QARS Antibody
-
中文名稱:QARS兔多克隆抗體
-
貨號:CSB-PA019132DSR1HU
-
規格:¥440
-
圖片:
-
Western blot
All lanes: Glutamine--tRNA ligase antibody at 2μg/ml
Lane 1: PC-3 whole cell lysate
Lane 2: Hela whole cell lysate
Secondary
Goat polyclonal to rabbit IgG at 1/10000 dilution
Predicted band size: 88, 87 kDa
Observed band size: 88 kDa -
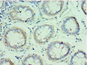
Immunohistochemistry of paraffin-embedded human colon tissue using CSB-PA019132DSR1HU at dilution of 1:100
-
Immunohistochemistry of paraffin-embedded human colon cancer using CSB-PA019132DSR1HU at dilution of 1:100
-
Immunoprecipitating QARS in Hela whole cell lysate
Lane 1: Rabbit control IgG instead of (1μg) instead of CSB-PA019132DSR1HU in Hela whole cell lysate. For western blotting, a HRP-conjugated anti-rabbit IgG, specific to the non-reduced form of IgG was used as the Secondary antibody (1/50000)
Lane 2: CSB-PA019132DSR1HU (4μg) + Hela whole cell lysate (500μg)
Lane 3: Hela whole cell lysate (20μg)
-
-
其他:
產品詳情
-
產品名稱:Rabbit anti-Homo sapiens (Human) QARS Polyclonal antibody
-
Uniprot No.:
-
基因名:QARS
-
別名:GlnRS antibody; Glutamine tRNA ligase antibody; Glutamine tRNA synthetase antibody; Glutamine--tRNA ligase antibody; Glutaminyl tRNA ligase antibody; Glutaminyl tRNA synthetase antibody; Glutaminyl-tRNA synthetase antibody; PRO2195 antibody; QARS antibody; SYQ_HUMAN antibody
-
宿主:Rabbit
-
反應種屬:Human
-
免疫原:Recombinant Human Glutamine--tRNA ligase protein (1-250AA)
-
免疫原種屬:Homo sapiens (Human)
-
標記方式:Non-conjugated
-
克隆類型:Polyclonal
-
抗體亞型:IgG
-
純化方式:Antigen Affinity Purified
-
濃度:It differs from different batches. Please contact us to confirm it.
-
保存緩沖液:PBS with 0.02% sodium azide, 50% glycerol, pH7.3.
-
產品提供形式:Liquid
-
應用范圍:ELISA, WB, IHC, IP
-
推薦稀釋比:
Application Recommended Dilution WB 1:1000-1:5000 IHC 1:20-1:200 IP 1:200-1:2000 -
Protocols:
-
儲存條件:Upon receipt, store at -20°C or -80°C. Avoid repeated freeze.
-
貨期:Basically, we can dispatch the products out in 1-3 working days after receiving your orders. Delivery time maybe differs from different purchasing way or location, please kindly consult your local distributors for specific delivery time.
-
用途:For Research Use Only. Not for use in diagnostic or therapeutic procedures.
相關產品
靶點詳情
-
功能:Glutamine--tRNA ligase. Plays a critical role in brain development.
-
基因功能參考文獻:
- patient's fibroblasts demonstrated markedly reduced QARS amino acylation activity in vitro PMID: 28620870
- hcmv-miR-US4-1 may involve in promoting cell apoptosis and benefiting discharge of infectious virus particles via down-regulation of QARS in HCMV-infected HELF cells. PMID: 27240979
- Pathological mutations mapping in the N-terminal domain alter the domain structure, and decrease catalytic activity and stability of GlnRS, whereas missense mutations in the catalytic domain induce misfolding of the enzyme. PMID: 26869582
- Data indicate compound heterozygous mutations [c.169T>C (p.Tyr57His) and c.1485dup (p.Lys496*)] in QARS, which encodes glutaminyl-tRNA synthetase, in two siblings with early-onset epileptic encephalopathy (EOEE). PMID: 25471517
- interactions between the N-terminal domains of ArgRS and AIMP1 are important for the catalytic and noncatalytic activities of ArgRS and for the assembly of the higher-order MSC protein complex with ArgRS-GlnRS-AIMP1 PMID: 25288775
- results highlight the importance of QARS during brain development and that epilepsy due to impairment of QARS activity is unusually severe in comparison to other aminoacyl-tRNA synthetase disorders PMID: 24656866
- Data indicate that glutaminyl-tRNA synthetase splice variant GlnRSDeltaiABD was present in exosomes extruded from Jurkat cells and functional in protein synthesis. PMID: 24003230
顯示更多
收起更多
-
相關疾病:Microcephaly, progressive, with seizures and cerebral and cerebellar atrophy (MSCCA)
-
亞細胞定位:Cytoplasm, cytosol. Cytoplasm.
-
蛋白家族:Class-I aminoacyl-tRNA synthetase family
-
組織特異性:Highly expressed in fetal cerebral cortex, particularly in the ventricular zone, inner subventricular zone, outer subventricular zone, and cortical plate.
-
數據庫鏈接:
Most popular with customers
-
-
YWHAB Recombinant Monoclonal Antibody
Applications: ELISA, WB, IHC, IF, FC
Species Reactivity: Human, Mouse, Rat
-
Phospho-YAP1 (S127) Recombinant Monoclonal Antibody
Applications: ELISA, WB, IHC
Species Reactivity: Human
-
-
-
-
-















