RBM17 Antibody
-
中文名稱:RBM17兔多克隆抗體
-
貨號:CSB-PA853432ESR1HU
-
規格:¥440
-
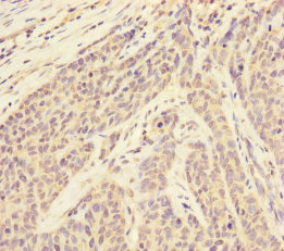
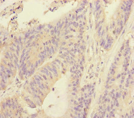
圖片:
-
其他:
產品詳情
-
產品名稱:Rabbit anti-Homo sapiens (Human) RBM17 Polyclonal antibody
-
Uniprot No.:
-
基因名:RBM17
-
別名:45 kDa-splicing factor antibody; RBM 17 antibody; Rbm17 antibody; RNA binding motif protein 17 antibody; RNA-binding motif protein 17 antibody; SPF 45 antibody; SPF45 antibody; SPF45_HUMAN antibody; Splicing factor (45 kD) antibody; Splicing factor (45kD) antibody; Splicing factor 45 antibody; Splicing factor 45 kDa antibody; Splicing factor 45kDa antibody
-
宿主:Rabbit
-
反應種屬:Human
-
免疫原:Recombinant Human Splicing factor 45 protein (1-240AA)
-
免疫原種屬:Homo sapiens (Human)
-
標記方式:Non-conjugated
-
克隆類型:Polyclonal
-
抗體亞型:IgG
-
純化方式:Antigen Affinity Purified
-
濃度:It differs from different batches. Please contact us to confirm it.
-
保存緩沖液:PBS with 0.02% sodium azide, 50% glycerol, pH7.3.
-
產品提供形式:Liquid
-
應用范圍:ELISA, IHC
-
推薦稀釋比:
Application Recommended Dilution IHC 1:20-1:200 -
Protocols:
-
儲存條件:Upon receipt, store at -20°C or -80°C. Avoid repeated freeze.
-
貨期:Basically, we can dispatch the products out in 1-3 working days after receiving your orders. Delivery time maybe differs from different purchasing way or location, please kindly consult your local distributors for specific delivery time.
-
用途:For Research Use Only. Not for use in diagnostic or therapeutic procedures.
相關產品
靶點詳情
-
功能:Splice factor that binds to the single-stranded 3'AG at the exon/intron border and promotes its utilization in the second catalytic step. Involved in the regulation of alternative splicing and the utilization of cryptic splice sites. Promotes the utilization of a cryptic splice site created by the beta-110 mutation in the HBB gene. The resulting frameshift leads to sickle cell anemia.
-
基因功能參考文獻:
- this work provides the structural and molecular basis of the interaction between RBM17 and the phosphorylated form of ATXN1. PMID: 24858692
- identify SPF45 as the first splicing factor regulated by multiple MAP kinase pathways and show effects of both SPF45 overexpression and phosphorylation PMID: 22615491
- dephosphorylation of pS776-ATXN1 by PP2A regulates the interaction of ATXN1 with the splicing factors RBM17 and U2AF65 PMID: 21835928
- overexpression of SPF45 in HeLa, a cervical carcinoma cell line, resulted in drug resistance to doxorubicin and vincristine PMID: 14578179
- The SPF45 regulates alternative splicing of the apoptosis regulatory gene CD95; 2.1-A crystal structure of SPF45-UHM in complex with a ULM peptide from SF3b155 is reported. PMID: 17589525
- Resistance to various chemotherapeutics resulting from stable transfection of RBM17 (SPF45) in A2780 ovarian carcinoma cells may be due to effects of SPF45 on transcription and splicing of ERbeta-regulated genes. PMID: 16061639
顯示更多
收起更多
-
亞細胞定位:Nucleus.
-
數據庫鏈接:
Most popular with customers
-
-
YWHAB Recombinant Monoclonal Antibody
Applications: ELISA, WB, IHC, IF, FC
Species Reactivity: Human, Mouse, Rat
-
Phospho-YAP1 (S127) Recombinant Monoclonal Antibody
Applications: ELISA, WB, IHC
Species Reactivity: Human
-
-
-
-
-















