RBP2 Antibody
-
中文名稱:RBP2兔多克隆抗體
-
貨號:CSB-PA019481DSR1HU
-
規格:¥440
-
圖片:
-
Western blot
All lanes: RBP2antibody at 1.76μg/ml
Lane 1: Hela whole cell lysate
Lane 2: HepG2 whole cell lysate
Lane 3: Jurkat whole cell lysate
Secondary
Goat polyclonal to rabbit IgG at 1/10000 dilution
Predicted band size: 192 kDa
Observed band size: 192 kDa -
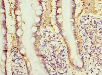
Immunohistochemistry of paraffin-embedded human duodenal tissue using CSB-PA019481DSR1HU at dilution of 1:100
-
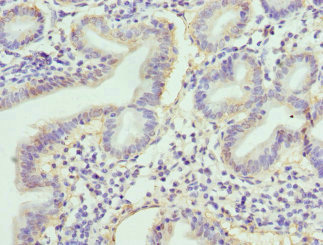
Immunohistochemistry of paraffin-embedded human small intestine tissue using CSB-PA019481DSR1HU at dilution of 1:100
-
-
其他:
產品詳情
-
產品名稱:Rabbit anti-Homo sapiens (Human) RBP2 Polyclonal antibody
-
Uniprot No.:
-
基因名:RBP2
-
別名:Cellular retinol binding protein II antibody; Cellular retinol-binding protein II antibody; CRABP II antibody; Crbp 2 antibody; CRBP II antibody; CRBP-II antibody; CRBP2 antibody; CrbpII antibody; MGC159254 antibody; MGC159256 antibody; Rbp 2 antibody; Rbp2 antibody; RBPC2 antibody; RET2_HUMAN antibody; Retinol binding protein 2 antibody; Retinol binding protein 2 cellular antibody; Retinol-binding protein 2 antibody
-
宿主:Rabbit
-
反應種屬:Human
-
免疫原:Recombinant Human Retinol-binding protein 2 protein (1-134AA)
-
免疫原種屬:Homo sapiens (Human)
-
標記方式:Non-conjugated
-
克隆類型:Polyclonal
-
抗體亞型:IgG
-
純化方式:Antigen Affinity Purified
-
濃度:It differs from different batches. Please contact us to confirm it.
-
保存緩沖液:PBS with 0.02% sodium azide, 50% glycerol, pH7.3.
-
產品提供形式:Liquid
-
應用范圍:ELISA, WB, IHC
-
推薦稀釋比:
Application Recommended Dilution WB 1:1000-1:5000 IHC 1:20-1:200 -
Protocols:
-
儲存條件:Upon receipt, store at -20°C or -80°C. Avoid repeated freeze.
-
貨期:Basically, we can dispatch the products out in 1-3 working days after receiving your orders. Delivery time maybe differs from different purchasing way or location, please kindly consult your local distributors for specific delivery time.
-
用途:For Research Use Only. Not for use in diagnostic or therapeutic procedures.
相關產品
靶點詳情
-
功能:Intracellular transport of retinol.
-
基因功能參考文獻:
- study demonstrates that Piasy may prevent exaggerated transcription of IFNI by Rbp2-mediated demethylation of H3K4me3 of IFNI, avoiding excessive immune responses PMID: 28970247
- Domain-swapped dimers of RBP2 provides evidence for ordered folding intermediates. PMID: 27524203
- The structure of retinal-bound human CRBPII and the structure of retinol-bound CRBPII with retinol fully occupying the binding pocket are reported. PMID: 25478840
- With only nine point mutations, the hCRBPII mutants induced a systematic shift in the absorption profile of all-trans-retinal of more than 200 nanometers across the visible spectrum. PMID: 23224553
- retinoic acid responsiveness of the human CRBP II promoter is mediated by an indirect mechanism and that this mechanism is associated with enterocyte differentiation. PMID: 12016134
- We report here the X-ray structures of human apo and holo CRBP II solved at 1.2 A resolution and compare the two structures between them and with the structures of zebrafish and rat CRBP II. PMID: 18076076
- HNF-4alpha is an important transcriptional factor that regulates human CRBPII gene expression; possibility for a novel function of HNF-4alpha in the regulation of human intestinal vitamin A absorption and metabolism PMID: 19147806
顯示更多
收起更多
-
亞細胞定位:Cytoplasm.
-
蛋白家族:Calycin superfamily, Fatty-acid binding protein (FABP) family
-
組織特異性:Higher expression in adult small intestine and to a much lesser extent in fetal kidney.
-
數據庫鏈接:
Most popular with customers
-
-
YWHAB Recombinant Monoclonal Antibody
Applications: ELISA, WB, IHC, IF, FC
Species Reactivity: Human, Mouse, Rat
-
Phospho-YAP1 (S127) Recombinant Monoclonal Antibody
Applications: ELISA, WB, IHC
Species Reactivity: Human
-
-
-
-
-















