RGMA Antibody
-
中文名稱:RGMA兔多克隆抗體
-
貨號:CSB-PA836186LA01HU
-
規格:¥440
-
圖片:
-
Western Blot
All lanes: RGMA antibody at 12µg/ml
Lane 1: Mouse brain tissue
Lane 2: Hela whole cell lysate
Secondary
Goat polyclonal to rabbit IgG at 1/10000 dilution
Predicted band size: 50, 48, 51 kDa
Observed band size: 50 kDa -
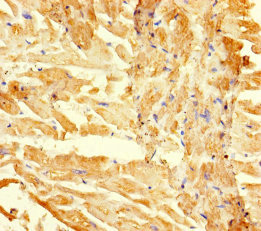
Immunohistochemistry of paraffin-embedded human heart tissue using CSB-PA836186LA01HU at dilution of 1:100
-
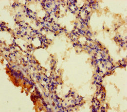
Immunohistochemistry of paraffin-embedded human lung tissue using CSB-PA836186LA01HU at dilution of 1:100
-
-
其他:
產品詳情
-
產品名稱:Rabbit anti-Homo sapiens (Human) RGMA Polyclonal antibody
-
Uniprot No.:
-
基因名:
-
別名:Repulsive guidance molecule A antibody; RGM antibody; RGM domain family member A antibody; RGMA antibody; RGMA_HUMAN antibody
-
宿主:Rabbit
-
反應種屬:Human, Mouse
-
免疫原:Recombinant Human Repulsive guidance molecule A protein (153-408AA)
-
免疫原種屬:Homo sapiens (Human)
-
標記方式:Non-conjugated
本頁面中的產品,RGMA Antibody (CSB-PA836186LA01HU),的標記方式是Non-conjugated。對于RGMA Antibody,我們還提供其他標記。見下表:
-
克隆類型:Polyclonal
-
抗體亞型:IgG
-
純化方式:>95%, Protein G purified
-
濃度:It differs from different batches. Please contact us to confirm it.
-
保存緩沖液:Preservative: 0.03% Proclin 300
Constituents: 50% Glycerol, 0.01M PBS, PH 7.4 -
產品提供形式:Liquid
-
應用范圍:ELISA, WB, IHC
-
推薦稀釋比:
Application Recommended Dilution WB 1:1000-1:5000 IHC 1:20-1:200 -
Protocols:
-
儲存條件:Upon receipt, store at -20°C or -80°C. Avoid repeated freeze.
-
貨期:Basically, we can dispatch the products out in 1-3 working days after receiving your orders. Delivery time maybe differs from different purchasing way or location, please kindly consult your local distributors for specific delivery time.
-
用途:For Research Use Only. Not for use in diagnostic or therapeutic procedures.
相關產品
靶點詳情
-
功能:Member of the repulsive guidance molecule (RGM) family that performs several functions in the developing and adult nervous system. Regulates cephalic neural tube closure, inhibits neurite outgrowth and cortical neuron branching, and the formation of mature synapses. Binding to its receptor NEO1/neogenin induces activation of RHOA-ROCK1/Rho-kinase signaling pathway through UNC5B-ARHGEF12/LARG-PTK2/FAK1 cascade, leading to collapse of the neuronal growth cone and neurite outgrowth inhibition. Furthermore, RGMA binding to NEO1/neogenin leads to HRAS inactivation by influencing HRAS-PTK2/FAK1-AKT1 pathway. It also functions as a bone morphogenetic protein (BMP) coreceptor that may signal through SMAD1, SMAD5, and SMAD8.
-
基因功能參考文獻:
- Dysregulation of RGMa plays an important role in the pathology of Parkinson's disease. PMID: 28842419
- Thus, we conclude that RGMa inhibits angiogenesis in vitro and in vivo suggesting that its manipulation would be an efficient therapeutic strategy for pro-angiogenic conditions. PMID: 26721439
- RGMa expression and promoter methylation status are closely related to colorectal cancer genesis and progression. PMID: 22367090
- identification of neogenin-binding site on the repulsive guidance molecule A PMID: 22396795
- The expression of RGMA, RGMB and RGMC was evident in most examined prostate cancer cell lines, and also in the prostate cancer tissues PMID: 22076499
- Reduced expression of RGMA in breast cancer was associated with breast cancer. PMID: 21617229
- The full-length signal peptides of RGMa is functional and furthermore that the C-domains are sufficient and essential for ER targeting, whereas the N-domains are dispensable. Thus, the N-domains are available for additional functions. PMID: 21183991
- RGM-A is a unique endogenous inhibitor of leukocyte chemotaxis that limits inflammatory leukocyte traffic PMID: 21467223
- Following central nervous system injury, RGM, a novel, potent axonal growth inhibitor, is present in axonal growth impediments: the mature myelin, choroid plexus, and components of the developing scar. PMID: 16216939
- RGMa facilitates the use of ActRIIA by endogenous BMP2 and BMP4 ligands that otherwise prefer signaling via BMPRII and increased utilization of ActRIIA leads to generation of an enhanced BMP signal PMID: 17472960
- detected a homozygous deletion of chromosomal region 15q26.2 in the cell line HDLM2 encompasing RGMA and CHD2 PMID: 17606441
- this study, we show that Unc5B, a member of the netrin receptor family, interacts with neogenin as a coreceptor for RGMa. PMID: 19273616
- Frequent inactivation of axon guidance molecule RGMA in human colon cancer through genetic and epigenetic mechanisms. PMID: 19303019
顯示更多
收起更多
-
亞細胞定位:Cell membrane; Lipid-anchor, GPI-anchor.
-
蛋白家族:Repulsive guidance molecule (RGM) family
-
數據庫鏈接:
Most popular with customers
-
-
YWHAB Recombinant Monoclonal Antibody
Applications: ELISA, WB, IHC, IF, FC
Species Reactivity: Human, Mouse, Rat
-
Phospho-YAP1 (S127) Recombinant Monoclonal Antibody
Applications: ELISA, WB, IHC
Species Reactivity: Human
-
-
-
-
-















