RASA4 Antibody
-
中文名稱:RASA4兔多克隆抗體
-
貨號:CSB-PA019349ESR2HU
-
規格:¥440
-
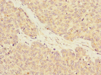
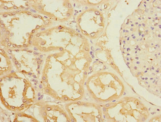
圖片:
-
其他:
產品詳情
-
產品名稱:Rabbit anti-Homo sapiens (Human) RASA4 Polyclonal antibody
-
Uniprot No.:
-
基因名:
-
別名:RASA4 antibody; CAPRI antibody; GAPL antibody; KIAA0538 antibody; Ras GTPase-activating protein 4 antibody; Calcium-promoted Ras inactivator antibody; Ras p21 protein activator 4 antibody; RasGAP-activating-like protein 2 antibody
-
宿主:Rabbit
-
反應種屬:Human
-
免疫原:Recombinant Human Ras GTPase-activating protein 4 protein (60-290AA)
-
免疫原種屬:Homo sapiens (Human)
-
標記方式:Non-conjugated
-
克隆類型:Polyclonal
-
抗體亞型:IgG
-
純化方式:Antigen Affinity Purified
-
濃度:It differs from different batches. Please contact us to confirm it.
-
保存緩沖液:PBS with 0.02% sodium azide, 50% glycerol, pH7.3.
-
產品提供形式:Liquid
-
應用范圍:ELISA, IHC
-
推薦稀釋比:
Application Recommended Dilution IHC 1:20-1:200 -
Protocols:
-
儲存條件:Upon receipt, store at -20°C or -80°C. Avoid repeated freeze.
-
貨期:Basically, we can dispatch the products out in 1-3 working days after receiving your orders. Delivery time maybe differs from different purchasing way or location, please kindly consult your local distributors for specific delivery time.
-
用途:For Research Use Only. Not for use in diagnostic or therapeutic procedures.
相關產品
靶點詳情
-
功能:Ca(2+)-dependent Ras GTPase-activating protein, that switches off the Ras-MAPK pathway following a stimulus that elevates intracellular calcium. Functions as an adaptor for Cdc42 and Rac1 during FcR-mediated phagocytosis.
-
基因功能參考文獻:
- RASA4 isoform 2 promoter methylation correlated with clinical parameters predicting poor prognosis (older age, elevated fetal hemoglobin), with higher risk of relapse after hematopoietic stem cell transplantation, and with PTPN11 mutation. PMID: 25147919
- Ca2+-dependent monomer and dimer formation switches CAPRI Protein between Ras GTPase-activating protein (GAP) and RapGAP activities PMID: 21460216
- CAPRI seems to low-pass filter the Ca2+ signal, converting different intensities of stimulation into different durations of Ras activity. PMID: 16009725
- CAPRI (Ca2+-promoted Ras inactivator) a Ca2+-dependent Ras GTPase-activating protein (Ras GAP). Switches off the Ras-MAPK pathway following G protein-coupled receptor stimulated intracellular Ca2+ elevation that recruits CAPRI to the plasma membrane. PMID: 11448776
-
亞細胞定位:Cytoplasm, cytosol. Cell membrane; Peripheral membrane protein. Note=Localized to the cytosol as a result of its lack of phosphoinositide binding activity. Upon agonist-stimulated calcium mobilization, utilizes the C2A and C2B domains to associate with the plasma membrane.
-
組織特異性:Widely expressed.
-
數據庫鏈接:
Most popular with customers
-
-
YWHAB Recombinant Monoclonal Antibody
Applications: ELISA, WB, IHC, IF, FC
Species Reactivity: Human, Mouse, Rat
-
Phospho-YAP1 (S127) Recombinant Monoclonal Antibody
Applications: ELISA, WB, IHC
Species Reactivity: Human
-
-
-
-
-















