Plet1 Antibody
-
中文名稱:Plet1兔多克隆抗體
-
貨號:CSB-PA851843HA01MO
-
規格:¥440
-
圖片:
-
Western blot
All lanes: Plet1 antibody at 5µg/ml
Lane 1: L929 whole cell lysate
Lane 2: U251 whole cell lysate
Lane 3: Mouse muscle tissue
Secondary
Goat polyclonal to rabbit IgG at 1/10000 dilution
Predicted band size: 26, 21 kDa
Observed band size: 26 kDa -
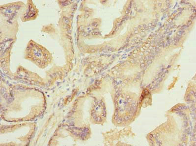
Immunohistochemistry of paraffin-embedded human prostate cancer using CSB-PA851843HA01MO at dilution of 1:100
-
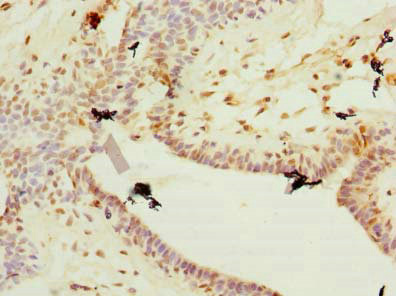
Immunohistochemistry of paraffin-embedded human breast cancer using CSB-PA851843HA01MO at dilution of 1:100
-
-
其他:
產品詳情
-
產品描述:
To generate the Plet1 polyclonal antibody, the recombinant mouse Plet1 protein (28-218aa) was administered to a rabbit to induce an immune response. The rabbit blood was collected and purified using protein G affinity chromatography, getting the Plet1 polyclonal antibody. The purity of the Plet1 antibody obtained through this process is over 95%, which ensures the reliability and accuracy of the results.
This high-purity Plet1 antibody has demonstrated reactivity with both human and mouse samples and has been thoroughly validated for use in various applications, including ELISA, WB, and IHC. These applications enable the detection of the presence and quantity of Plet1 protein, the visualization of its distribution and localization, as well as its identification.
-
產品名稱:Rabbit anti-Mus musculus (Mouse) Plet1 Polyclonal antibody
-
Uniprot No.:
-
基因名:Plet1
-
別名:Plet1 antibody; Placenta-expressed transcript 1 protein antibody; Antigen mAgK114 antibody
-
宿主:Rabbit
-
反應種屬:Mouse, Human
-
免疫原:Recombinant Mouse Placenta-expressed transcript 1 protein (28-218AA)
-
免疫原種屬:Mus musculus (Mouse)
-
標記方式:Non-conjugated
本頁面中的產品,Plet1 Antibody (CSB-PA851843HA01MO),的標記方式是Non-conjugated。對于Plet1 Antibody,我們還提供其他標記。見下表:
-
克隆類型:Polyclonal
-
抗體亞型:IgG
-
純化方式:>95%, Protein G purified
-
濃度:It differs from different batches. Please contact us to confirm it.
-
保存緩沖液:Preservative: 0.03% Proclin 300
Constituents: 50% Glycerol, 0.01M PBS, PH 7.4 -
產品提供形式:Liquid
-
應用范圍:ELISA, WB, IHC
-
推薦稀釋比:
Application Recommended Dilution WB 1:500-1:2000 IHC 1:20-1:200 -
Protocols:
-
儲存條件:Upon receipt, store at -20°C or -80°C. Avoid repeated freeze.
-
貨期:Basically, we can dispatch the products out in 1-3 working days after receiving your orders. Delivery time maybe differs from different purchasing way or location, please kindly consult your local distributors for specific delivery time.
-
用途:For Research Use Only. Not for use in diagnostic or therapeutic procedures.
相關產品
靶點詳情
-
功能:Modulates leading keratinocyte migration and cellular adhesion to matrix proteins during a wound-healing response and promotes wound repair. May play a role during trichilemmal differentiation of the hair follicle.
-
基因功能參考文獻:
- The endogenous dynamics of Plet1 expression establish important patterning cues within the trophoblast compartment by promoting differentiation towards the syncytiotrophoblast or giant cell pathway in Plet1-low and Plet1-high cells, respectively. PMID: 27121762
- these results show that IL-17A-induced PLET1 expression contributes to tissue repair and colon tumorigenesis PMID: 29070673
- The restricted localization in both differentiated outer root sheath and companion layer cells contacting the hair fiber and epidermal wounds suggests a role for the Plet-1 protein in regulating the interaction of keratinocytes with inert tissues. PMID: 20130590
- Plet-1 will thus provide an invaluable tool for genetic analysis of the lineage relationships and molecular mechanisms operating in the development, homeostasis, and injury in several organ/tissue systems PMID: 18195351
-
亞細胞定位:Apical cell membrane; Lipid-anchor, GPI-anchor. Note=Localized at the apical membrane of the most differentiated keratinocytes of the outer root sheath (ORS), clustered mainly in planar regions of the plasma membrane at the base of microvilli.
-
組織特異性:Present in hair follicle cells and sebaceous gland of skin, ciliated epithelial cells of trachea and bronchial tube, striated portion of submandibular gland, distal convoluted tubule cells of kidney, ciliated epithelial cells of oviduct, medulla of adrena
-
數據庫鏈接:
Most popular with customers
-
-
YWHAB Recombinant Monoclonal Antibody
Applications: ELISA, WB, IHC, IF, FC
Species Reactivity: Human, Mouse, Rat
-
Phospho-YAP1 (S127) Recombinant Monoclonal Antibody
Applications: ELISA, WB, IHC
Species Reactivity: Human
-
-
-
-
-















