Phospho-PER2 (Ser662) Antibody
-
中文名稱:磷酸化-PER2 (Ser662)兔多克隆抗體
-
貨號:CSB-PA217277
-
規格:¥2454
-
圖片:
-
Western blot analysis of extracts from 3T3 cells, treated with PMA (125ng/ml, 30mins), using Period Circadian Protein 2 (Phospho-Ser662) antibody. The lane on the right is treated with the synthesized peptide.
-
Western blot analysis of extracts from 3T3lbnotHeLa and K562 cells, using Period Circadian Protein 2 (Phospho-Ser662) Antibody. The lane on the left is treated with synthesized peptide.
-
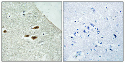
Immunohistochemistry analysis of paraffin-embedded human brain tissue using Period Circadian Protein 2 (Phospho-Ser662) antibody. The picture on the right is treated with the synthesized peptide.
-
-
其他:
產品詳情
-
產品名稱:Rabbit anti-Homo sapiens (Human) PER2 Polyclonal antibody
-
Uniprot No.:
-
基因名:PER2
-
宿主:Rabbit
-
反應種屬:Human,Mouse
-
免疫原:Peptide sequence around phosphorylation site of serine 662 (A-E-S(p)-V-A) derived from Human Period Circadian Protein 2.
-
免疫原種屬:Homo sapiens (Human)
-
克隆類型:Polyclonal
-
純化方式:Antibodies were produced by immunizing rabbits with synthetic phosphopeptide and KLH conjugates. Antibodies were purified by affinity-chromatography using epitope-specific phosphopeptide. Non-phospho specific antibodies were removed by chromatogramphy usi
-
濃度:It differs from different batches. Please contact us to confirm it.
-
產品提供形式:Liquid
-
應用范圍:ELISA,WB,IHC
-
推薦稀釋比:
Application Recommended Dilution WB 1:500-1:1000 IHC 1:50-1:100 -
Protocols:
-
儲存條件:Upon receipt, store at -20°C or -80°C. Avoid repeated freeze.
-
貨期:Basically, we can dispatch the products out in 1-3 working days after receiving your orders. Delivery time maybe differs from different purchasing way or location, please kindly consult your local distributors for specific delivery time.
-
用途:For Research Use Only. Not for use in diagnostic or therapeutic procedures.
相關產品
靶點詳情
-
功能:Transcriptional repressor which forms a core component of the circadian clock. The circadian clock, an internal time-keeping system, regulates various physiological processes through the generation of approximately 24 hour circadian rhythms in gene expression, which are translated into rhythms in metabolism and behavior. It is derived from the Latin roots 'circa' (about) and 'diem' (day) and acts as an important regulator of a wide array of physiological functions including metabolism, sleep, body temperature, blood pressure, endocrine, immune, cardiovascular, and renal function. Consists of two major components: the central clock, residing in the suprachiasmatic nucleus (SCN) of the brain, and the peripheral clocks that are present in nearly every tissue and organ system. Both the central and peripheral clocks can be reset by environmental cues, also known as Zeitgebers (German for 'timegivers'). The predominant Zeitgeber for the central clock is light, which is sensed by retina and signals directly to the SCN. The central clock entrains the peripheral clocks through neuronal and hormonal signals, body temperature and feeding-related cues, aligning all clocks with the external light/dark cycle. Circadian rhythms allow an organism to achieve temporal homeostasis with its environment at the molecular level by regulating gene expression to create a peak of protein expression once every 24 hours to control when a particular physiological process is most active with respect to the solar day. Transcription and translation of core clock components (CLOCK, NPAS2, ARNTL/BMAL1, ARNTL2/BMAL2, PER1, PER2, PER3, CRY1 and CRY2) plays a critical role in rhythm generation, whereas delays imposed by post-translational modifications (PTMs) are important for determining the period (tau) of the rhythms (tau refers to the period of a rhythm and is the length, in time, of one complete cycle). A diurnal rhythm is synchronized with the day/night cycle, while the ultradian and infradian rhythms have a period shorter and longer than 24 hours, respectively. Disruptions in the circadian rhythms contribute to the pathology of cardiovascular diseases, cancer, metabolic syndrome and aging. A transcription/translation feedback loop (TTFL) forms the core of the molecular circadian clock mechanism. Transcription factors, CLOCK or NPAS2 and ARNTL/BMAL1 or ARNTL2/BMAL2, form the positive limb of the feedback loop, act in the form of a heterodimer and activate the transcription of core clock genes and clock-controlled genes (involved in key metabolic processes), harboring E-box elements (5'-CACGTG-3') within their promoters. The core clock genes: PER1/2/3 and CRY1/2 which are transcriptional repressors form the negative limb