RASA3 Antibody
-
中文名稱:RASA3兔多克隆抗體
-
貨號:CSB-PA574803
-
規格:¥1100
-
圖片:
-
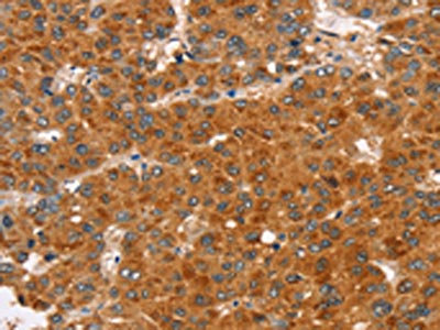
The image on the left is immunohistochemistry of paraffin-embedded Human liver cancer tissue using CSB-PA574803(RASA3 Antibody) at dilution 1/35, on the right is treated with synthetic peptide. (Original magnification: ×200)
-
The image on the left is immunohistochemistry of paraffin-embedded Human brain tissue using CSB-PA574803(RASA3 Antibody) at dilution 1/35, on the right is treated with synthetic peptide. (Original magnification: ×200)
-
-
其他:
產品詳情
-
Uniprot No.:
-
基因名:
-
別名:GAP III antibody; GAP1(IP4BP) antibody; GAP1IP4BP antibody; GAPIII antibody; GTPase activating protein 1 family antibody; GTPase activating protein III antibody; Inositol 1 3 4 5 tetrakisphosphate binding protein antibody; Inositol 1345 tetrakisphosphate binding protein antibody; Ins P4 binding protein antibody; Ins P4-binding protein antibody; Ins(1 3 4 5)P4 binding protein antibody; Ins(1345)P4 binding protein antibody; MGC46517 antibody; MGC47588 antibody; Ras GTPase activating protein 3 antibody; Ras GTPase-activating protein 3 antibody; RAS p21 protein activator 3 antibody; RASA 3 antibody; RASA3 antibody; RASA3_HUMAN antibody
-
宿主:Rabbit
-
反應種屬:Human,Mouse,Rat
-
免疫原:Synthetic peptide of Human RASA3
-
免疫原種屬:Homo sapiens (Human)
-
標記方式:Non-conjugated
-
抗體亞型:IgG
-
純化方式:Antigen affinity purification
-
濃度:It differs from different batches. Please contact us to confirm it.
-
保存緩沖液:-20°C, pH7.4 PBS, 0.05% NaN3, 40% Glycerol
-
產品提供形式:Liquid
-
應用范圍:ELISA,IHC
-
推薦稀釋比:
Application Recommended Dilution ELISA 1:2000-1:5000 IHC 1:30-1:150 -
Protocols:
-
儲存條件:Upon receipt, store at -20°C or -80°C. Avoid repeated freeze.
-
貨期:Basically, we can dispatch the products out in 1-3 working days after receiving your orders. Delivery time maybe differs from different purchasing way or location, please kindly consult your local distributors for specific delivery time.
-
用途:For Research Use Only. Not for use in diagnostic or therapeutic procedures.
相關產品
靶點詳情
-
功能:Inhibitory regulator of the Ras-cyclic AMP pathway. Binds inositol tetrakisphosphate (IP4) with high affinity. Might be a specific IP4 receptor.
-
基因功能參考文獻:
- Rasa3 is a critical regulator of Rap1 in endothelial cells which controls adhesions properties and vascular lumen integrity; its specific endothelial cell inactivation results in occluded blood vessels, hemorrhages and early embryonic death in mouse, mimicking thus the Rasa3-/- mouse phenotype. PMID: 29381707
- these results support an important role for Rasa3 in PI3K-dependent integrin alphaIIbbeta3-mediated outside-in signaling and cell spreading. PMID: 27903653
- the function of RASA3 during megakaryopoiesis, megakaryocyte adhesion and migration as well as integrin signaling has been reported. PMID: 25294679
- role in intracellular calcium homeostasis PMID: 12356770
- model in which the Ras GAP-related domain of GAP1(IP4BP) functions to stabilize the switch II region of Rap1, allowing stabilization of the transition state during GTP hydrolysis initiated by the arginine finger PMID: 19433443
- GAP1IP4BP is an inositol 1,3,4,5-tetrakisphosphate regulated plasma membrane associated Ras and Rap GAP. Membrane association results from its PH domain binding phosphatidylinositol 4,5-bisphosphate. PMID: 7637787
顯示更多
收起更多
-
亞細胞定位:Cell membrane.
-
數據庫鏈接:
Most popular with customers
-
-
Phospho-YAP1 (S127) Recombinant Monoclonal Antibody
Applications: ELISA, WB, IHC
Species Reactivity: Human
-
-
-
-
-
-















