RAMP2 Antibody
-
中文名稱:RAMP2兔多克隆抗體
-
貨號:CSB-PA019305LA01HU
-
規格:¥440
-
圖片:
-
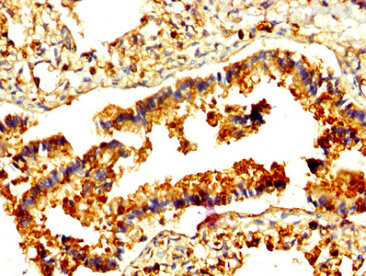
IHC image of CSB-PA019305LA01HU diluted at 1:500 and staining in paraffin-embedded human lung tissue performed on a Leica BondTM system. After dewaxing and hydration, antigen retrieval was mediated by high pressure in a citrate buffer (pH 6.0). Section was blocked with 10% normal goat serum 30min at RT. Then primary antibody (1% BSA) was incubated at 4°C overnight. The primary is detected by a biotinylated secondary antibody and visualized using an HRP conjugated SP system.
-
Immunofluorescence staining of A549 cells with CSB-PA019305LA01HU at 1:230, counter-stained with DAPI. The cells were fixed in 4% formaldehyde, permeabilized using 0.2% Triton X-100 and blocked in 10% normal Goat Serum. The cells were then incubated with the antibody overnight at 4°C. The secondary antibody was Alexa Fluor 488-congugated AffiniPure Goat Anti-Rabbit IgG(H+L).
-
-
其他:
產品詳情
-
產品名稱:Rabbit anti-Homo sapiens (Human) RAMP2 Polyclonal antibody
-
Uniprot No.:
-
基因名:
-
別名:RAMP2; Receptor activity-modifying protein 2; Calcitonin-receptor-like receptor activity-modifying protein 2; CRLR activity-modifying protein 2
-
宿主:Rabbit
-
反應種屬:Human
-
免疫原:Recombinant Human Receptor activity-modifying protein 2 protein (43-145AA)
-
免疫原種屬:Homo sapiens (Human)
-
標記方式:Non-conjugated
本頁面中的產品,RAMP2 Antibody (CSB-PA019305LA01HU),的標記方式是Non-conjugated。對于RAMP2 Antibody,我們還提供其他標記。見下表:
-
克隆類型:Polyclonal
-
抗體亞型:IgG
-
純化方式:>95%, Protein G purified
-
濃度:It differs from different batches. Please contact us to confirm it.
-
保存緩沖液:Preservative: 0.03% Proclin 300
Constituents: 50% Glycerol, 0.01M PBS, pH 7.4 -
產品提供形式:Liquid
-
應用范圍:ELISA, IHC, IF
-
推薦稀釋比:
Application Recommended Dilution IHC 1:500-1:1000 IF 1:200-1:500 -
Protocols:
-
儲存條件:Upon receipt, store at -20°C or -80°C. Avoid repeated freeze.
-
貨期:Basically, we can dispatch the products out in 1-3 working days after receiving your orders. Delivery time maybe differs from different purchasing way or location, please kindly consult your local distributors for specific delivery time.
-
用途:For Research Use Only. Not for use in diagnostic or therapeutic procedures.
相關產品
靶點詳情
-
功能:Transports the calcitonin gene-related peptide type 1 receptor (CALCRL) to the plasma membrane. Acts as a receptor for adrenomedullin (AM) together with CALCRL.
-
基因功能參考文獻:
- Single nucleotide polymorphism of RAMP2 is associated with Stroke. PMID: 28904253
- This work suggests that RAMP2 may modify the agonist activity and trafficking of the GCGR, with potential relevance to production of new peptide analogs with selective agonist activities. PMID: 28586439
- Data suggest that a single GlcNAc residue at CTR N130 (asparagine 130) is responsible for enhanced affinity of calcitonin for CTR ECD; the same appears to apply for enhanced affinity of amylin for RAMP2-CTR ECD. [GlcNAc = N-acetylglucosamine; CTR = calcitonin receptor; ECD = extracellular domain; RAMP2 = receptor (calcitonin) activity modifying protein 2]. PMID: 28614667
- This study reveals the glucagon receptor as a previously unidentified target for GLP-1 receptor agonists and highlights a role for RAMP2 in regulating its pharmacology. PMID: 26198634
- Adrenomedullin-RAMP2 system suppresses ER stress-induced tubule cell death and is involved in kidney protection. PMID: 24505304
- Data suggest isoforms of RAMP modulate accessibility of peptides to residues situated on CALCRL (calcitonin receptor-like receptor) N-terminal domain; RAMP3/RAMP2/RAMP1 appear to alter accessibility of specific residues at CALCRL-RAMP interface. PMID: 24199627
- RAMP2 gene expression increases with gestational age development in the fetal lung. PMID: 24169318
- Co-expression of calcitonin receptors (CT) lacking a portion of domain 1 with receptor activity-modifying protein (RAMP) 1, 2, or 3 appears to produce functional CT-(8-32)-sensitive adrenomedullin receptors. PMID: 12565884
- TNF-alpha induced time- and dose-dependent decreases in the expression of RAMP2 mRNA in cultured human coronary artery smooth muscle cells , thereby diminishing AM-evoked cAMP production PMID: 15245870
- Data found that expressions of RAMP1, RAMP2 and RAMP3 mRNAs increased with the worsening of heart function, but the expressions of RAMP1 and RAMP2 mRNA decreased at level IV of heart failure. PMID: 15300632
- adrenomedullin receptors are comprised of RAMP2 and calcitonin receptor-like receptor. PMID: 15613468
- This study reveals important functionality of the RAMP C-terminal domain and identifies key differences in the role of the RAMP C terminus for calcitonin receptor versus calcitonin receptor-like receptor-based receptors. PMID: 16912219
- RAMP2 is silenced by promoter hypermethylation in lung cancer PMID: 17671114
- Identification of RAMP2 residues for adrenomedullin receptors are reported. PMID: 18593822
- The His residues of hRAMP2 and -3 differentially govern adrenomedullin receptor function. PMID: 18835256
顯示更多
收起更多
-
亞細胞定位:Membrane; Single-pass type I membrane protein.
-
蛋白家族:RAMP family
-
組織特異性:Strongly expressed in lung, breast, immune system and fetal tissues.
-
數據庫鏈接:
Most popular with customers
-
-
YWHAB Recombinant Monoclonal Antibody
Applications: ELISA, WB, IHC, IF, FC
Species Reactivity: Human, Mouse, Rat
-
Phospho-YAP1 (S127) Recombinant Monoclonal Antibody
Applications: ELISA, WB, IHC
Species Reactivity: Human
-
-
-
-
-















