Phospho-RELA (Ser276) Antibody
-
中文名稱:磷酸化-RELA (Ser276)兔多克隆抗體
-
貨號:CSB-PA194621
-
規格:¥2454
-
圖片:
-
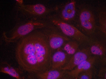
Immunofluorescence staining of methanol-fixed Hela cells using NFκB-p65 (Phospho-Ser276) Antibody.
-
Western blot analysis of extract from Hela cells using NF-κB p65 (phospho-Ser276) antibody. Lane 1: The antibody is not preincubated with blocking peptides. Lane 2: The antibody is preincubated with non- phospho peptide blocking peptides. Lane 3: The antibody is preincubated with phospho peptide blocking peptides.
-
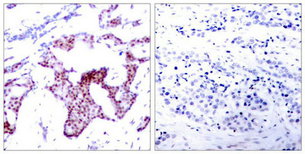
Immunohistochemical analysis of paraffin-embedded human breast carcinoma tissue using NFκB-p65 (Phospho-Ser276) Antibody (left) or the same antibody preincubated with blocking peptide (right).
-
Immunohistochemical analysis of paraffin- embedded human breast carcinoma tissue using NFκB-p65 (Phospho-Ser276) antibody.
-
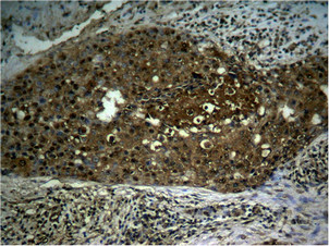
Immunohistochemical analysis of paraffin- embedded human lung carcinoma tissue using NFκB-p65 (Phospho-Ser276) antibody.
-
-
其他:
產品詳情
-
產品名稱:Rabbit anti-Homo sapiens (Human) RELA Polyclonal antibody
-
Uniprot No.:
-
基因名:
-
宿主:Rabbit
-
反應種屬:Human,Mouse,Rat
-
免疫原:Peptide sequence around phosphorylation site of serine 276(R-P-S(p)-D-R) derived from Human NFκB-p65.
-
免疫原種屬:Homo sapiens (Human)
-
克隆類型:Polyclonal
-
純化方式:Antibodies were produced by immunizing rabbits with synthetic phosphopeptide and KLH conjugates. Antibodies were purified by affinity-chromatography using epitope-specific phosphopeptide. Non-phospho specific antibodies were removed by chromatogramphy u
-
濃度:It differs from different batches. Please contact us to confirm it.
-
產品提供形式:Liquid
-
應用范圍:ELISA,WB,IHC,IF
-
推薦稀釋比:
Application Recommended Dilution WB 1:500-1:1000 IHC 1:50-1:100 IF 1:100-1:200 -
Protocols:
-
儲存條件:Upon receipt, store at -20°C or -80°C. Avoid repeated freeze.
-
貨期:Basically, we can dispatch the products out in 1-3 working days after receiving your orders. Delivery time maybe differs from different purchasing way or location, please kindly consult your local distributors for specific delivery time.
-
用途:For Research Use Only. Not for use in diagnostic or therapeutic procedures.
相關產品
靶點詳情
-
功能:NF-kappa-B is a pleiotropic transcription factor present in almost all cell types and is the endpoint of a series of signal transduction events that are initiated by a vast array of stimuli related to many biological processes such as inflammation, immunity, differentiation, cell growth, tumorigenesis and apoptosis. NF-kappa-B is a homo- or heterodimeric complex formed by the Rel-like domain-containing proteins RELA/p65, RELB, NFKB1/p105, NFKB1/p50, REL and NFKB2/p52. The heterodimeric RELA-NFKB1 complex appears to be most abundant one. The dimers bind at kappa-B sites in the DNA of their target genes and the individual dimers have distinct preferences for different kappa-B sites that they can bind with distinguishable affinity and specificity. Different dimer combinations act as transcriptional activators or repressors, respectively. The NF-kappa-B heterodimeric RELA-NFKB1 and RELA-REL complexes, for instance, function as transcriptional activators. NF-kappa-B is controlled by various mechanisms of post-translational modification and subcellular compartmentalization as well as by interactions with other cofactors or corepressors. NF-kappa-B complexes are held in the cytoplasm in an inactive state complexed with members of the NF-kappa-B inhibitor (I-kappa-B) family. In a conventional activation pathway, I-kappa-B is phosphorylated by I-kappa-B kinases (IKKs) in response to different activators, subsequently degraded thus liberating the active NF-kappa-B complex which translocates to the nucleus. The inhibitory effect of I-kappa-B on NF-kappa-B through retention in the cytoplasm is exerted primarily through the interaction with RELA. RELA shows a weak DNA-binding site which could contribute directly to DNA binding in the NF-kappa-B complex. Beside its activity as a direct transcriptional activator, it is also able to modulate promoters accessibility to transcription factors and thereby indirectly regulate gene expression. Associates with chromatin at the NF-kappa-B promoter region via association with DDX1. Essential for cytokine gene expression in T-cells. The NF-kappa-B homodimeric RELA-RELA complex appears to be involved in invasin-mediated activation of IL-8 expression. Key transcription factor regulating the IFN response during SARS-CoV-2 infection.
