RASD2 Antibody
-
中文名稱:RASD2兔多克隆抗體
-
貨號:CSB-PA509583
-
規格:¥1100
-
圖片:
-
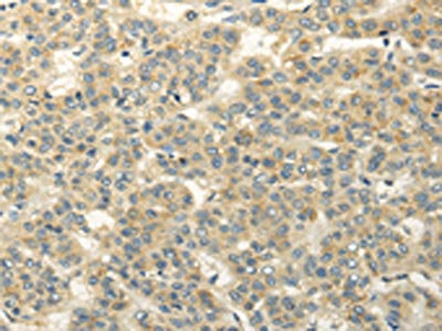
The image on the left is immunohistochemistry of paraffin-embedded Human liver cancer tissue using CSB-PA509583(RASD2 Antibody) at dilution 1/20, on the right is treated with fusion protein. (Original magnification: ×200)
-
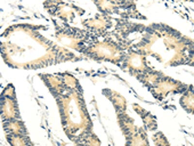
The image on the left is immunohistochemistry of paraffin-embedded Human colorectal cancer tissue using CSB-PA509583(RASD2 Antibody) at dilution 1/20, on the right is treated with fusion protein. (Original magnification: ×200)
-
Gel: 12%SDS-PAGE, Lysate: 40 μg, Lane 1-2: Mouse kidney tissue and hela cell, Primary antibody: CSB-PA509583(RASD2 Antibody) at dilution 1/400 dilution, Secondary antibody: Goat anti rabbit IgG at 1/8000 dilution, Exposure time: 10 seconds
-
-
其他:
產品詳情
-
Uniprot No.:
-
基因名:RASD2
-
別名:GTP binding protein Rhes antibody; GTP-binding protein Rhes antibody; MGC:4834 antibody; OTTHUMP00000197925 antibody; Ras homolog enriched in striatum antibody; RASD 2 antibody; RASD family member 2 antibody; RASD2 antibody; Rhes antibody; RHES_HUMAN antibody; TEM 2 antibody; TEM2 antibody; Tumor endothelial marker 2 antibody
-
宿主:Rabbit
-
反應種屬:Human,Mouse
-
免疫原:Full length fusion protein
-
免疫原種屬:Homo sapiens (Human)
-
標記方式:Non-conjugated
-
抗體亞型:IgG
-
純化方式:Antigen affinity purification
-
濃度:It differs from different batches. Please contact us to confirm it.
-
保存緩沖液:-20°C, pH7.4 PBS, 0.05% NaN3, 40% Glycerol
-
產品提供形式:Liquid
-
應用范圍:ELISA,WB,IHC
-
推薦稀釋比:
Application Recommended Dilution ELISA 1:1000-1:2000 WB 1:200-1:1000 IHC 1:25-1:100 -
Protocols:
-
儲存條件:Upon receipt, store at -20°C or -80°C. Avoid repeated freeze.
-
貨期:Basically, we can dispatch the products out in 1-3 working days after receiving your orders. Delivery time maybe differs from different purchasing way or location, please kindly consult your local distributors for specific delivery time.
-
用途:For Research Use Only. Not for use in diagnostic or therapeutic procedures.
相關產品
靶點詳情
-
功能:GTPase signaling protein that binds to and hydrolyzes GTP. Regulates signaling pathways involving G-proteins-coupled receptor and heterotrimeric proteins such as GNB1, GNB2 and GNB3. May be involved in selected striatal competencies, mainly locomotor activity and motor coordination.
-
基因功能參考文獻:
- Study demonstrated that variation in the gene coding for RASD2 (rs6518956) affects in vivo prefrontal and striatal phenotypes in healthy human subjects that are relevant to schizophrenia PMID: 26228524
- Rhes influences striatal cAMP/PKA-dependent signaling and synaptic plasticity in a gender-sensitive fashion PMID: 26190541
- Findings reveal that ras homolog enriched in striatum is localized also in striatal cholinergic interneurons and, most importantly, lack of this G-protein, significantly alters dopamine D2 receptor modulation of striatal cholinergic excitability. PMID: 25818655
- Rhes is reduced in the brains of Huntington's disease patients. PMID: 25556834
- The findings of this study suggested that Rhes may play a crucial role in striatal iron homeostasis. PMID: 23999124
- Rhes robustly binds the autophagy regulator Beclin-1, decreasing its inhibitory interaction with Bcl-2 independent of JNK-1 signaling. PMID: 24324270
- The sequestering of Rhes through its binding to mutant huntingtin may decrease the ability of Rhes to perform vital physiological functions in the striatum neurons of Huntington disease patients. (Review) PMID: 23583659
- Rhes is an imidazoline-regulated transcript in pancreatic beta-cells PMID: 16945334
- Rhes can interfere with the functional activity of wt and mutated TSHr and with the respective hormone-stimulated cAMP production of FSHr and LHr. PMID: 17556863
- The genes RASD2 might be vulnerability genes for neuropsychologically defined subgroups of schizophrenic patients. PMID: 18571626
- Binding to the Gbeta subunits involves the cationic regions of AGS1 and Rhes, and Data used Rhes-AGS1 chimeras to show that their different cationic regions determine the Gbeta-specificity of the interactions. PMID: 19255495
顯示更多
收起更多
-
亞細胞定位:Cell membrane; Lipid-anchor.
-
蛋白家族:Small GTPase superfamily, RasD family
-
組織特異性:Pancreatic endocrine cells (islets of Langerhans).
-
數據庫鏈接:
Most popular with customers
-
-
YWHAB Recombinant Monoclonal Antibody
Applications: ELISA, WB, IHC, IF, FC
Species Reactivity: Human, Mouse, Rat
-
Phospho-YAP1 (S127) Recombinant Monoclonal Antibody
Applications: ELISA, WB, IHC
Species Reactivity: Human
-
-
-
-
-















