RAB6A Antibody
-
中文名稱:RAB6A兔多克隆抗體
-
貨號:CSB-PA443132
-
規格:¥1100
-
圖片:
-
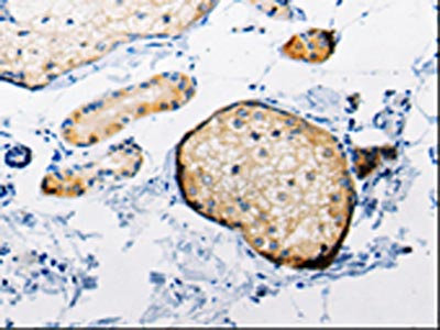
The image on the left is immunohistochemistry of paraffin-embedded Human skin tissue using CSB-PA443132(RAB6A Antibody) at dilution 1/25, on the right is treated with synthetic peptide. (Original magnification: ×200)
-
Gel: 10%SDS-PAGE, Lysate: 30 μg, Lane 1-6: 293T cells, mouse brain tissue, A549 cells, Hela cells, A172 cells, HT29 cells, Primary antibody: CSB-PA443132(RAB6A Antibody) at dilution 1/650, Secondary antibody: Goat anti rabbit IgG at 1/8000 dilution, Exposure time: 1 minute
-
-
其他:
產品詳情
-
Uniprot No.:
-
基因名:RAB6A
-
別名:GTP binding protein RAB6A' antibody; GTP binding protein RAB6B antibody; Oncogene RAB6 antibody; Rab 6 antibody; Rab GTPase antibody; Rab-6 antibody; RAB6 antibody; RAB6 member RAS oncogene family antibody; RAB6A antibody; RAB6A member RAS oncogene family antibody; Rab6A variant 3 antibody; RAB6A' antibody; RAB6A_HUMAN antibody; RAB6B antibody; Ras related protein Rab 6A antibody; Ras-related protein Rab-6A antibody; RCO4 3 antibody
-
宿主:Rabbit
-
反應種屬:Human,Mouse,Rat
-
免疫原:Synthetic peptide of Human RAB6A
-
免疫原種屬:Homo sapiens (Human)
-
標記方式:Non-conjugated
-
抗體亞型:IgG
-
純化方式:Antigen affinity purification
-
濃度:It differs from different batches. Please contact us to confirm it.
-
保存緩沖液:-20°C, pH7.4 PBS, 0.05% NaN3, 40% Glycerol
-
產品提供形式:Liquid
-
應用范圍:ELISA,WB,IHC
-
推薦稀釋比:
Application Recommended Dilution ELISA 1:2000-1:10000 WB 1:500-1:2000 IHC 1:25-1:100 -
Protocols:
-
儲存條件:Upon receipt, store at -20°C or -80°C. Avoid repeated freeze.
-
貨期:Basically, we can dispatch the products out in 1-3 working days after receiving your orders. Delivery time maybe differs from different purchasing way or location, please kindly consult your local distributors for specific delivery time.
-
用途:For Research Use Only. Not for use in diagnostic or therapeutic procedures.
相關產品
靶點詳情
-
功能:Protein transport. Regulator of membrane traffic from the Golgi apparatus towards the endoplasmic reticulum (ER). Has a low GTPase activity. Involved in COPI-independent retrograde transport from the Golgi to the ER.
