, spleen, leukocytes and body fluids.
-
數據庫鏈接:
Most popular with customers
-
-
Phospho-YAP1 (S127) Recombinant Monoclonal Antibody
Applications: ELISA, WB, IHC
Species Reactivity: Human
-
-
-
-
-
-















