RICTOR Antibody
-
中文名稱:RICTOR兔多克隆抗體
-
貨號:CSB-PA917257
-
規格:¥1100
-
圖片:
-
The image on the left is immunohistochemistry of paraffin-embedded Human thyroid cancer tissue using CSB-PA917257(RICTOR Antibody) at dilution 1/50, on the right is treated with fusion protein. (Original magnification: ×200)
-
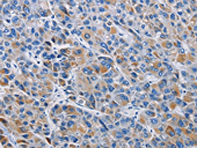
The image on the left is immunohistochemistry of paraffin-embedded Human liver cancer tissue using CSB-PA917257(RICTOR Antibody) at dilution 1/50, on the right is treated with fusion protein. (Original magnification: ×200)
-
-
其他:
產品詳情
-
Uniprot No.:
-
基因名:
-
別名:AVO3 antibody; AVO3 homolog antibody; DKFZp686B11164 antibody; hAVO3 antibody; KIAA1999 antibody; Likely ortholog of mouse TORC2 specific protein AVO3 (S. cerevisiae) antibody; mAVO3 antibody; MGC39830 antibody; PIA antibody; Pianissimo antibody; Rapamycin insensitive companion of mTOR antibody; Rapamycin-insensitive companion of mTOR antibody; Rictor antibody; RICTR antibody; RICTR_HUMAN antibody; RPTOR independent companion of MTOR complex 2 antibody; TORC2 specific protein AVO3 antibody
-
宿主:Rabbit
-
反應種屬:Human,Mouse
-
免疫原:Fusion protein of Human RICTOR
-
免疫原種屬:Homo sapiens (Human)
-
標記方式:Non-conjugated
-
抗體亞型:IgG
-
純化方式:Antigen affinity purification
-
濃度:It differs from different batches. Please contact us to confirm it.
-
保存緩沖液:-20°C, pH7.4 PBS, 0.05% NaN3, 40% Glycerol
-
產品提供形式:Liquid
-
應用范圍:ELISA,IHC
-
推薦稀釋比:
Application Recommended Dilution ELISA 1:1000-1:5000 IHC 1:25-1:200 -
Protocols:
-
儲存條件:Upon receipt, store at -20°C or -80°C. Avoid repeated freeze.
-
貨期:Basically, we can dispatch the products out in 1-3 working days after receiving your orders. Delivery time maybe differs from different purchasing way or location, please kindly consult your local distributors for specific delivery time.
-
用途:For Research Use Only. Not for use in diagnostic or therapeutic procedures.
相關產品
靶點詳情
-
功能:Subunit of mTORC2, which regulates cell growth and survival in response to hormonal signals. mTORC2 is activated by growth factors, but, in contrast to mTORC1, seems to be nutrient-insensitive. mTORC2 seems to function upstream of Rho GTPases to regulate the actin cytoskeleton, probably by activating one or more Rho-type guanine nucleotide exchange factors. mTORC2 promotes the serum-induced formation of stress-fibers or F-actin. mTORC2 plays a critical role in AKT1 'Ser-473' phosphorylation, which may facilitate the phosphorylation of the activation loop of AKT1 on 'Thr-308' by PDK1 which is a prerequisite for full activation. mTORC2 regulates the phosphorylation of SGK1 at 'Ser-422'. mTORC2 also modulates the phosphorylation of PRKCA on 'Ser-657'. Plays an essential role in embryonic growth and development.
