RACK1 Antibody
-
中文名稱:RACK1兔多克隆抗體
-
貨號:CSB-PA009605LA01HU
-
規格:¥440
-
圖片:
-
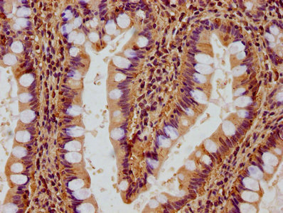
IHC image of CSB-PA009605LA01HU diluted at 1:500 and staining in paraffin-embedded human small intestine tissue performed on a Leica BondTM system. After dewaxing and hydration, antigen retrieval was mediated by high pressure in a citrate buffer (pH 6.0). Section was blocked with 10% normal goat serum 30min at RT. Then primary antibody (1% BSA) was incubated at 4°C overnight. The primary is detected by a biotinylated secondary antibody and visualized using an HRP conjugated SP system.
-
Immunofluorescence staining of Hela cells with CSB-PA009605LA01HU at 1:166, counter-stained with DAPI. The cells were fixed in 4% formaldehyde, permeabilized using 0.2% Triton X-100 and blocked in 10% normal Goat Serum. The cells were then incubated with the antibody overnight at 4°C. The secondary antibody was Alexa Fluor 488-congugated AffiniPure Goat Anti-Rabbit IgG(H+L).
-
-
其他:
產品詳情
-
產品名稱:Rabbit anti-Homo sapiens (Human) RACK1 Polyclonal antibody
-
Uniprot No.:
-
基因名:RACK1
-
別名:Cell proliferation-inducing gene 21 protein antibody; GBLP_HUMAN antibody; Gnb2-rs1 antibody; Gnb2l1 antibody; Guanine nucleotide binding protein (G protein) beta polypeptide 2 like 1 antibody; Guanine nucleotide binding protein beta polypeptide 2 like 1 antibody; Guanine nucleotide binding protein beta subunit 2 like 1 antibody; Guanine nucleotide binding protein beta subunit like protein 12.3 antibody; Guanine nucleotide binding protein subunit beta 2 like 1 antibody; Guanine nucleotide binding protein subunit beta like protein 12.3 antibody; Guanine nucleotide-binding protein subunit beta-2-like 1 antibody; Guanine nucleotide-binding protein subunit beta-like protein 12.3 antibody; H12.3 antibody; HLC-7 antibody; Human lung cancer oncogene 7 protein antibody; lung cancer oncogene 7 antibody; OTTHUMP00000223704 antibody; OTTHUMP00000223870 antibody; OTTHUMP00000223891 antibody; OTTHUMP00000223893 antibody; OTTHUMP00000223900 antibody; OTTHUMP00000223902 antibody; OTTHUMP00000223930 antibody; OTTHUMP00000223931 antibody; PIG21 antibody; Proliferation inducing gene 21 antibody; Protein homologous to chicken B complex protein guanine nucleotide binding antibody; RACK1 antibody; Receptor for activated C kinase 1 antibody; Receptor for activated C kinase antibody; Receptor of activated protein kinase C 1 antibody
-
宿主:Rabbit
-
反應種屬:Human
-
免疫原:Recombinant Human Receptor of activated protein C kinase 1 protein (93-317AA)
-
免疫原種屬:Homo sapiens (Human)
-
標記方式:Non-conjugated
本頁面中的產品,RACK1 Antibody (CSB-PA009605LA01HU),的標記方式是Non-conjugated。對于RACK1 Antibody,我們還提供其他標記。見下表:
-
克隆類型:Polyclonal
-
抗體亞型:IgG
-
純化方式:>95%, Protein G purified
-
濃度:It differs from different batches. Please contact us to confirm it.
-
保存緩沖液:Preservative: 0.03% Proclin 300
Constituents: 50% Glycerol, 0.01M PBS, pH 7.4 -
產品提供形式:Liquid
-
應用范圍:ELISA, IHC, IF
-
推薦稀釋比:
Application Recommended Dilution IHC 1:500-1:1000 IF 1:50-1:200 -
Protocols:
-
儲存條件:Upon receipt, store at -20°C or -80°C. Avoid repeated freeze.
-
貨期:Basically, we can dispatch the products out in 1-3 working days after receiving your orders. Delivery time maybe differs from different purchasing way or location, please kindly consult your local distributors for specific delivery time.
-
用途:For Research Use Only. Not for use in diagnostic or therapeutic procedures.
