RHBDF2 Antibody
-
中文名稱:RHBDF2兔多克隆抗體
-
貨號:CSB-PA744137LA11HU
-
規格:¥440
-
圖片:
-
IHC image of CSB-PA744137LA11HU diluted at 1:200 and staining in paraffin-embedded human colon cancer performed on a Leica BondTM system. After dewaxing and hydration, antigen retrieval was mediated by high pressure in a citrate buffer (pH 6.0). Section was blocked with 10% normal goat serum 30min at RT. Then primary antibody (1% BSA) was incubated at 4°C overnight. The primary is detected by a Goat anti-rabbit polymer IgG labeled by HRP and visualized using 0.05% DAB.
-
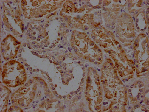
IHC image of CSB-PA744137LA11HU diluted at 1:200 and staining in paraffin-embedded human kidney tissue performed on a Leica BondTM system. After dewaxing and hydration, antigen retrieval was mediated by high pressure in a citrate buffer (pH 6.0). Section was blocked with 10% normal goat serum 30min at RT. Then primary antibody (1% BSA) was incubated at 4°C overnight. The primary is detected by a Goat anti-rabbit polymer IgG labeled by HRP and visualized using 0.05% DAB.
-
-
其他:
產品詳情
-
產品名稱:Rabbit anti-Homo sapiens (Human) RHBDF2 Polyclonal antibody
-
Uniprot No.:
-
基因名:
-
別名:Inactive rhomboid protein 2 (iRhom2) (Rhomboid 5 homolog 2) (Rhomboid family member 2) (Rhomboid veinlet-like protein 5) (Rhomboid veinlet-like protein 6), RHBDF2, IRHOM2 RHBDL5 RHBDL6
-
宿主:Rabbit
-
反應種屬:Human
-
免疫原:Recombinant Human Inactive rhomboid protein 2 protein (1-200aa)
-
免疫原種屬:Homo sapiens (Human)
-
標記方式:Non-conjugated
本頁面中的產品,RHBDF2 Antibody (CSB-PA744137LA11HU),的標記方式是Non-conjugated。對于RHBDF2 Antibody,我們還提供其他標記。見下表:
-
克隆類型:Polyclonal
-
抗體亞型:IgG
-
純化方式:>95%, Protein G purified
-
濃度:It differs from different batches. Please contact us to confirm it.
-
保存緩沖液:Preservative: 0.03% Proclin 300
Constituents: 50% Glycerol, 0.01M PBS, pH 7.4 -
產品提供形式:Liquid
-
應用范圍:ELISA, IHC
-
推薦稀釋比:
Application Recommended Dilution IHC 1:100-1:500 -
Protocols:
-
儲存條件:Upon receipt, store at -20°C or -80°C. Avoid repeated freeze.
-
貨期:Basically, we can dispatch the products out in 1-3 working days after receiving your orders. Delivery time maybe differs from different purchasing way or location, please kindly consult your local distributors for specific delivery time.
-
用途:For Research Use Only. Not for use in diagnostic or therapeutic procedures.
相關產品
靶點詳情
-
功能:Regulates ADAM17 protease, a sheddase of the epidermal growth factor (EGF) receptor ligands and TNF, thereby plays a role in sleep, cell survival, proliferation, migration and inflammation. Does not exhibit any protease activity on its own.
-
基因功能參考文獻:
- Study identified iRHOM2 as a novel regulator of K16 in humans and mice, with important implications for palmoplantar keratodermas, wound healing, inflammatory skin disease and cancers. PMID: 28128203
- Uev1A-Ubc13 complex catalyzes lysine63-linked ubiquitination of RHBDF2 to promote TACE maturation. PMID: 29069608
- The iRhom2 N-terminus stabilizes mature ADAM17 at the cell surface where it cleaves TNF and EGFR in inflammatory and innate immune responses. (Review) PMID: 28815577
- Tylosis with oesophageal cancer-associated mutations in iRHOM2 cause an increase in the maturation and activity of ADAM17 in epidermal keratinocytes. PMID: 24643277
- Our analyses suggest that these DNA methylation changes may have a role in the onset of Alzheimer disease given that we observed them in presymptomatic subjects and that six of the validated genes connect to a known susceptibility gene network. PMID: 25129075
- Identification of a new missense mutation, p.Asp188Asn, segregating with tylosis with esophageal cancer in a Finnish family, and interestingly the detected mutation alters a codon located between the two previously reported mutation sites. PMID: 22638770
- RHBDF2 and CYGB may play distinctive roles in ovarian cancer and could be added to the growing roster of chromosome 17 genes implicated in this disease. PMID: 22344671
- The distribution of RHBDF2 in tylotic skin is altered in comparison with that in normal skin. PMID: 22265016
顯示更多
收起更多
-
相關疾病:Tylosis with esophageal cancer (TOC)
-
亞細胞定位:Endoplasmic reticulum membrane; Multi-pass membrane protein. Cell membrane.
-
蛋白家族:Peptidase S54 family
-
組織特異性:Found in the epidermis and esophageal epithelium.
-
數據庫鏈接:
Most popular with customers
-
YWHAB Recombinant Monoclonal Antibody
Applications: ELISA, WB, IHC, IF, FC
Species Reactivity: Human, Mouse, Rat
-
Phospho-YAP1 (S127) Recombinant Monoclonal Antibody
Applications: ELISA, WB, IHC
Species Reactivity: Human
-
-
-
-
-
-















