RBFOX2 Antibody
-
中文名稱:RBFOX2兔多克隆抗體
-
貨號:CSB-PA019439LA01HU
-
規格:¥440
-
圖片:
-
Western Blot
Positive WB detected in: NIH/3T3 whole cell lysate
All lanes: RBFOX2 antibody at 6μg/ml
Secondary
Goat polyclonal to rabbit IgG at 1/50000 dilution
Predicted band size: 42, 41, 38, 40, 48, 44 kDa
Observed band size: 42 kDa -
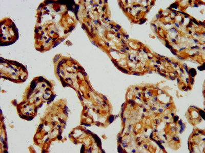
IHC image of CSB-PA019439LA01HU diluted at 1:400 and staining in paraffin-embedded human placenta tissue performed on a Leica BondTM system. After dewaxing and hydration, antigen retrieval was mediated by high pressure in a citrate buffer (pH 6.0). Section was blocked with 10% normal goat serum 30min at RT. Then primary antibody (1% BSA) was incubated at 4°C overnight. The primary is detected by a biotinylated secondary antibody and visualized using an HRP conjugated SP system.
-
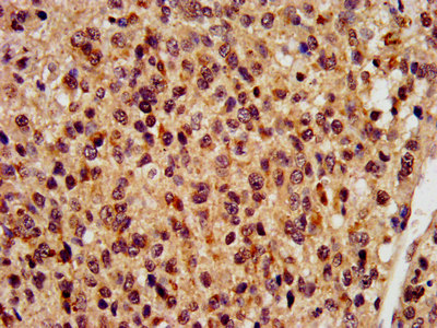
IHC image of CSB-PA019439LA01HU diluted at 1:400 and staining in paraffin-embedded human glioma performed on a Leica BondTM system. After dewaxing and hydration, antigen retrieval was mediated by high pressure in a citrate buffer (pH 6.0). Section was blocked with 10% normal goat serum 30min at RT. Then primary antibody (1% BSA) was incubated at 4°C overnight. The primary is detected by a biotinylated secondary antibody and visualized using an HRP conjugated SP system.
-
Immunofluorescence staining of Hela cells with CSB-PA019439LA01HU at 1:133, counter-stained with DAPI. The cells were fixed in 4% formaldehyde, permeabilized using 0.2% Triton X-100 and blocked in 10% normal Goat Serum. The cells were then incubated with the antibody overnight at 4°C. The secondary antibody was Alexa Fluor 488-congugated AffiniPure Goat Anti-Rabbit IgG(H+L).
-
-
其他:
產品詳情
-
產品名稱:Rabbit anti-Homo sapiens (Human) RBFOX2 Polyclonal antibody
-
Uniprot No.:
-
基因名:RBFOX2
-
別名:ibody; Fox 1 homologue antibody; Fox-1 homolog B antibody; FOX2 antibody; FXH antibody; Hexaribonucleotide-binding protein 2 antibody; HNRBP2 antibody; RBFOX2 antibody; Repressor of tamoxifen transcriptional activity antibody; RFOX2_HUMAN antibody; RNA binding motif protein 9 antibody; RNA binding protein 9 antibody; RNA binding protein fox-1 homolog 2 antibody; RNA-binding motif protein 9 antibody; RNA-binding protein 9 antibody; RTA antibody
-
宿主:Rabbit
-
反應種屬:Human, Mouse
-
免疫原:Recombinant Human RNA binding protein fox-1 homolog 2 protein (8-110AA)
-
免疫原種屬:Homo sapiens (Human)
-
標記方式:Non-conjugated
本頁面中的產品,RBFOX2 Antibody (CSB-PA019439LA01HU),的標記方式是Non-conjugated。對于RBFOX2 Antibody,我們還提供其他標記。見下表:
-
克隆類型:Polyclonal
-
抗體亞型:IgG
-
純化方式:>95%, Protein G purified
-
濃度:It differs from different batches. Please contact us to confirm it.
-
保存緩沖液:Preservative: 0.03% Proclin 300
Constituents: 50% Glycerol, 0.01M PBS, pH 7.4 -
產品提供形式:Liquid
-
應用范圍:ELISA, WB, IHC, IF
-
推薦稀釋比:
Application Recommended Dilution WB 1:500-1:5000 IHC 1:200-1:500 IF 1:50-1:200 -
Protocols:
-
儲存條件:Upon receipt, store at -20°C or -80°C. Avoid repeated freeze.
-
貨期:Basically, we can dispatch the products out in 1-3 working days after receiving your orders. Delivery time maybe differs from different purchasing way or location, please kindly consult your local distributors for specific delivery time.
-
用途:For Research Use Only. Not for use in diagnostic or therapeutic procedures.
相關產品
靶點詳情
-
功能:RNA-binding protein that regulates alternative splicing events by binding to 5'-UGCAUGU-3' elements. Prevents binding of U2AF2 to the 3'-splice site. Regulates alternative splicing of tissue-specific exons and of differentially spliced exons during erythropoiesis. RNA-binding protein that seems to act as a coregulatory factor of ER-alpha.