相關產品
靶點詳情
-
功能:Scaffolding protein involved in the recruitment, assembly and/or regulation of a variety of signaling molecules. Interacts with a wide variety of proteins and plays a role in many cellular processes. Component of the 40S ribosomal subunit involved in translational repression. Involved in the initiation of the ribosome quality control (RQC), a pathway that takes place when a ribosome has stalled during translation, by promoting ubiquitination of a subset of 40S ribosomal subunits. Binds to and stabilizes activated protein kinase C (PKC), increasing PKC-mediated phosphorylation. May recruit activated PKC to the ribosome, leading to phosphorylation of EIF6. Inhibits the activity of SRC kinases including SRC, LCK and YES1. Inhibits cell growth by prolonging the G0/G1 phase of the cell cycle. Enhances phosphorylation of BMAL1 by PRKCA and inhibits transcriptional activity of the BMAL1-CLOCK heterodimer. Facilitates ligand-independent nuclear translocation of AR following PKC activation, represses AR transactivation activity and is required for phosphorylation of AR by SRC. Modulates IGF1R-dependent integrin signaling and promotes cell spreading and contact with the extracellular matrix. Involved in PKC-dependent translocation of ADAM12 to the cell membrane. Promotes the ubiquitination and proteasome-mediated degradation of proteins such as CLEC1B and HIF1A. Required for VANGL2 membrane localization, inhibits Wnt signaling, and regulates cellular polarization and oriented cell division during gastrulation. Required for PTK2/FAK1 phosphorylation and dephosphorylation. Regulates internalization of the muscarinic receptor CHRM2. Promotes apoptosis by increasing oligomerization of BAX and disrupting the interaction of BAX with the anti-apoptotic factor BCL2L. Inhibits TRPM6 channel activity. Regulates cell surface expression of some GPCRs such as TBXA2R. Plays a role in regulation of FLT1-mediated cell migration. Involved in the transport of ABCB4 from the Golgi to the apical bile canalicular membrane. Promotes migration of breast carcinoma cells by binding to and activating RHOA.; (Microbial infection) Binds to Y.pseudotuberculosis yopK which leads to inhibition of phagocytosis and survival of bacteria following infection of host cells.; (Microbial infection) Enhances phosphorylation of HIV-1 Nef by PKCs.; (Microbial infection) In case of poxvirus infection, remodels the ribosomes so that they become optimal for the viral mRNAs (containing poly-A leaders) translation but not for host mRNAs.; (Microbial infection) Contributes to the cap-independent internal ribosome entry site (IRES)-mediated translation by some RNA viruses.
-
基因功能參考文獻:
- RACK1 may alleviate the severity of acute pancreatitis. PMID: 30047498
- High RACK1 expression is associated with Hepatocellular Carcinoma. PMID: 28396991
- These results suggest that RACK1 promotes cell growth and invasion and inhibits the senescence and apoptosis in cervical cancer cells probably by affecting the p53 pathway. PMID: 29048616
- The present findings indicate that RACK1 silencing attenuates renal fibrosis by suppressing the activation of TGF-beta1/Smad3 signaling pathway in HK-2 cells. Thus, RACK1 may serve as a novel regulator of renal fibrosis. PMID: 29039466
- RACK1 associates with MOAP-1 via electrostatic associations similar to those observed between MOAP-1/RASSF1A and MOAP-1/TNF-R1. These events illustrate the complex nature of MOAP-1 regulation and characterizes the important role of the scaffolding protein, RACK1, in influencing MOAP-1 biology. PMID: 29470995
- data provided evidence that increased Rack1-mediated upregulation of PKC kinase activity may be responsible for the development of chemoresistance in T-ALL-derived cell line potentially by reducing FEM1b and Apaf-1 level. PMID: 27644318
- Data indicate that RACK1 increases interactions between Akt and MCM7 and promotes Akt-dependent MCM7 phosphorylation, which in turn increases MCM7 binding to chromatin and miniature chromosome maintenance (MCM) complex formation. PMID: 28465488
- the depletion of ribosomal RACK1 alters the capacity of the ribosome to translate specific mRNAs, resulting in selective translation of mRNAs of genes for non-canonical autophagy induction. PMID: 28518135
