RER1 Antibody
-
中文名稱:RER1兔多克隆抗體
-
貨號:CSB-PA019567LA01HU
-
規格:¥440
-
圖片:
-
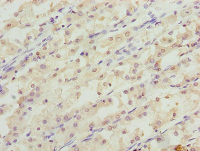
Immunohistochemistry of paraffin-embedded human gastric cancer using CSB-PA019567LA01HU at dilution of 1:100
-
Immunohistochemistry of paraffin-embedded human endometrial cancer using CSB-PA019567LA01HU at dilution of 1:100
-
Immunofluorescent analysis of 293T cells using CSB-PA019567LA01HU at dilution of 1:100 and Alexa Fluor 488-congugated AffiniPure Goat Anti-Rabbit IgG(H+L)
-
-
其他:
產品詳情
-
產品名稱:Rabbit anti-Homo sapiens (Human) RER1 Polyclonal antibody
-
Uniprot No.:
-
基因名:RER1
-
別名:RER1; Protein RER1
-
宿主:Rabbit
-
反應種屬:Human
-
免疫原:Recombinant Human Protein RER1 protein (85-139AA)
-
免疫原種屬:Homo sapiens (Human)
-
標記方式:Non-conjugated
本頁面中的產品,RER1 Antibody (CSB-PA019567LA01HU),的標記方式是Non-conjugated。對于RER1 Antibody,我們還提供其他標記。見下表:
-
克隆類型:Polyclonal
-
抗體亞型:IgG
-
純化方式:>95%, Protein G purified
-
濃度:It differs from different batches. Please contact us to confirm it.
-
保存緩沖液:Preservative: 0.03% Proclin 300
Constituents: 50% Glycerol, 0.01M PBS, PH 7.4 -
產品提供形式:Liquid
-
應用范圍:ELISA, IHC, IF
-
推薦稀釋比:
Application Recommended Dilution IHC 1:20-1:200 IF 1:50-1:200 -
Protocols:
-
儲存條件:Upon receipt, store at -20°C or -80°C. Avoid repeated freeze.
-
貨期:Basically, we can dispatch the products out in 1-3 working days after receiving your orders. Delivery time maybe differs from different purchasing way or location, please kindly consult your local distributors for specific delivery time.
-
用途:For Research Use Only. Not for use in diagnostic or therapeutic procedures.
相關產品
靶點詳情
-
功能:Involved in the retrieval of endoplasmic reticulum membrane proteins from the early Golgi compartment.
-
基因功能參考文獻:
- RER1 is a novel and potential important mediator of elevated alphaSyn levels PMID: 28877262
- Rer1p regulates the ER retention of immature or misfolded rhodopsin and modulates its intracellular trafficking through the early secretory pathway. PMID: 25096327
- Charcot-Marie-Tooth disease-related PMP22 is trapped in the endoplasmic reticulum by calnexin-dependent retention and Rer1-mediated early Golgi retrieval systems and partly degraded by the Hrd1-mediated endoplasmic reticulum-associated degradation system. PMID: 25385046
- Rer1p depletion reduced ciliary length and function by increasing gamma-secretase complex assembly and activity and, consequently, enhancing Notch signaling as well as reducing Foxj1a expression. PMID: 23479743
- Synoviolin up-regulates amyloid beta production by targeting a negative regulator of gamma-secretase, Rer1, for degradation. PMID: 23129766
- RER1 modulates amyloid-beta production by altering trafficking of gamma-secretase and amyloid precursor protein. PMID: 23043097
- Downregulation of Rer1 leads to increased surface localization of Pen2, whereas overexpression of Rer1 stabilizes unassembled Pen2. Rer1 is the first identified interaction partner of mammalian transmembrane-based retention/retrieval signals. PMID: 17668005
顯示更多
收起更多
-
亞細胞定位:Golgi apparatus membrane; Multi-pass membrane protein.
-
蛋白家族:RER1 family
-
數據庫鏈接:
Most popular with customers
-
-
YWHAB Recombinant Monoclonal Antibody
Applications: ELISA, WB, IHC, IF, FC
Species Reactivity: Human, Mouse, Rat
-
Phospho-YAP1 (S127) Recombinant Monoclonal Antibody
Applications: ELISA, WB, IHC
Species Reactivity: Human
-
-
-
-
-















