RBM38 Antibody
-
中文名稱:RBM38兔多克隆抗體
-
貨號:CSB-PA136001
-
規格:¥1100
-
圖片:
-
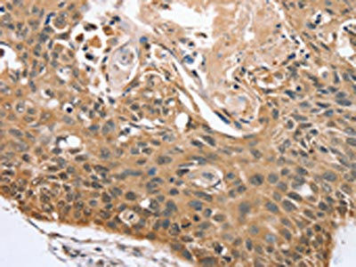
The image on the left is immunohistochemistry of paraffin-embedded Human esophagus cancer tissue using CSB-PA136001(RBM38 Antibody) at dilution 1/45, on the right is treated with synthetic peptide. (Original magnification: ×200)
-
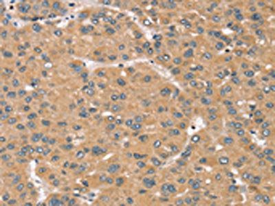
The image on the left is immunohistochemistry of paraffin-embedded Human liver cancer tissue using CSB-PA136001(RBM38 Antibody) at dilution 1/45, on the right is treated with synthetic peptide. (Original magnification: ×200)
-
-
其他:
產品詳情
-
Uniprot No.:
-
基因名:RBM38
-
別名:CLL associated antigen KW 5 antibody; CLL-associated antigen KW-5 antibody; HSRNASEB antibody; RBM38 antibody; RBM38_HUMAN antibody; RNA binding motif protein 38 antibody; RNA binding protein 38 antibody; RNA binding region (RNP1; RRM) containing 1 antibody; RNA binding region containing protein 1 antibody; RNA-binding motif protein 38 antibody; RNA-binding protein 38 antibody; RNA-binding region-containing protein 1 antibody; RNPC1 antibody; SEB4 antibody; SEB4B antibody; SEB4D antibody; ssDNA binding protein SEB4 antibody; ssDNA-binding protein SEB4 antibody
-
宿主:Rabbit
-
反應種屬:Human,Mouse
-
免疫原:Synthetic peptide of Human RBM38
-
免疫原種屬:Homo sapiens (Human)
-
標記方式:Non-conjugated
-
抗體亞型:IgG
-
純化方式:Antigen affinity purification
-
濃度:It differs from different batches. Please contact us to confirm it.
-
保存緩沖液:-20°C, pH7.4 PBS, 0.05% NaN3, 40% Glycerol
-
產品提供形式:Liquid
-
應用范圍:ELISA,IHC
-
推薦稀釋比:
Application Recommended Dilution ELISA 1:2000-1:10000 IHC 1:50-1:300 -
Protocols:
-
儲存條件:Upon receipt, store at -20°C or -80°C. Avoid repeated freeze.
-
貨期:Basically, we can dispatch the products out in 1-3 working days after receiving your orders. Delivery time maybe differs from different purchasing way or location, please kindly consult your local distributors for specific delivery time.
-
用途:For Research Use Only. Not for use in diagnostic or therapeutic procedures.
相關產品
靶點詳情
-
功能:RNA-binding protein that specifically bind the 3'-UTR of CDKN1A transcripts, leading to maintain the stability of CDKN1A transcripts, thereby acting as a mediator of the p53/TP53 family to regulate CDKN1A. CDKN1A is a cyclin-dependent kinase inhibitor transcriptionally regulated by the p53/TP53 family to induce cell cycle arrest. Isoform 1, but not isoform 2, has the ability to induce cell cycle arrest in G1 and maintain the stability of CDKN1A transcripts induced by p53/TP53. Also acts as a mRNA splicing factor. Specifically regulates the expression of FGFR2-IIIb, an epithelial cell-specific isoform of FGFR2. Plays a role in myogenic differentiation.; (Microbial infection) Essential factor for the splicing of the pre-mRNAs of human parvovirus B19 (B19V) and for the expression of B19V 11-kDa protein, which enhances viral replication.