- This work has significantly advanced our understanding of the RACK1/PP2A complex and suggests a pro-carcinogenic role for the RACK1/PP2A interaction. This work suggests that approaches to target the RACK1/PP2A complex are a viable option to regulate PP2A activity and identifies a novel potential therapeutic target in the treatment of breast cancer. PMID: 27600565
- Our analysis shows that most of the interaction partners with putative regulatory functions have binding sites that are available on ribosomal RACK1, supporting the role of RACK1 as a ribosomal signaling hub. PMID: 28161490
- This supports PDE4D5 and RACK1 as potential regulators of cell adhesion, spreading and migration through the non-classical exchange protein activated by cyclic AMP (EPAC1)/Rap1 signalling route PMID: 28069443
- In this review we summarize this evidence and examine the mechanisms that underlie the contribution of RACK1 to the various stages of cell migration and invasion. PMID: 28336233
- Analysis of deletion constructs of SERBP1 showed that the C-terminal third of the SERBP1 protein, which contains one of its two substrate sites for protein arginine N-methyltransferase 1 (PRMT1), is necessary and sufficient for it to interact with RACK1 PMID: 28267599
- identification of regulatory elements in the promoter of RACK1 shed some light on its transcriptional modulation in physiological and pathological context.These and other informations suggest that a better understanding of RACK1 transcriptional regulation is essential to unravel its role. PMID: 28192162
- Data indicate that OR3A4 upregulation contributes to metastasis and tumorigenesis in gastric cancer by regulating the activation of PDLIM2, MACC1, NTN4, and GNB2L1. PMID: 26863570
- High RACK1 expression is associated with imatinib resistance in gastrointestinal stromal tumor. PMID: 26893362
- The upregulation of RACK1 can promote the proliferation and invasion of nasopharyngeal carcinoma by regulating the PI3K/Akt/FAK signal pathway. PMID: 27170279
- It has been found that the adaptor protein receptor for activated PKC kinase (RACK1) formed a complex with FGFR1 and PKM2, and activated the FGFR1/PKM2 signaling. The study shows that RACK1 forms a complex with FGFR1 and PKM2, and stimulates the growth and migration of squamous lung cancer cells. PMID: 28418088
- GNB2L1 and its O-GlcNAcylation regulated metastasis via modulating the translation of epithelial-mesenchymal transition-related proteins in the chemoresistance of gastric cancer. PMID: 28797110
- Our findings suggest that RACK1 promotes proliferation and radioresistance in ESCC cells by activating the AKT pathway, upregulating Bcl-2 expression and downregulating protein levels of Bim. Our study fills in gaps in the field of RACK1 and radiation resistance and may provide new possibilities for improving strategies of radiotherapy in esophageal cancer. PMID: 28760343
- ZNF598, RACK1, and 40S regulatory ubiquitylation plays a pivotal role in mammalian ribosome-associated quality control pathways. PMID: 28132843
- beta-actin is a new RACK1 binding partner and that the RACK1 and beta-actin association participate in the cAMP-dependent regulation of BDNF transcription PMID: 27505161
- RACK1 is required for efficient processing of the 18S rRNA 3'-end, which might be related to its role in translation initiation. PMID: 27530427
- the O-GlcNAcylation on GNB2L1 reversed its inhibition on gastric tumour metastasis via promoting its degradation. PMID: 27530921
- RACK1 could play an important role in the tumorigenesis of pancreatic ductal adenocarcinoma (PDAC) and serve as a potential therapeutical target in PDAC treatment. PMID: 27498047
- RACK1 could be a relevant target of endocrine disrupting chemicals, responding in opposite ways to androgen receptor agonists/antagonists, representing a bridge between the endocrine system and the innate immune system. PMID: 28412309
- results from this study suggest that TDP-43 represents a translational repressor not only for specific mRNAs but for overall translation and that its binding to polyribosomes through RACK1 may promote, under conditions inducingAmyotrophic Lateral Sclerosis pathogenesis, the formation of cytoplasmic inclusions. PMID: 28158562
- the scaffold protein RACK1 is a new ATG5-interacting protein and an important and novel component of the autophagy pathways. PMID: 27325703
- Study demonstrates that RACK1-dependent OSCC growth and survival may be related to the increased activation of the AKT/mTOR/S6 pathway. PMID: 27279145