of the feedback loop and interact with the CLOCK|NPAS2-ARNTL/BMAL1|ARNTL2/BMAL2 heterodimer inhibiting its activity and thereby negatively regulating their own expression. This heterodimer also activates nuclear receptors NR1D1/2 and RORA/B/G, which form a second feedback loop and which activate and repress ARNTL/BMAL1 transcription, respectively. PER1 and PER2 proteins transport CRY1 and CRY2 into the nucleus with appropriate circadian timing, but also contribute directly to repression of clock-controlled target genes through interaction with several classes of RNA-binding proteins, helicases and others transcriptional repressors. PER appears to regulate circadian control of transcription by at least three different modes. First, interacts directly with the CLOCK-ARTNL/BMAL1 at the tail end of the nascent transcript peak to recruit complexes containing the SIN3-HDAC that remodel chromatin to repress transcription. Second, brings H3K9 methyltransferases such as SUV39H1 and SUV39H2 to the E-box elements of the circadian target genes, like PER2 itself or PER1. The recruitment of each repressive modifier to the DNA seems to be very precisely temporally orchestrated by the large PER complex, the deacetylases acting before than the methyltransferases. Additionally, large PER complexes are also recruited to the target genes 3' termination site through interactions with RNA-binding proteins and helicases that may play a role in transcription termination to regulate transcription independently of CLOCK-ARTNL/BMAL1 interactions. Recruitment of large PER complexes to the elongating polymerase at PER and CRY termination sites inhibited SETX action, impeding RNA polymerase II release and thereby repressing transcriptional reinitiation. May propagate clock information to metabolic pathways via the interaction with nuclear receptors. Coactivator of PPARA and corepressor of NR1D1, binds rhythmically at the promoter of nuclear receptors target genes like ARNTL or G6PC1. Directly and specifically represses PPARG proadipogenic activity by blocking PPARG recruitment to target promoters and thereby inhibiting transcriptional activation. Required for fatty acid and lipid metabolism, is involved as well in the regulation of circulating insulin levels. Plays an important role in the maintenance of cardiovascular functions through the regulation of NO and vasodilatatory prostaglandins production in aortas. Controls circadian glutamate uptake in synaptic vesicles through the regulation of VGLUT1 expression. May also be involved in the regulation of inflammatory processes. Represses the CLOCK-ARNTL/BMAL1 induced transcription of BHLHE40/DEC1 and ATF4. Negatively regulates the formation of the TIMELESS-CRY1 complex by competing with TIMELESS for binding to CRY1.
-
基因功能參考文獻:
- These results indicate that the loss of Per2 is one of the factors underlying tumourigenesis in nonsmall cell lung cancer , and it may function as a novel molecular target for nonsmall cell lung cancer . PMID: 30226549
- The results of this study suggest that loss of PER2 expression is closely associated with the genesis and development of OSCC and that PER2 may be an important prognostic biomarker in OSCC. PMID: 29115399
- Results indicate that PER2 plays a similar role in both mouse and human mammary epithelial cells and regulates cell fate commitment, with a trend towards a bipotent cell type PMID: 29490985
- The interplay between Sirt1 and Per2 modulates aging gene expression and circadian-clock maintenance. PMID: 27346580
- The results suggest that the PER2 gene may be a risk factor for RA, and expression of the PER2 protein may be affected by inflammation. Therefore, PER2 may contribute to the pathogenesis of RA. PMID: 28498398
- p53's nuclear shuttling was significantly favored by ectopic expression of Per2 and reduced because of Per2 down-regulation. PMID: 27834218
- In human oral squamous cell carcinoma cells PER2 through the regulation of the numerous important downstream tumor-related genes, plays a major role in tumor suppression. PMID: 28535015
- Data suggest that Per2 is not only a tumor suppressor gene but can also be regarded as a regulator of MDM2-TP53 pathway. PMID: 27036047
- the clock gene PER2 polymorphisms account for the physiological variation of melatonin suppression as circadian light sensitivity PMID: 28650999
- This study showed that Lack of Association between Genetic Polymorphism of PER2 gene with Late Onset Depression and Alzheimer's Disease in a Sample of a Brazilian Population PMID: 27335043
- Results show that PER2 expression and stability is regulated by CSNK1D which can itself be regulated by phosphorylation on its regulatory domain in a site-specific manner. PMID: 28545154
