RMND1 Antibody
-
中文名稱:RMND1兔多克隆抗體
-
貨號:CSB-PA882123LA01HU
-
規格:¥440
-
圖片:
-
Western Blot
Positive WB detected in: MCF7 whole cell lysate(30μg), HepG2 whole cell lysate(30μg), THP-1 whole cell lysate(30μg)
All lanes: RMND1 antibody at 1:1000
Secondary
Goat polyclonal to rabbit IgG at 1/20000 dilution
Predicted band size: 52,28,24 kDa
Observed band size: 52 kDa
Exposure time: 120s -
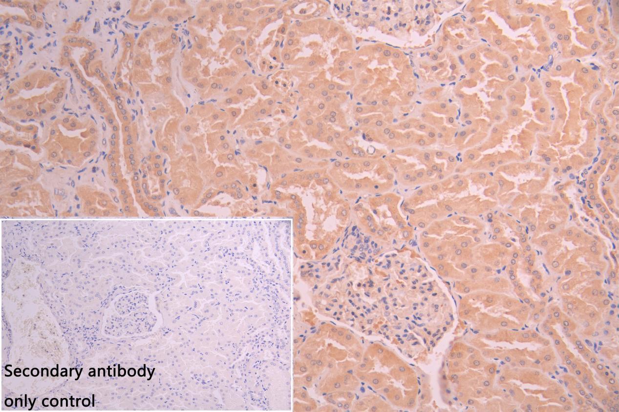
IHC image of CSB-PA882123LA01HU diluted at 1:50 and staining in paraffin-embedded human kidney tissue performed on a Leica BondTM system. After dewaxing and hydration, antigen retrieval was mediated by high pressure in a citrate buffer (pH 6.0). Section was blocked with 10% normal goat serum 30min at RT. Then primary antibody (1% BSA) was incubated at 4°C overnight. The primary is detected by a Goat anti-rabbit polymer IgG labeled by HRP and visualized using 0.05% DAB. Secondary antibody only control: uses 1% BSA instead of primary antibody
-
IHC image of CSB-PA882123LA01HU diluted at 1:50 and staining in paraffin-embedded human adrenal gland tissue performed on a Leica BondTM system. After dewaxing and hydration, antigen retrieval was mediated by high pressure in a citrate buffer (pH 6.0). Section was blocked with 10% normal goat serum 30min at RT. Then primary antibody (1% BSA) was incubated at 4°C overnight. The primary is detected by a Goat anti-rabbit polymer IgG labeled by HRP and visualized using 0.05% DAB. Secondary antibody only control: uses 1% BSA instead of primary antibody
-
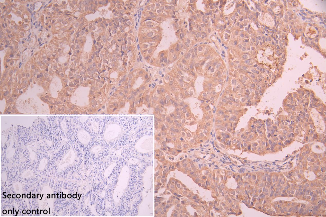
IHC image of CSB-PA882123LA01HU diluted at 1:50 and staining in paraffin-embedded human ovarian cancer performed on a Leica BondTM system. After dewaxing and hydration, antigen retrieval was mediated by high pressure in a citrate buffer (pH 6.0). Section was blocked with 10% normal goat serum 30min at RT. Then primary antibody (1% BSA) was incubated at 4°C overnight. The primary is detected by a Goat anti-rabbit polymer IgG labeled by HRP and visualized using 0.05% DAB. Secondary antibody only control: uses 1% BSA instead of primary antibody
-
-
其他:
產品詳情
-
產品名稱:Rabbit anti-Homo sapiens (Human) RMND1 Polyclonal antibody
-
Uniprot No.:
-
基因名:RMND1
-
別名:bA351K16 antibody; bA351K16.3 antibody; C6orf96 antibody; chromosome 6 open reading frame 96 antibody; FLJ20627 antibody; MGC117362 antibody; MGC149570 antibody; MGC882602 antibody; required for meiotic nuclear division 1 homolog (S. cerevisiae) antibody; Required for meiotic nuclear division protein 1 homolog antibody; Rmnd1 antibody; RMND1_HUMAN antibody
-
宿主:Rabbit
-
反應種屬:Human
-
免疫原:Recombinant Human Required for meiotic nuclear division protein 1 homolog protein (35-160AA)
-
免疫原種屬:Homo sapiens (Human)
-
標記方式:Non-conjugated
本頁面中的產品,RMND1 Antibody (CSB-PA882123LA01HU),的標記方式是Non-conjugated。對于RMND1 Antibody,我們還提供其他標記。見下表:
-
克隆類型:Polyclonal
-
抗體亞型:IgG
-
純化方式:>95%, Protein G purified
-
濃度:It differs from different batches. Please contact us to confirm it.
-
保存緩沖液:Preservative: 0.03% Proclin 300
Constituents: 50% Glycerol, 0.01M PBS, pH 7.4 -
產品提供形式:Liquid
-
應用范圍:ELISA, WB, IHC
-
推薦稀釋比:
Application Recommended Dilution WB 1:500-1:5000 IHC 1:20-1:200 -
Protocols:
-
儲存條件:Upon receipt, store at -20°C or -80°C. Avoid repeated freeze.
-
貨期:Basically, we can dispatch the products out in 1-3 working days after receiving your orders. Delivery time maybe differs from different purchasing way or location, please kindly consult your local distributors for specific delivery time.
-
用途:For Research Use Only. Not for use in diagnostic or therapeutic procedures.
相關產品
靶點詳情
-
功能:Required for mitochondrial translation, possibly by coordinating the assembly or maintenance of the mitochondrial ribosome.
-
基因功能參考文獻:
- Hearing impairment and renal failure are associated with RMND1 mutations. PMID: 26395190
- Expression of ESR1, RMND1 and CCDC170 associated with variants in separate enhancer elements predisposing breast cancer. [meta-analysis] PMID: 26928228
- Results demonstrate that the RMND1 complex is necessary for mitochondrial translation, possibly by coordinating the assembly or maintenance of the mitochondrial ribosome. PMID: 23022098
- The RMND1 mutation caused haploinsufficiency that was rescued by overexpression of the wild-type transcript in mutant fibroblasts; this overexpression increased the levels and activities of mitochondrial respiratory-chain proteins. PMID: 23022099
-
相關疾病:Combined oxidative phosphorylation deficiency 11 (COXPD11)
-
亞細胞定位:Mitochondrion.
-
蛋白家族:RMD1/sif2 family
-
數據庫鏈接:
Most popular with customers
-
-
YWHAB Recombinant Monoclonal Antibody
Applications: ELISA, WB, IHC, IF, FC
Species Reactivity: Human, Mouse, Rat
-
Phospho-YAP1 (S127) Recombinant Monoclonal Antibody
Applications: ELISA, WB, IHC
Species Reactivity: Human
-
-
-
-
-