-
基因功能參考文獻:
- Rictor striatal levels could counteract neuronal dysfunction induced by mutant huntingtin. PMID: 29460266
- High Rictor expression is associated with gastric cancer. PMID: 29328491
- Down-regulation of miR-142-3p inhibited ECs apoptosis and atherosclerotic development by up-regulating the expression of Rictor and activating the Akt/eNOS signaling pathway. PMID: 29949787
- Rictor regulates the vasculogenic mimicry of melanoma and determines the patients' survival via the AKT-MMP2-MMP9 pathway. PMID: 28699701
- Autophagy regulates c-MET phosphorylation via an mTORC2-dependent mechanism. PMID: 28475179
- Tumor-suppressive microRNA-218 inhibits tumor angiogenesis through RICTOR/VEGFA axis in prostate tumor cells. PMID: 28030804
- Results find RICTOR frequently amplified in small cell lung cancer (SCLC) tumors and associated with decreased survival. PMID: 27863413
- Study examined mTOR variables, with attention to mTORC2 (Rictor), in Alzheimer's disease (AD) brain samples and in two mouse models, and made comparisons with results from cell- and in vitro-based experiments where Abeta is either expressed or peptide added. Authors conclude that striking a new balance by restoring mTORC2 abundance and/or inhibition of mTORC1 has therapeutic potential in AD. PMID: 28035937
- Missense mutation in RICTOR gene is associated with Tourette syndrome. PMID: 28608572
- RICTOR amplification is a rare but therapeutically relevant genomic alteration across solid tumors. Our results support further pre-clinical and clinical investigation with AZD2014 in RICTOR amplified gastric cancer and highlights the importance of genomic profiling PMID: 28028034
- miR-153 downregulation could be one important reason of Rictor upregulation and mTORC2 over-activation in glioma cells. Further, miR-153-induced anti-glioma cell activity is possibly via downregulating Rictor. PMID: 27295037
- These results point to an increase in total and phosphorylated Akt in high-grade gliomas and to a possible role of RICTOR in proliferations of high-grade glioblastomas cells. PMID: 27789731
- Hgh mTOR activity and Rictor overexpression could be markers of a bad prognosis. Combined phosphoprotein and Rictor/Raptor expression evaluation revealed even stronger statistical correlation with prognosis. PMID: 27729429
- In this study we began by validating the expression of four main mTOR pathway components, mTOR, DEPTOR, rictor and raptor, at gene and protein level in in vitro models of endometrioid (MDAH2774) and clear cell (SKOV3) ovarian cancer PMID: 27211906
- Based on univariate and multivariate Cox proportional hazards regression analysis, RICTOR-positive expression, AJCC staging III or IV and nodal metastasis are prognostic factors and the former two are independent risk factors for esophageal squamous cell carcinoma. PMID: 28132115
- Taken together, our results suggest that the proinflammatory cytokine TNFalpha promotes the expression of Rictor through the NF-kappaB pathway in renal cell carcinoma. PMID: 26500094
- RICTOR amplification may define a novel and unique molecular subset of patients with lung cancer who may benefit from treatment with mTORC1/2 inhibitors. PMID: 26370156
- Data show that rapamycin-insensitive companion of mTOR protein (RICTOR) plays a central role in phosphatidylinositol 3-kinase (PI3K)/proto-oncogene protein c-akt (AKT) pathway in melanocytes and its deregulation could be involved in melanoma development. PMID: 26356562
- Mdm20 acts as a novel regulator of Rictor, thereby controlling mTORC2 activity, and leading to the activation of PKCalphaS657 and FoxO1. PMID: 26600389
- RICTOR/MTORC2-AKT can integrate convergent hormonal and metabolic signals to provide coordinated and sensitive regulation of hepatic FOXO1-target gene expression. PMID: 26453307
- the expressions of Beclin1, Raptor, and Rictor are related to the development and progression of colorectal carcinoma and multidrug resistance. PMID: 26363527
- A new dimension in mTOR-rictor relationship. PMID: 25893736
- phosphorylation of Rictor at Ser1162 by Plk1 might be involved in a novel signaling pathway. PMID: 25714006
- results suggest that mTORC2/Rictor/pAkt may play a more important role than mTORC1/pS6 in tumor progression, which could act as a prognostic biomarker or potential therapeutic target in gastric cancer PMID: 26159923
- glucose-dependent acetylation of Rictor, a central component of mechanistic target of rapamycin complex 2 (mTORC2), promotes tumor growth and resistance to epidermal growth factor receptor (EGFR)-, PI3K-, and AKT-targeted therapies PMID: 26170313
