RFFL Antibody
-
中文名稱:RFFL兔多克隆抗體
-
貨號:CSB-PA848846DSR1HU
-
規格:¥440
-
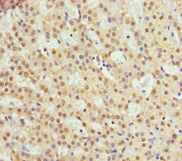
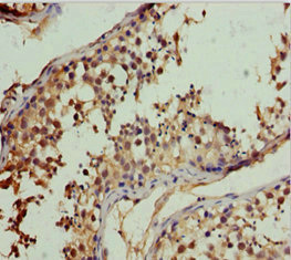
圖片:
-
其他:
產品詳情
-
產品名稱:Rabbit anti-Homo sapiens (Human) RFFL Polyclonal antibody
-
Uniprot No.:
-
基因名:RFFL
-
別名:CARP-2 antibody; CARP2 antibody; Caspase regulator CARP2 antibody; Caspases 8 and 10 associated RING finger protein 2 antibody; caspases-8 and -10- associated RING finger protein 2 antibody; Caspases-8 and -10-associated RING finger protein 2 antibody; E3 ubiquitin protein ligase rififylin antibody; E3 ubiquitin-protein ligase rififylin antibody; Fring antibody; FYVE RING finger protein Sakura antibody; FYVE-RING finger protein Sakura antibody; Rffl antibody; RFFL_HUMAN antibody; Rififylin antibody; RING finger and FYVE like domain containing protein antibody; RING finger and FYVE-like domain-containing protein 1 antibody; RING finger protein 189 antibody; RING finger protein 34 like antibody; RING finger protein 34-like antibody; RNF189 antibody; RNF34L antibody
-
宿主:Rabbit
-
反應種屬:Human
-
免疫原:Recombinant Human E3 ubiquitin-protein ligase rififylin protein (1-190AA)
-
免疫原種屬:Homo sapiens (Human)
-
標記方式:Non-conjugated
-
克隆類型:Polyclonal
-
抗體亞型:IgG
-
純化方式:Antigen Affinity Purified
-
濃度:It differs from different batches. Please contact us to confirm it.
-
保存緩沖液:PBS with 0.02% sodium azide, 50% glycerol, pH7.3.
-
產品提供形式:Liquid
-
應用范圍:ELISA, IHC
-
推薦稀釋比:
Application Recommended Dilution IHC 1:20-1:200 -
Protocols:
-
儲存條件:Upon receipt, store at -20°C or -80°C. Avoid repeated freeze.
-
貨期:Basically, we can dispatch the products out in 1-3 working days after receiving your orders. Delivery time maybe differs from different purchasing way or location, please kindly consult your local distributors for specific delivery time.
-
用途:For Research Use Only. Not for use in diagnostic or therapeutic procedures.
相關產品
靶點詳情
-
功能:E3 ubiquitin-protein ligase that regulates several biological processes through the ubiquitin-mediated proteasomal degradation of various target proteins. Mediates 'Lys-48'-linked polyubiquitination of PRR5L and its subsequent proteasomal degradation thereby indirectly regulating cell migration through the mTORC2 complex. Ubiquitinates the caspases CASP8 and CASP10, promoting their proteasomal degradation, to negatively regulate cell death downstream of death domain receptors in the extrinsic pathway of apoptosis. Negatively regulates the tumor necrosis factor-mediated signaling pathway through targeting of RIPK1 to ubiquitin-mediated proteasomal degradation. Negatively regulates p53/TP53 through its direct ubiquitination and targeting to proteasomal degradation. Indirectly, may also negatively regulate p53/TP53 through ubiquitination and degradation of SFN. May also play a role in endocytic recycling.
-
基因功能參考文獻:
- it is interesting to note that a human lncRNA does exist within the 5'-UTR intronic region of the human RFFL gene . Given the rat data, our study may serve as a translational foundation for considering this human lncRNA as a candidate regulator for cardiovascular diseases. PMID: 28827789
- EGF, which signals through CRAF, and an activated BRAF mutant also activate PKC and stimulate cell migration through up-regulating RFFL expression. PMID: 24114843
- acts at the level of endocytic vesicles to limit the intensity of TNF-induced NF-kappaB activation by the regulated elimination of a necessary signaling component within the receptor complex PMID: 18450452
-
亞細胞定位:Cytoplasm, cytosol. Cell membrane; Peripheral membrane protein. Recycling endosome membrane; Peripheral membrane protein. Note=The FYVE-type zinc finger may mediate phosphatidylinositol phosphate-binding and control subcellular localization.
-
組織特異性:Ubiquitous. Detected in spleen, thymus, prostate, testis, ovary, small intestine, colon and peripheral blood leukocytes.
-
數據庫鏈接:
Most popular with customers
-
YWHAB Recombinant Monoclonal Antibody
Applications: ELISA, WB, IHC, IF, FC
Species Reactivity: Human, Mouse, Rat
-
Phospho-YAP1 (S127) Recombinant Monoclonal Antibody
Applications: ELISA, WB, IHC
Species Reactivity: Human
-
-
-
-
-
-
VCP Recombinant Monoclonal Antibody
Applications: ELISA, WB, IHC, IF, IP
Species Reactivity: Human, Rat