-
基因功能參考文獻:
- These results suggest that resveratrol induces chondrosarcoma cell apoptosis via a SIRT1-activated NF-kappaB (p65 subunit of NF-kappaB complex)deacetylation and exhibits anti-chondrosarcoma activity in vivo. PMID: 28600541
- Enhanced IL-1beta production by the v65Stop mutant is due in part to induction of DNA binding and the transcriptional activity of NF-kappaB. PMID: 30332797
- Study utilizing integrative analysis of transcriptomic, metabolomic, and clinical data propose a model of GOT2 transcriptional regulation, in which the cooperative phosphorylation of STAT3 and direct joint binding of STAT3 and p65/NF-kappaB to the proximal GOT2 promoter are important. PMID: 29666362
- These results delineate a novel role of MKRN2 in negatively regulating NF-kappaB-mediated inflammatory responses, cooperatively with PDLIM2. PMID: 28378844
- compared with patients with NF-kappaB-94 ins/del ATTG ins/ins and ins/del, multiple myeloma patients with del/del had the highest myeloma cell ratio PMID: 30211233
- The riboflavin transporter-3 (SLC52A3) 5'-flanking regions contain NF-kappaB p65/Rel-B-binding sites, which are crucial for mediating SLC52A3 transcriptional activity in esophageal squamous cell carcinoma (ESCC) cells. PMID: 29428966
- Akirin-2 can be a novel biomarker in imatinib resistance. Targeting Akirin-2, NFkappaB and beta-catenin genes may provide an opportunity to overcome imatinib resistance in CML. PMID: 29945498
- NF-kappaB-94ins/del ATTG genotype might serve as a novel biomarker and potential target for immune thrombocytopenia PMID: 30140708
- our results suggest that melatonin may exert anti-tumor activities against thyroid carcinoma by inhibition of p65 phosphorylation and induction of reactive oxygen species. Radio-sensitization by melatonin may have clinical benefits in thyroid cancer. PMID: 29525603
- The effect of lutein antiproliferation was mediated by activation of the NrF2/ARE pathway, and blocking of the NF-kappaB signaling pathway..lutein treatment decreased NF-kappaB signaling pathway related NF-kappaB p65 protein expression. PMID: 29336610
- Furthermore, the present study suggested that SNHG15 may be involved in the nuclear factorkappaB signaling pathway, induce the epithelialmesenchymal transition process, and promote renal cell carcinoma invasion and migration. PMID: 29750422
- This revealed that the overexpression of p65 partially reversed SOX4 downregulation-induced apoptosis. In conclusion, our results demonstrated that inhibition of SOX4 markedly induced melanoma cell apoptosis via downregulation of the NF-kappaB signaling pathway, which thus may be a novel approach for the treatment of melanoma. PMID: 29767266
- downregulation of HAGLROS may alleviate lipopolysaccharide-induced inflammatory injury in WI-38cells via modulating miR-100/NF-kappaB axis. PMID: 29673591
- our observations suggest that the RelA-activation domain and multiple cofactor proteins function cooperatively to prime the RelA-DNA binding domain and stabilize the RelA:DNA complex in cells PMID: 29708732
- Results show that MKL1 influences the chromatin structure of pro-inflammatory genes. Specifically, MKL1 defined histone H3K4 trimethylation landscape for NF-kappaB dependent transcription. PMID: 28298643
- Studied association of SIRT2 and p53/NF-kB p65 signal pathways in preventing high glucose-induced vascular endothelial cell injury. Results demonstrated that SIRT2 overexpression is associated with deacetylation of p53 and NF-kB p65, which inhibits the high glucose induced apoptosis and vascular endothelial cell inflammation response. PMID: 29189925
- In conclusion, the spindle cell morphology should be induced by RelA activation (p-RelA S468) by IKKepsilon upregulation in human herpesvirus 8 vFLIP-expressing EA hy926 cells. PMID: 30029010
- High P65 expression is associated with doxorubicin-resistance in breast cancer. PMID: 29181822