- analysis of how Rictor undergoes GSK3-dependent, FBXW7-mediated ubiquitination and proteasomal degradation PMID: 25897075
- these data provide evidence that rictor is a multifunctional signaling regulator that can regulate FcepsilonRI-mediated degranulation independently of mTORC2. PMID: 25378594
- Rictor is an independent prognostic factor for endometrial carcinoma. PMID: 24966915
- Rictor contributes to cisplatin resistance in human ovarian cancer cells by suppressing cisplatin-induced apoptosis and by activating and stabilizing Akt. PMID: 24086535
- Data indicate mTOR kinase-independent function and mechanism of Rictor in the regulation of neutrophil chemotaxis, and suggest that the small Rho GTPases Rac and Cdc42 serve as downstream effectors of Rictor to regulate actin assembly. PMID: 24006489
- These data provide a novel mechanistic link of Nox4-dependent activation of mTORC2 via the energy sensor AMP-activated protein kinase to increased proliferation and survival of PAVSMCs in pulmonary artery hypertension. PMID: 24270265
- IKK interacts with rictor and regulates the function of mTORC2 including phosphorylation of AKT (at Serine473) and organization of actin cytoskeleton. PMID: 23872070
- The expression of Raptor was associated with a higher tumour grade. PMID: 23503572
- NBS1 interacts with the mTOR/Rictor/SIN1 complex through the a.a. 221-402 domain and contributes to the activation of Akt activity. PMID: 23762398
- combined silencing of EGFR and Rictor should be an effective means of treating glioblastoma PMID: 23555046
- Histolopathological and clinical information including tumour stage, invasion characteristic and endocrine status were analysed against the gene transcript expression of mTOR, RAPTOR and RICTOR. PMID: 23898069
- Rictor by suppressing RhoGDI2 promotes activity of the Rho proteins and cell migration. PMID: 22777355
- High rictor expression is associated with hemangioendothelioma. PMID: 23067215
- Reduced mTORC2 activity impairs both long-term memory and the late phase of hippocampal long-term potentiation. PMID: 23455608
- analysis of the role of RICTOR in beta1 integrin-mediated cell survival and how receptor-specific mechanisms regulate phosphorylation of AKT at Ser473 PMID: 22384145
- RICTOR overexpression in sarcomas and its links to therapeutic response need to be assessed PMID: 22080063
- multiple-site acetylation of Rictor signals for increased activation of mTORC2, providing a critical link between nutrient-sensitive deacetylases and mTORC2 signaling to Akt PMID: 22084251
- these results suggest that elevated growth factor signaling may contribute to decrease rictor/FBXW7-mediated ubiquitination of c-Myc and cyclin E, thus leading to accumulation of cyclin E and c-Myc in colorectal cancer cells. PMID: 22285861
- Rictor is a novel target of miR-218, suggesting that activation of the mTOR-Akt signaling pathway induced by Rictor contributes centrally to oral carcinogenesis. PMID: 21795477
- in response to cellular stress, GSK-3beta restrains mTORC2-Akt signaling by specifically phosphorylating rictor, thereby balancing the activities of GSK-3beta and Akt, two opposing players in glucose metabolism PMID: 21343617
- PINK1 exerts its cytoprotective function not only in mitochondria but also in the cytoplasm through activation of mTORC2 PMID: 21177249
- Fndings identify Rictor as an important mediator of chemotaxis and metastasis in breast cancer cells. PMID: 20978191
- Rictor phosphorylation takes place in mammalian target of rapamycin (mTORC)2-deficient cells; this modification may play a role in regulating not only mTORC2 but also the mTORC2-independent function of rictor. PMID: 20501647
- There is an increased mitochondrial dependence upon mTORC2 dependent cell growth due to PTEN loss PMID: 21170086
- there are two parallel cell-survival pathways in prostate cancer cells: a strong Akt-independent, but rapamycin-sensitive pathway downstream of mTORC1, and an AR-dependent pathway downstream of mTORC2 and Akt, that is stimulated by mTORC1 inhibition PMID: 18776922
顯示更多
收起更多
-
蛋白家族:RICTOR family
-
數據庫鏈接:
Most popular with customers
-
-
YWHAB Recombinant Monoclonal Antibody
Applications: ELISA, WB, IHC, IF, FC
Species Reactivity: Human, Mouse, Rat
-
Phospho-YAP1 (S127) Recombinant Monoclonal Antibody
Applications: ELISA, WB, IHC
Species Reactivity: Human
-
-
-
-
-