-
基因功能參考文獻:
- Ectopic expression of an N-terminal-truncated ARHGEF10 mutant led to the generation of large vesicle-like structures containing both Rab6 and Rab8. PMID: 27550519
- Rab6A binding to KIF1C's motor domain represents an entirely new mode of regulation for a kinesin motor, and likely has important consequences for KIF1C's cellular functions. PMID: 25821985
- GORAB missense mutation disrupt RAB6 protein binding in genetic skin diseases. PMID: 26000619
- several analyses of vesicular transport demonstrated that Rab6A and BICD2 play crucial roles in Golgi tubule fusion with the endoplasmic reticulum (ER) in brefeldin A (BFA)-treated cells PMID: 25962623
- Data suggest that miR-5100 promotes tumor growth by facilitating the G1/S transition and targeting Rab6. PMID: 25754817
- Data indicate that myosin Va interacted with multiple new Rab subfamilies including Rab6, Rab14 and Rab39B. PMID: 24006491
- Mint1 826 bridges APP to the small GTPase PMID: 23737971
- The presence of an active pool of Rab6 within host cells early during infection is required to support efficient intracellular growth of L. pneumophila. PMID: 23569112
- Ric1-Rgp1 complex is a guanine nucleotide exchange factor for the late Golgi Rab6A GTPase and an effector of the medial Golgi Rab33B GTPase. PMID: 23091056
- GTP-bound form of Rab6 promotes retrograde trafficking of cav-2 from the Golgi to ER PMID: 22607032
- the crystal structure of the human Rab6A'(Q72L) mutant form at 1.9A resolution is reported. PMID: 22750005
- Rab6 modulates the unfolded protein response (UPR), increased levels inhibit whereas decreased levels augment UPR induction. PMID: 22124028
- Electron tomography reveals Rab6 is essential to the trafficking of trans-Golgi clathrin and COPI-coated vesicles and the maintenance of Golgi cisternal number PMID: 22335553
- Rab6 is required for Rab8A association with exocytotic vesicles. PMID: 21596566
- In contrast to wild-type R6IP1-Rab6 crystals, which took several weeks to grow to full size, the engineered R6IP1 (RPdel)-Rab6 crystals could be grown in a matter of days PMID: 21543860
- The authors found that the small GTPase Rab6 also interacts indirectly with cytomegalovirus pp150 through its interaction with Bicaudal D1. PMID: 21411515
- Data show that Rab6, a Golgi-associated Rab, forms a complex with myosin II, contributes to its localization at the Golgi complex and, unexpectedly, controls the fission of Rab6 vesicles. PMID: 20562865
- recombinant antibodies specific to the GTP-bound conformation of Rab6 were generated and used to locate Rab6; Rab6 was in its GTP-bound conformation on the Golgi apparatus and transport intermediates PMID: 12738866
- Rab6A and Rab6A' regulate microtubule-dependent recycling at the trans-Golgi network PMID: 15483056
- 10 genes were down-regulated following treatment of the T-ALL cells with 0.15 and 1.5 microg/mL of metal ores at 72 h. GTP binding activity, RaB small monomeric GTPase activity, protein transporter activity. PMID: 15747776
- Results show the crystal structure of the GTPase Rab6A in the GTP bound form. PMID: 16332443
- Rab6A' likely regulates the dynamics of the dynein/dynactin complex at the kinetochores and consequently the inactivation of the Mad2-spindle checkpoint. PMID: 16395330
- Results show that Rab6A and Rab6A' perform different functions within the cell and suggests a novel role for Rab6A' as the major Rab6 isoform regulating previously described Rab6-dependent transport pathways. PMID: 16536738
- role of the Rab6 isoforms in retrograde transport of ricin using both oligo- and vector-based RNAi assays PMID: 16683916
- a highly significant correlation between the Rab6 and the UPR marker BiP in Alzheimer disease brains. PMID: 17573808
- These data demonstrate that although Rab6 is not essential for secretion, it controls the organization of exocytosis within the cellular space. PMID: 17681140
- Rab6 regulates distinct Golgi trafficking pathways involving two separate protein complexes: ZW10/RINT-1 and COG. PMID: 17699596
- DYNLRB1 specifically interacts with all three Rab6 isoforms and co-localises at the Golgi. PMID: 18044744
- Data show that iPLA(1)gamma is a novel membrane transport factor that contributes to a specific Golgi-to-ER retrograde pathway distinct from presently characterized COPI- and Rab6-dependent pathways. PMID: 19632984
- Study demonstrates that Golgi recruitment of endogenous GCC185 does not involve Rab6A/A' and Arl1. PMID: 19703403
顯示更多
收起更多
-
亞細胞定位:Golgi apparatus membrane; Lipid-anchor.; [Isoform 1]: Golgi apparatus membrane; Lipid-anchor.; [Isoform 2]: Golgi apparatus membrane; Lipid-anchor.
-
蛋白家族:Small GTPase superfamily, Rab family
-
組織特異性:Ubiquitous.
-
數據庫鏈接:
Most popular with customers
-
-
Phospho-YAP1 (S127) Recombinant Monoclonal Antibody
Applications: ELISA, WB, IHC
Species Reactivity: Human
-
-
-
-
-
-
VDAC1 Recombinant Monoclonal Antibody
Applications: ELISA, WB, IHC
Species Reactivity: Human, Mouse, Rat















