RABGGTA Antibody
-
中文名稱:RABGGTA兔多克隆抗體
-
貨號:CSB-PA852898LA01HU
-
規格:¥440
-
圖片:
-
Western Blot
Positive WB detected in: HEK293 whole cell lysate, Mouse kidney tissue
All lanes: RABGGTA antibody at 1.5μg/ml
Secondary
Goat polyclonal to rabbit IgG at 1/50000 dilution
Predicted band size: 66 kDa
Observed band size: 66 kDa -
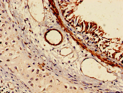
IHC image of CSB-PA852898LA01HU diluted at 1:150 and staining in paraffin-embedded human lung tissue performed on a Leica BondTM system. After dewaxing and hydration, antigen retrieval was mediated by high pressure in a citrate buffer (pH 6.0). Section was blocked with 10% normal goat serum 30min at RT. Then primary antibody (1% BSA) was incubated at 4°C overnight. The primary is detected by a biotinylated secondary antibody and visualized using an HRP conjugated SP system.
-
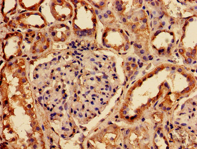
IHC image of CSB-PA852898LA01HU diluted at 1:150 and staining in paraffin-embedded human kidney tissue performed on a Leica BondTM system. After dewaxing and hydration, antigen retrieval was mediated by high pressure in a citrate buffer (pH 6.0). Section was blocked with 10% normal goat serum 30min at RT. Then primary antibody (1% BSA) was incubated at 4°C overnight. The primary is detected by a biotinylated secondary antibody and visualized using an HRP conjugated SP system.
-
Immunofluorescent analysis of HepG2 cells using CSB-PA852898LA01HU at dilution of 1:100 and Alexa Fluor 488-congugated AffiniPure Goat Anti-Rabbit IgG(H+L)
-
-
其他:
產品詳情
-
產品名稱:Rabbit anti-Homo sapiens (Human) RABGGTA Polyclonal antibody
-
Uniprot No.:
-
基因名:RABGGTA
-
別名:Geranylgeranyl transferase type 2 subunit alpha antibody; Geranylgeranyl transferase type II subunit alpha antibody; Geranylgeranyl transferase type-2 subunit alpha antibody; PGTA_HUMAN antibody; Protein prenyltransferase alpha subunit repeat containing 3 antibody; PTAR3 antibody; Rab geranyl geranyltransferase subunit alpha antibody; Rab geranyl-geranyltransferase subunit alpha antibody; Rab geranylgeranyltransferase alpha subunit antibody; Rab geranylgeranyltransferase subunit alpha antibody; Rab GG transferase alpha antibody; Rab GGTase alpha antibody; RABGGTA antibody
-
宿主:Rabbit
-
反應種屬:Human, Mouse
-
免疫原:Recombinant Human Geranylgeranyl transferase type-2 subunit alpha protein (1-200AA)
-
免疫原種屬:Homo sapiens (Human)
-
標記方式:Non-conjugated
本頁面中的產品,RABGGTA Antibody (CSB-PA852898LA01HU),的標記方式是Non-conjugated。對于RABGGTA Antibody,我們還提供其他標記。見下表:
-
克隆類型:Polyclonal
-
抗體亞型:IgG
-
純化方式:>95%, Protein G purified
-
濃度:It differs from different batches. Please contact us to confirm it.
-
保存緩沖液:PBS with 0.02% sodium azide and 50% glycerol, pH 7.3.
-
產品提供形式:Liquid
-
應用范圍:ELISA, WB, IHC, IF
-
推薦稀釋比:
Application Recommended Dilution WB 1:500-1:5000 IHC 1:20-1:200 IF 1:50-1:200 -
Protocols:
-
儲存條件:Upon receipt, store at -20°C or -80°C. Avoid repeated freeze.
-
貨期:Basically, we can dispatch the products out in 1-3 working days after receiving your orders. Delivery time maybe differs from different purchasing way or location, please kindly consult your local distributors for specific delivery time.
-
用途:For Research Use Only. Not for use in diagnostic or therapeutic procedures.
相關產品
靶點詳情
-
功能:Catalyzes the transfer of a geranylgeranyl moiety from geranylgeranyl diphosphate to both cysteines of Rab proteins with the C-terminal sequence -XXCC, -XCXC and -CCXX, such as RAB1A, RAB3A, RAB5A and RAB7A.
-
蛋白家族:Protein prenyltransferase subunit alpha family
-
數據庫鏈接:
Most popular with customers
-
-
YWHAB Recombinant Monoclonal Antibody
Applications: ELISA, WB, IHC, IF, FC
Species Reactivity: Human, Mouse, Rat
-
Phospho-YAP1 (S127) Recombinant Monoclonal Antibody
Applications: ELISA, WB, IHC
Species Reactivity: Human
-
-
-
-
-















