RANBP3 Antibody
-
中文名稱:RANBP3兔多克隆抗體
-
貨號:CSB-PA867162DSR2HU
-
規格:¥440
-
圖片:
-
Western blot
All lanes: RANBP3 antibody at 6.4μg/ml
Lane 1: Mouse brain tissue
Lane 2: Hela whole cell lysate
Lane 3: HepG2 whole cell lysate
Lane 4: Jurkat whole cell lysate
Lane 5: MCF-7 whole cell lysate
Secondary
Goat polyclonal to rabbit IgG at 1/10000 dilution
Predicted band size: 61, 60, 54 kDa
Observed band size: 61 kDa -
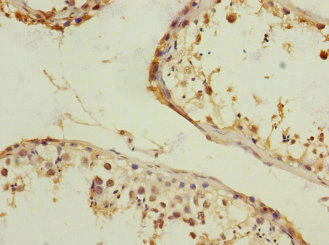
Immunohistochemistry of paraffin-embedded human testis tissue using CSB-PA867162DSR2HU at dilution of 1:100
-
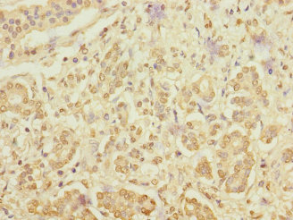
Immunohistochemistry of paraffin-embedded human pancreatic cancer using CSB-PA867162DSR2HU at dilution of 1:100
-
-
其他:
產品詳情
-
產品名稱:Rabbit anti-Homo sapiens (Human) RANBP3 Polyclonal antibody
-
Uniprot No.:
-
基因名:RANBP3
-
別名:DKFZp586I1520 antibody; Ran binding protein 3 antibody; Ran-binding protein 3 antibody; RANB3_HUMAN antibody; RanBP3 antibody
-
宿主:Rabbit
-
反應種屬:Human, Mouse
-
免疫原:Recombinant Human Ran-binding protein 3 protein (1-250AA)
-
免疫原種屬:Homo sapiens (Human)
-
標記方式:Non-conjugated
-
克隆類型:Polyclonal
-
抗體亞型:IgG
-
純化方式:Antigen Affinity Purified
-
濃度:It differs from different batches. Please contact us to confirm it.
-
保存緩沖液:PBS with 0.02% sodium azide, 50% glycerol, pH7.3.
-
產品提供形式:Liquid
-
應用范圍:ELISA, WB, IHC
-
推薦稀釋比:
Application Recommended Dilution WB 1:1000-1:5000 IHC 1:20-1:200 -
Protocols:
-
儲存條件:Upon receipt, store at -20°C or -80°C. Avoid repeated freeze.
-
貨期:Basically, we can dispatch the products out in 1-3 working days after receiving your orders. Delivery time maybe differs from different purchasing way or location, please kindly consult your local distributors for specific delivery time.
-
用途:For Research Use Only. Not for use in diagnostic or therapeutic procedures.
相關產品
靶點詳情
-
功能:Acts as a cofactor for XPO1/CRM1-mediated nuclear export, perhaps as export complex scaffolding protein. Bound to XPO1/CRM1, stabilizes the XPO1/CRM1-cargo interaction. In the absence of Ran-bound GTP prevents binding of XPO1/CRM1 to the nuclear pore complex. Binds to CHC1/RCC1 and increases the guanine nucleotide exchange activity of CHC1/RCC1. Recruits XPO1/CRM1 to CHC1/RCC1 in a Ran-dependent manner. Negative regulator of TGF-beta signaling through interaction with the R-SMAD proteins, SMAD2 and SMAD3, and mediating their nuclear export.
-
基因功能參考文獻:
- Computational docking simulation indicates that phosphorylation of RanBP3 at Ser58 could potentially stabilize the association of RanBP3 with importin-alpha through interactions between the phosphate moiety of phospho-Ser58 of RanBP3 and a cluster of basic residues (Arg96 and Lys97 in importin-alpha3) on armadillo repeat 1 of importin-alpha. PMID: 28760339
- RANBP3 regulates melanoma cell proliferation and probably a potential target for molecular targeted therapy. PMID: 26763446
- RanBP3 is involved in vRNP nuclear export. The function of RanBP3 during vRNP nuclear export is regulated by phosphorylation at Ser58. RanBP3 phosphorylation is modulated by both PI3K/Akt and Ras/ERK/RSK pathways in the late phase of viral infection. PMID: 23303829
- Crystal structure of the Ran-binding domain (RBD) from RanBP3 and compare it to RBD structures from RanBP1 and RanBP2 in complex with Ran and CRM1. PMID: 21364925
- RanBP3 stimulates export by enhancing the affinity of Crm1 for Ran-GTP and cargo. PMID: 11932251
- A multifunctional domain in CRM1 (exportin 1) mediates RanBP3 binding and multimerization of human T-cell leukemia virus type 1 Rex protein. PMID: 14612415
- RANBP3 phosphorylation links the Ras and PI3-kinase pathways to nucleocytoplasmic transport. PMID: 18280241
- RanBP3 directly recognizes dephosphorylated Smad2/3, which results from the activity of nuclear Smad phosphatases, and mediates nuclear export of Smad2/3 in a Ran-dependent manner. PMID: 19289081
顯示更多
收起更多
-
亞細胞定位:Cytoplasm. Nucleus.
-
組織特異性:Widely expressed with high levels in testis and heart.
-
數據庫鏈接:
Most popular with customers
-
-
YWHAB Recombinant Monoclonal Antibody
Applications: ELISA, WB, IHC, IF, FC
Species Reactivity: Human, Mouse, Rat
-
Phospho-YAP1 (S127) Recombinant Monoclonal Antibody
Applications: ELISA, WB, IHC
Species Reactivity: Human
-
-
-
-
-