-
基因功能參考文獻:
- Our findings suggested that RBM38 may be a core contributor in stabilizing the p53-mdm2 loop function to prevent hepatocellular carcinoma (HCC) and a potential novel target to provide a therapeutic strategy for HCC by inhibiting mdm2 and rescuing p53 from inactivation PMID: 30176896
- Investigated RNA-binding region-containing protein 1 (RNPC1) action on signal pathways and disease progression in lung cancer samples and cells. Found RNPC1 acts to downregulate the miR-181a mediated inhibition of cancer susceptibility 2 (CASC2) expression in lung cancer. Results show RNPC1 inhibits NSCLC progression in a miR-181a/CASC2 axis-dependent manner. PMID: 29288351
- Results showed that the expressions of RBM38 and PTEN was positively correlated in human breast cancer tissues. RBM38 upregulated PTEN expression and activity in breast cancer cells through its direct binding to PTEN mRNA 3'UTR enhancing its stability. These data implied that RBM38 acted as a tumor suppressor partly by enhancing PTEN expression. PMID: 29052531
- Taken together, these results suggest that the 11-kDa protein facilitates B19V DNA replication and that RBM38 is an essential host factor for B19V pre-mRNA splicing and for the expression of the 11-kDa protein. PMID: 29437973
- Results report that RBM38 mediates direct inhibition of c-Myc expression, which in turn suppresses RBM38 expression. Thus, it can be concluded that RBM38 and c-Myc form a unique mutually antagonistic RBM38-c-Myc loop in breast cancer. PMID: 28399911
- Here we uncovered a novel mechanism that RBM38 is a positive posttranscriptional regulator of ZO-1 in breast cancer. PMID: 28683467
- Overexpression of RNA-binding region-containing protein 1 (RNPC1) increased, whereas knockdown of RNPC1 decreased, the level of progesterone receptor (PR) protein and transcripts. PMID: 27634883
- aplan-Meier analysis showed that renal cell carcinoma patients with lower expression of RBM38 had a significantly shorter survival time than those with higher expression of RBM38 ( p = 0.028). All these suggested that RBM38 acts as a tumor suppressor in renal cell carcinoma, which has the potential value for the prediction of renal cell carcinoma prognosis. PMID: 28459215
- RBM38 and DND1 are repressed in primary acute myeloid leukemia, neutrophil differentiation is dependent on increased expression of both proteins, and they have a role in regulating p21(CIP1) expression during acute promyelocytic leukemia differentiation PMID: 26740055
- RNPC1 was found to be expressed in bladder, blood, brain, breast, colorectal, eye, head and neck, lung, ovarian, skin and soft tissue cancer. In 14 of the 94 tests, an association between RNPC1 gene expression and cancer prognosis was observed. PMID: 26046131
- our data suggest that RBM38 is a novel translational regulator of HIF1alpha under a hypoxic condition. PMID: 25622105
- Suggest that RNPC1 had a potential function to play a tumor-suppressor role which may be a potential marker in the therapeutic and prognostic of breast cancer. PMID: 24884756
- Data indicate that long non-coding RNA HOTAIR is functionally related to RNA binding motif protein 38 (RBM38). PMID: 24663081
- RBM38 as novel transcriptional target of E2F1 restricts E2F1-induced proliferation. Furthermore, this negative feedback loop seems to restrict tumor aggressiveness, thereby promoting survival of patients with cancer. PMID: 22798430
- A role for RBM38 in regulating alternative splicing during erythroid differentiation. PMID: 24250749
- Data suggest that RNPC1 is a critical regulator of Mdm2. PMID: 23912475
- GSK3 promotes p53 mRNA translation through phosphorylation of RNPC1 PMID: 24142875
- knockdown of MIC-1 can decrease RNPC1-induced cell growth suppression. PMID: 23836903
- Novel regulation of MDM2 gene expression by the RNA binding protein RNPC1 via mRNA stability. PMID: 22710720
- knockdown of p73 or p21, another target of RNPC1, attenuates the inhibitory effect of RNPC1 on cell proliferation and premature senescence, whereas combined knockdown of p73 and p21 completely abolishes it PMID: 22508983
- a novel mechanism by which HuR is regulated by RNPC1 via mRNA stability and HuR is a mediator of RNPC1-induced growth suppression. PMID: 22371495
- RNPC1 contributes to tumor resistance to radiotherapy, which likely occurs through a p21-mediated G/G accumulation mechanism PMID: 22214381
- identify RBM38 in a genetic screen for RBPs whose expression controls miRNA access to target mRNAs PMID: 22027593
- identified RNPC1, a p53 target and a RNA-binding protein, as a critical regulator of p53 translation PMID: 21764855
- found that RNPC1, a RNA-binding protein and a target of the p53 family, regulates p63 mRNA stability and consequently p63 activity. PMID: 20457941
- it was found that this protein Rbm38 regulates myogenic differentiation via the p21 signal pathway. PMID: 19817877
- RNPC1a is required to maintain the stability of p21 transcript induced by p53. PMID: 17050675
顯示更多
收起更多
-
亞細胞定位:Cytoplasm, cytosol. Nucleus.
-
蛋白家族:RBM38 family
-
數據庫鏈接:
Most popular with customers
-
-
YWHAB Recombinant Monoclonal Antibody
Applications: ELISA, WB, IHC, IF, FC
Species Reactivity: Human, Mouse, Rat
-
Phospho-YAP1 (S127) Recombinant Monoclonal Antibody
Applications: ELISA, WB, IHC
Species Reactivity: Human
-
-
-
-
-