- reduced miR-138 expression enhanced the destruction of the cartilage tissues among osteoarthritis patients, mainly through targeting p65. PMID: 28537665
- the present result indicated that vascular smooth proliferation is regulated by activation of the NF-kappaB p65/miR17/RB pathway. As NF-kappaB p65 signalling is activated in and is a master regulator of the inflammatory response, the present findings may provide a mechanism for the excessive proliferation of VSMCs under inflammation during vascular disorders and may identify novel targets for the treatment of vascular ... PMID: 29115381
- the results of real-time PCR and western blotting revealed that Huaier extract decreased p65 and c-Met expression and increased IkappaBalpha expression, while paclitaxel increased p65 expression and reduced IkappaBalpha and c-Met expression.The molecular mechanisms may be involved in the inhibition of the NF-kappaB pathway and c-Met expression PMID: 29039556
- ghrelin effectively suppressed TNF-alpha-induced inflammatory factors' (including ICAM-1, VCAM-1, MCP-1, and IL-1beta) expression through inhibiting AMPK phosphorylation and p65 expression both in HUVEC and THP-1. PMID: 28653238
- these data indicated that the MALAT1/miR146a/NF-kappaB pathway exerted key functions in LPS-induced acute kidney injury (AKI), and provided novel insights into the mechanisms of this therapeutic candidate for the treatment of the disease. PMID: 29115409
- Cytosolic AGR2 contributed to cell metastasis ascribed to its stabilizing effect on p65 protein, which subsequently activated the NF-kappaB and facilitated epithelial to mesenchymal transition (EMT). PMID: 29410027
- we provide evidence that S100A7 also inhibits YAP expression and activity through p65/NFkappaB-mediated repression of DeltaNp63, and S100A7 represses drug-induced apoptosis via inhibition of YAP. PMID: 28923839
- this study shows the age-related reductions in serum IL-12 in healthy nonobese subjects PMID: 28762199
- NF-kappaB p65 potentiated tumor growth via suppressing a novel target LPTS PMID: 29017500
- p65 siRNA retroviruses could suppress the activation of NFkappaB signal pathway. PMID: 28990087
- miR-215 facilitated HCV replication via inactivation of the NF-kappaB pathway by inhibiting TRIM22, providing a novel potential target for HCV infection. PMID: 29749134
- acute inflammation after injury initiates important regenerative signals in part through NF-kappaB-mediated signaling that activates neural stem cells to reconstitute the olfactory epithelium; loss of RelA in the regenerating neuroepithelium perturbs the homeostasis between proliferation and apoptosis PMID: 28696292
- PAK5-mediated phosphorylation and nuclear translocation of NF-kappaB-p65 promotes breast cancer cell proliferation in vitro and in vivo PMID: 29041983
- While 3-methyladenine rescues cell damage. Our data thus suggest that I/R promotes NF-kappaB p65 activity mediated Beclin 1-mediated autophagic flux, thereby exacerbating myocardial injury. PMID: 27857190
- Taken together, these data indicate that up-regulation of ANXA4 leads to activation of the NF-kappaB pathway and its target genes in a feedback regulatory mechanism via the p65 subunit, resulting in tumor growth in GBC. PMID: 27491820
- p65 is significantly upregulated in BBN-induced high invasive BCs and human BC cell lines. Our studies have also uncovered a new PTEN/FBW7/RhoGDIalpha axis, which is responsible for the oncogenic role of RelA p65 in promotion of human BC cell migration. PMID: 28772241
- p65 O-GlcNAcylation promotes lung metastasis of cervical cancer cells by activating CXCR4 expression. PMID: 28681591
- We showed that pristimerin suppressed tumor necrosis factor a (TNFalpha)-induced IkappaBa phosphorylation, translocation of p65, and expression of NFkappaB-dependent genes. Moreover, pristimerin decreased cell viability and clonogenic ability of Uveal melanoma (UM)cells. A synergistic effect was observed in the treatment of pristimerin combined with vinblastine, a frontline therapeutic agent, in UM. PMID: 28766683