- Rack1 regulated P-Glycoprotein activity, which was necessary for adriamycin-induced P-Glycoprotein - mediated phosphorylation of Anxa2 and Erk1/2. PMID: 27754360
- Knockdown of RACK elevated GC cell viabilities, whereas overexpression of RACK1 suppressed tumorigenesis of GC cells. NF-kB signaling was enhanced after RACK1 expression was inhibited, suggesting the negative regulation of the pro-oncogenic NF-kB activity by RACK1 might contribute to its tumor suppressor role in GC cells. PMID: 27453417
- RACK1 and beta-arrestin2 inhibit the dimerization of PDE4D5. PMID: 26257302
- The data indicated that TDP-43/p35 contributed to stress granule formation by promoting RACK1 expression. The study sheds new light on post-transcriptional regulation and apoptosis in osteoarthritis (OA) by RACK1, which is a potential treatment strategy for OA. PMID: 27890430
- Data show that receptor for activated C kinase 1 (RACK1) interacts with Dishevelled (Dvl) proteins and promotes their lysosomal degradation, and this effect is enhanced by autophagy induction. PMID: 27129200
- RACK1 interacts with CNTN2, and the effects of RACK1 on glioma cell growth and differentiation are mediated by CNTN2. PMID: 26718491
- The results suggest a mode of interaction that allows spectrin to attach to the N-terminal/C-terminal part of RACK through the inter-helical AB and BC loops and adopt a multitude of configurations in between the two limiting configurations. PMID: 26268370
- These findings suggest that RACK1 specifies the RANKL-stimulated activation of p38 MAPK by facilitating the association of MKK6 with TAK1 PMID: 26038599
- we found that RACK1 was overexpressed in three human HCC cell lines and in HCC samples. Activation of the IRE1/XBP1 signaling pathway plays a protective role when HCC cells encounter endoplasmic reticulum (ER) stress due to in vitro sorafenib treatment. PMID: 25901709
- RACK1 predicted poor prognosis in ESCC. PMID: 25719728
- RACK1 pseudosubstrate stimulates leukocytes and may be able to bypass immunosenescence in aging. PMID: 25779661
- RACK1 modulated expression of a series of miRNAs, including the miR-302 cluster. It modulated IL8 expression and tumor invasion through miRNA-302c. PMID: 26199092
- We identified five SNPs, especially RACK1 rs3756585T>G, as markers for prognosis of patients with surgically resected non-small cell lung cancer PMID: 25686824
- RACK1 is phosphorylated by WNK8. PMID: 25489024
- a novel role of Voltage-gated sodium channel alpha subunit type I (RACK1) in regulating SCN1A expression that participates in retinoic acid-induced neuronal differentiation of NT2 cells PMID: 24436055
- Data indicate that scaffold protein RACK1 plays a role in IGF-1-mediated protein-tyrosine phosphatase alpha (PTPalpha) tyrosine phosphorylation in MCF-7 Cells. PMID: 25694432
- The TRIM-FLMN protein TRIM45 directly interacts with RACK1 and negatively regulates PKC-mediated signaling pathway. PMID: 24681954
- RACK1 plays an antiapoptotic role during IBDV infection via interaction with VDAC2 and VP5. PMID: 25583988
- we showed that receptor for activated C kinase 1 (RACK1) was expressed in the hippocampus and temporal cortex of the mesial temporal lobe epilepsy human brain PMID: 25650116
- Elevated receptor for activated C kinase 1 expression is involved in intracellular Ca2+ influx and potentially associated with compromised regulatory T cell function in patients with asthma. PMID: 25048599
- In conclusion, the expression of hepatitis B virus core protein sensitized hepatocytes to TNF-alpha-induced apoptosis by disrupting the interaction between MKK7 and RACK1. PMID: 25428880
顯示更多
收起更多
-
亞細胞定位:Cell membrane; Peripheral membrane protein. Cytoplasm. Cytoplasm, perinuclear region. Nucleus. Perikaryon. Cell projection, dendrite. Cell projection, phagocytic cup.
-
蛋白家族:WD repeat G protein beta family, Ribosomal protein RACK1 subfamily
-
組織特異性:In the liver, expressed at higher levels in activated hepatic stellate cells than in hepatocytes or Kupffer cells. Up-regulated in hepatocellular carcinomas and in the adjacent non-tumor liver tissue.
-
數據庫鏈接:
Most popular with customers
-
-
YWHAB Recombinant Monoclonal Antibody
Applications: ELISA, WB, IHC, IF, FC
Species Reactivity: Human, Mouse, Rat
-
Phospho-YAP1 (S127) Recombinant Monoclonal Antibody
Applications: ELISA, WB, IHC
Species Reactivity: Human
-
-
-
-
-















