RHOT2 Antibody
-
中文名稱:RHOT2兔多克隆抗體
-
貨號:CSB-PA810289LA01HU
-
規格:¥440
-
圖片:
-
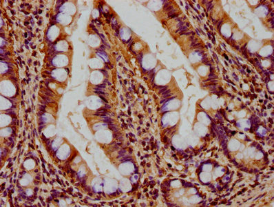
IHC image of CSB-PA810289LA01HU diluted at 1:400 and staining in paraffin-embedded human small intestine tissue performed on a Leica BondTM system. After dewaxing and hydration, antigen retrieval was mediated by high pressure in a citrate buffer (pH 6.0). Section was blocked with 10% normal goat serum 30min at RT. Then primary antibody (1% BSA) was incubated at 4°C overnight. The primary is detected by a biotinylated secondary antibody and visualized using an HRP conjugated SP system.
-
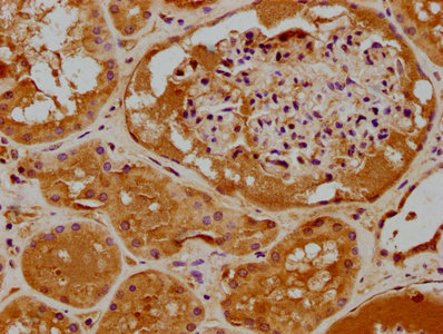
IHC image of CSB-PA810289LA01HU diluted at 1:400 and staining in paraffin-embedded human kidney tissue performed on a Leica BondTM system. After dewaxing and hydration, antigen retrieval was mediated by high pressure in a citrate buffer (pH 6.0). Section was blocked with 10% normal goat serum 30min at RT. Then primary antibody (1% BSA) was incubated at 4°C overnight. The primary is detected by a biotinylated secondary antibody and visualized using an HRP conjugated SP system.
-
-
其他:
產品詳情
-
產品名稱:Rabbit anti-Homo sapiens (Human) RHOT2 Polyclonal antibody
-
Uniprot No.:
-
基因名:
-
別名:ARHT2 antibody; C16orf39 antibody; hMiro 2 antibody; hMiro-2 antibody; hMiro2 antibody; MIRO-2 antibody; MIRO2_HUMAN antibody; Mitochondrial Rho GTPase 2 antibody; Ras homolog gene family member T2 antibody; RASL antibody; RHOT2 antibody
-
宿主:Rabbit
-
反應種屬:Human
-
免疫原:Recombinant Human Mitochondrial Rho GTPase 2 protein (84-300AA)
-
免疫原種屬:Homo sapiens (Human)
-
標記方式:Non-conjugated
本頁面中的產品,RHOT2 Antibody (CSB-PA810289LA01HU),的標記方式是Non-conjugated。對于RHOT2 Antibody,我們還提供其他標記。見下表:
-
克隆類型:Polyclonal
-
抗體亞型:IgG
-
純化方式:>95%, Protein G purified
-
濃度:It differs from different batches. Please contact us to confirm it.
-
保存緩沖液:Preservative: 0.03% Proclin 300
Constituents: 50% Glycerol, 0.01M PBS, pH 7.4 -
產品提供形式:Liquid
-
應用范圍:ELISA, IHC
-
推薦稀釋比:
Application Recommended Dilution IHC 1:200-1:500 -
Protocols:
-
儲存條件:Upon receipt, store at -20°C or -80°C. Avoid repeated freeze.
-
貨期:Basically, we can dispatch the products out in 1-3 working days after receiving your orders. Delivery time maybe differs from different purchasing way or location, please kindly consult your local distributors for specific delivery time.
-
用途:For Research Use Only. Not for use in diagnostic or therapeutic procedures.
相關產品
靶點詳情
-
功能:Mitochondrial GTPase involved in mitochondrial trafficking. Probably involved in control of anterograde transport of mitochondria and their subcellular distribution.
-
基因功能參考文獻:
- The Miro2-mediated mitochondrial transport in neurons and recently highlighted involvement of Miro2 proteins in mitochondrial turnover, emerging as a key process affected in neurodegeneration. PMID: 24256248
- Miro proteins serve as a [Ca(2+)](c)-sensitive switch and bifunctional regulator for both the motility and fusion-fission dynamics of the mitochondria. PMID: 19098100
-
亞細胞定位:Mitochondrion outer membrane; Single-pass type IV membrane protein. Note=Colocalizes with MGARP and RHOT2 at the mitochondria.
-
蛋白家族:Mitochondrial Rho GTPase family
-
組織特異性:Ubiquitously expressed. Highly expressed in heart, liver, skeletal muscle, kidney and pancreas.
-
數據庫鏈接:
Most popular with customers
-
-
YWHAB Recombinant Monoclonal Antibody
Applications: ELISA, WB, IHC, IF, FC
Species Reactivity: Human, Mouse, Rat
-
Phospho-YAP1 (S127) Recombinant Monoclonal Antibody
Applications: ELISA, WB, IHC
Species Reactivity: Human
-
-
-
-
-















