RDH11 Antibody
-
中文名稱:RDH11兔多克隆抗體
-
貨號:CSB-PA019523LA01HU
-
規格:¥440
-
圖片:
-
Western blot
All lanes: RDH11 antibody at 10µg/ml
Lane 1: PC-3 whole cell lysate
Lane 2: Hela whole cell lysate
Secondary
Goat polyclonal to rabbit IgG at 1/10000 dilution
Predicted band size: 36, 35, 28 kDa
Observed band size: 36 kDa -
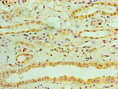
Immunohistochemistry of paraffin-embedded human kidney tissue using CSB-PA019523LA01HU at dilution of 1:100
-
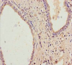
Immunohistochemistry of paraffin-embedded human prostate cancer using CSB-PA019523LA01HU at dilution of 1:100
-
-
其他:
產品詳情
-
產品名稱:Rabbit anti-Homo sapiens (Human) RDH11 Polyclonal antibody
-
Uniprot No.:
-
基因名:RDH11
-
別名:Androgen regulated short chain dehydrogenase/reductase 1 antibody; Androgen-regulated short-chain dehydrogenase/reductase 1 antibody; ARSDR1 antibody; AU045252 antibody; C85936 antibody; CGI 82 antibody; FLJ32633 antibody; HCBP12 antibody; HCV core binding protein antibody; HCV core binding protein HCBP12 antibody; HCV core-binding protein HCBP12 antibody; MDT1 antibody; Prostate short chain dehydrogenase/reductase 1 antibody; Prostate short-chain dehydrogenase/reductase 1 antibody; PSDR1 antibody; RALR1 antibody; RDH11 antibody; RDH11_HUMAN antibody; Retinal reductase 1 antibody; retinol dehydrogenase 11 (all trans/9 cis/11 cis) antibody; Retinol dehydrogenase 11 antibody; SCALD antibody; SDR7C1 antibody; Short chain dehydrogenase/reductase family 7C; member 1 antibody
-
宿主:Rabbit
-
反應種屬:Human
-
免疫原:Recombinant Human Retinol dehydrogenase 11 protein (22-318AA)
-
免疫原種屬:Homo sapiens (Human)
-
標記方式:Non-conjugated
本頁面中的產品,RDH11 Antibody (CSB-PA019523LA01HU),的標記方式是Non-conjugated。對于RDH11 Antibody,我們還提供其他標記。見下表:
-
克隆類型:Polyclonal
-
抗體亞型:IgG
-
純化方式:>95%, Protein G purified
-
濃度:It differs from different batches. Please contact us to confirm it.
-
保存緩沖液:Preservative: 0.03% Proclin 300
Constituents: 50% Glycerol, 0.01M PBS, PH 7.4 -
產品提供形式:Liquid
-
應用范圍:ELISA, WB, IHC
-
推薦稀釋比:
Application Recommended Dilution WB 1:1000-1:5000 IHC 1:20-1:200 -
Protocols:
-
儲存條件:Upon receipt, store at -20°C or -80°C. Avoid repeated freeze.
-
貨期:Basically, we can dispatch the products out in 1-3 working days after receiving your orders. Delivery time maybe differs from different purchasing way or location, please kindly consult your local distributors for specific delivery time.
-
用途:For Research Use Only. Not for use in diagnostic or therapeutic procedures.
相關產品
靶點詳情
-
功能:Retinol dehydrogenase with a clear preference for NADP. Displays high activity towards 9-cis, 11-cis and all-trans-retinol, and to a lesser extent on 13-cis-retinol. Exhibits a low reductive activity towards unsaturated medium-chain aldehydes such as cis -6-nonenal and no activity toward nonanal or 4-hydroxy-nonenal. Has no dehydrogenase activity towards steroid.
-
基因功能參考文獻:
- Data suggest that membrane anchoring of retinol dehydrogenase 11 (RDH11) is likely driven by its N-terminal segment. PMID: 25542782
- Data indicate that ribosomal protein L11 (RPL11)-expressing cells proliferated more rapidly than the ribosomal protein L11 (RPL11)-expressing cells. PMID: 25829192
- deleterious mutations in RDH11, an important enzyme for vision-related and systemic retinoic acid metabolism, cause a new syndrome with RP. PMID: 24916380
- Prostate short-chain dehydrogenase/reductase (PSDR1) encodes a novel retinal reductase (RalR1). PMID: 12036956
- The core protein of HCV can interact with translin protein. This can partly explain the molecular mechanism for hepatocellular carcinoma and lymphoma caused by HCV. PMID: 12532453
- Expression pattern and high catalytic efficiency of RalR1 are consistent with the hypothesis that RalR1 contributes to the reduction of retinal in various human tissues. PMID: 14674758
- RDH11 localizes to photoreceptor inner segments [review] PMID: 17249616
顯示更多
收起更多
-
相關疾病:Retinal dystrophy, juvenile cataracts, and short stature syndrome (RDJCSS)
-
亞細胞定位:Endoplasmic reticulum membrane; Single-pass type II membrane protein.
-
蛋白家族:Short-chain dehydrogenases/reductases (SDR) family
-
組織特異性:Predominantly expressed in the epithelial cells of prostate, in both basal and luminal secretory cell populations. Expressed at low levels in spleen, thymus, testis, ovary, small intestine, colon, peripherical blood leukocytes, kidney, adrenal gland and f
-
數據庫鏈接:
Most popular with customers
-
-
YWHAB Recombinant Monoclonal Antibody
Applications: ELISA, WB, IHC, IF, FC
Species Reactivity: Human, Mouse, Rat
-
Phospho-YAP1 (S127) Recombinant Monoclonal Antibody
Applications: ELISA, WB, IHC
Species Reactivity: Human
-
-
-
-
-