-
基因功能參考文獻:
- Rbfox2 nonsense mutation is associated with hypoplastic left heart syndrome. PMID: 27485310
- Data show that while RBFOX1 and RBFOX2 do not mediate neuron-specific processing of UBE3A-ATS, these proteins play important roles in developing neurons and are not completely functionally redundant. PMID: 27146458
- Results showed that the expression patterns of these genes were indicative of the onset of EMT in in-vitro models, but not in tissue samples. However, the ratio between ESRP1 or ESRP2 and RBFOX2 significantly decreased during EMT and positively correlated with the EMT-specific phenotype in cell models. Low ESRP1/RBFOX2 ratio value was associated with a higher risk of metastasis in early breast cancer patients. PMID: 27911856
- Rbfox2 modulates the functions of vascular CaV1.2 calcium channel by dynamically regulating the expressions of alternative exons 9* and 33, which in turn affects the vascular myogenic tone. PMID: 28993448
- RBFOX2 dysregulation by dominant-negative RBFOX2 is an early pathogenic event in diabetic hearts. PMID: 27239029
- RBFox2 interactis with chromatin in a nascent RNA-dependent manner. RBFox2 inactivation eradicates PRC2 targeting on the majority of bivalent gene promoters and leads to transcriptional de-repression. PMID: 27211866
- Some of the widespread cellular functions of Rbfox2 protein are attributable to regulation of miRNA biogenesis, and might include the mis-regulation of miR-20b and miR-107 in cancer and neurodegeneration. PMID: 27001519
- RBFOX proteins can facilitate the splicing of micro-exons. We also found that PTBP1 likely regulates the inclusion of micro-exons, possibly by repressing the inclusion of micro-exons that are enhanced by RBFOX proteins and other splicing factors.[RBFOX] PMID: 25524026
- CPSF2 and SYMPK, are RBFOX2 cofactors for both inclusion and exclusion of internal exons. PMID: 25921069
- RBFOX2 SNPs showed evidence for effects across multiple reading and language traits. PMID: 25065397
- Results show that the conserved Rbfox2 RNA binding protein regulates 30% of the splicing transitions observed during myogenesis and is required for the specific step of myoblast fusion. PMID: 25087874
- MBNL1 and RBFOX2 cooperate to establish a splicing programme involved in pluripotent stem cell differentiation. PMID: 24048253
- RBFOX2 polymorphism is associated with breast cancer. PMID: 23143756
- RBFOX2 drives mesenchymal tissue-specific splicing in both normal and cancer tissues. PMID: 23149937
- FOX-2 is involved in splicing of ataxin-2 transcripts and that this splicing event is altered by overexpression of ataxin-1 PMID: 22666429
- functional significance of EMT-associated alternative splicing depletion of RBFOX2 in mesenchymal cells PMID: 21876675
- This study characterizes the mechanism by which RBFOX2 regulates protein 4.1R exon 16 splicing through the downstream intronic element UGCAUG. PMID: 22083953
- the negative regulation of Rbfox2 by Rbfox3 through a novel mechanism PMID: 21747913
- Fox-2 plays an integral role in the regulation of LH2 splicing and knockdown of Fox-2 may suggest a novel approach to strategies directed against scleroderma. PMID: 20131247
- Fox-1 and Fox-2 isoforms specifically activate splicing of neuronally regulated exons, which requires UGCAUG enhancer elements PMID: 16260614
- Fox-1 and Fox-2 splicing factors have roles in alternative splicing of protein 4.1R PMID: 16537540
- Fox-1/Fox-2 proteins block prespliceosome complex formation at two distinct steps through binding to two functionally important UGCAUG elements. PMID: 18573872
- These results establish hnRNP H and hnRNP F as being repressors of exon inclusion and suggest that Fox proteins enhance their ability to antagonize ASF/SF2. PMID: 18573884
- predict thousands of Fox-1/2 targets with conserved binding sites, at a false discovery rate of approximately 24%, including many validated experimentally, suggesting a surprisingly extensive splicing regulatory networks PMID: 18794351
- These findings suggest that FOX2 functions as a critical regulator of a splicing network, and that FOX2 is important for the survival of human embryonic stem cells. PMID: 19136955
顯示更多
收起更多
-
亞細胞定位:Nucleus. Cytoplasm.
-
數據庫鏈接:
Most popular with customers
-
-
YWHAB Recombinant Monoclonal Antibody
Applications: ELISA, WB, IHC, IF, FC
Species Reactivity: Human, Mouse, Rat
-
Phospho-YAP1 (S127) Recombinant Monoclonal Antibody
Applications: ELISA, WB, IHC
Species Reactivity: Human
-
-
-
-
-