- This study establishes p65 as a novel target of IMP3 in increasing glioma cell migration and underscores the significance of IMP3-p65 feedback loop for therapeutic targeting in GBM. PMID: 28465487
- High NF-kappa-B p65 expression is associated with resistance to doxorubicin in breast cancer. PMID: 27878697
- in colon cancer cell migration, activin utilizes NFkB to induce MDM2 activity leading to the degradation of p21 in a PI3K dependent mechanism PMID: 28418896
- Studied melatonin's role in cell senescence, autophagy, sirtuin 1 expression and acetylation of RelA in hydrogen peroxide treated SH-SY5Y cells. PMID: 28295567
- The data demonstrate that miR-125b regulates nasopharyngeal carcinoma cell proliferation and apoptosis by targeting A20/NF-kappaB signaling pathway, and miR-125b acts as oncogene, whereas A20 functions as tumor suppressor. PMID: 28569771
- NF-kappaB physically interacts with FOXM1 and promotes transcription of FOXM1 gene. NF-kappaB directly binds FOXM1 gene promoter. Silencing p65 attenuates FOXM1 and beta-catenin expression. NF-kappaB activation is required for nuclear translocation of FOXM1 and beta-catenin. FOXM1 and beta-catenin positively regulate NF-kappaB.Knockdown of beta-catenin and FOXM1 downregulates p65 protein and NF-kappaB-dependent reporte... PMID: 27492973
- PTX treatment of THP-1 macrophages for 1 h induced marked intranuclear translocation of NF-kappaB p65. Low-dose PTX inhibited the M2 phenotype and induced the M1 phenotype via TLR4 signaling, suggesting that low-dose PTX can alter the macrophage phenotype, whereas clinical doses can kill cancer cells. These results suggest that the anticancer effects of PTX are due both to its cytotoxic and immunomodulatory activities PMID: 28440494
- Sphk1 induced NF-kappaB-p65 activation, increased expression of cyclin D1, shortened the cell division cycle, and thus promoted proliferation of breast epithelial cells. PMID: 27811358
- expression of NF-kappaB/p65 has prognostic value in high risk non-germinal center B-cell-like subtype diffuse large B-cell lymphoma. PMID: 28039454
- NFKB1 -94insertion/deletion ATTG polymorphism associated with decreased risks for lung cancer, nasopharyngeal carcinoma, prostate cancer, ovarian cancer, and oral squamous cell carcinoma. PMID: 28039461
- PU.1 supports TRAIL-induced cell death by inhibiting RelA-mediated cell survival and inducing DR5 expression. PMID: 28362429
- EGF and TNFalpha cooperatively promoted the motility of HCC cells mainly through NF-kappaB/p65 mediated synergistic induction of FN in vitro. These findings highlight the crosstalk between EGF and TNFalpha in promoting HCC, and provide potential targets for HCC prevention and treatment. PMID: 28844984
- The Brd4 acetyllysine-binding protein of RelA is involved in activation of polyomavirus JC. PMID: 27007123
- MUC1-C activates the NF-kappaB p65 pathway, promotes occupancy of the MUC1-C/NF-kappaB complex on the DNMT1 promoter and drives DNMT1 transcription PMID: 27259275
顯示更多
收起更多
-
相關疾病:A chromosomal aberration involving C11orf95 is found in more than two-thirds of supratentorial ependymomas. Translocation with C11orf95 produces a C11orf95-RELA fusion protein. C11orf95-RELA translocations are potent oncogenes that probably transform neural stem cells by driving an aberrant NF-kappa-B transcription program (PubMed:24553141).
-
亞細胞定位:Nucleus. Cytoplasm.
-
數據庫鏈接:
Most popular with customers
-
-
YWHAB Recombinant Monoclonal Antibody
Applications: ELISA, WB, IHC, IF, FC
Species Reactivity: Human, Mouse, Rat
-
Phospho-YAP1 (S127) Recombinant Monoclonal Antibody
Applications: ELISA, WB, IHC
Species Reactivity: Human
-
-
-
-
-