- miR-21 as cardioprotective downstream target of Per2 PMID: 28448534
- Per2 is closely and negatively associated with the occurrence and development of ovarian cancer. Per2 expression, and the clinical stage and TNM development of ovarian cancer were identified to be correlated. PMID: 27082164
- results indicate the involvement of PER2 in the homeostatic process of sleep PMID: 27089043
- Immunostaining of CLOCK and PER2 protein was detected in the granulosa cells of dominant antral follicles but was absent in the primordial, primary, or preantral follicles of human ovaries.Oscillating expression of the circadian gene PER2 can be induced by testosterone in human granulosa cells in vitro. Expression of STAR also displayed an oscillating pattern after testosterone stimulation PMID: 27614897
- clock gene Per2 plays an important role in cell cycle progression and the balance of cell proliferation and apoptosis by regulation of the cyclin/CDK/CKI cell cycle network. PMID: 27035749
- Low Per2 gene expression is associated with colorectal liver metastases. PMID: 27492458
- The levels of circadian protein Per2 were significantly increased and E-cadherin was significantly decreased in the tissue of human esophageal cancer with metastasis as compared with non-metastatic esophageal cancer. PMID: 26898709
- The effect of genotype AC or allele C of Per2 on insomnia was relatively stronger than that of high work stress, suggesting that individual's susceptibility should be taken into consideration when intervening and controlling insomnia of workers. PMID: 26174845
- possible circadian rhythm in full-term placental expression PMID: 26247999
- Data suggest that PER2 functions as the only clock gene needed to maintain undifferentiated state of endothelial progenitor cells; expression of PER2-regulatory microRNA, miR-92a, is down-regulated in diabetic retinopathy. PMID: 26283734
- ARNTL and PER2 genetic variants associate in psychotic disorders Depresssion PMID: 25799324
- Data indicate that the period circadian protein Per2 modulates hp53 protein signaling in response to genotoxic stress. PMID: 25411341
- We did not observe any significant difference in Bone Mineral Density according to the genotype of the PER2 c.3731G> A polymorphism in postmenopausal Korean women. PMID: 24678593
- deregulated of the PER2 genes in glioma cells in deregulation of the cell cycle favoring proliferation of tumor cells. PMID: 25313752
- RNA sequencing revealed that premature inhibition of PER2 by small interfering RNA knockdown leads to a grossly disorganized decidual response. PMID: 25573754
- The biological effects of the per2 gene and its protein product, PER2, in the limbic system. [Review] PMID: 25216061
- The findings place hPer2 directly at the heart of the hp53-mediated response by ensuring that basal levels of hp53 are available to precondition the cell when a rapid, hp53-mediated, transcriptional response is needed. PMID: 25103245
- Deregulated expression of the PER2 genes is common in glioma, and inactivation of PER2 expression in glioma cells may result in deregulation of the cell cycle, thus promoting the proliferation of glioma cells. PMID: 25688509
- The results of this study present no evidence for an association of PER2 polymorphisms with juvenile myoclonic epilepsy. PMID: 24892753
- Per1 and Per2 may play important roles in tumor development, invasion and prognosis, and Per2 may serve as a novel prognostic biomarker of human gastric cancer. PMID: 24551282
- Our work represents the first evidence that the Per2S splicing isoform is a clock component expressed in human cells localizing in the nucleolus. PMID: 24202686
- Expression of cell cycle regulatory factors hus1, gadd45a, rb1, cdkn2a and mre11a correlates with expression of clock gene per2 in human colorectal carcinoma tissue. PMID: 24062075
- The locus rs2304669 on Per2 gene is associated with breast cancer risk. Genetic variation of circadian clock genes may increase the susceptibility to breast cancer. Therefore, it may become an important biomarker of susceptibility to breast cancer. PMID: 23880009
- altered post-translational regulation of PER2 protein in the patients with familial advanced sleep-phase disorder PMID: 22939700
- circadian protein PER2 counteracts viral replication PMID: 23593233
- findings clearly demonstrate the tumor suppression function of PER2 and elucidate a pathway by which hypoxia promotes EMT via degradation of PER2 PMID: 23836662
- The findings may suggest a role of the circadian rhythm gene PER2 in both the drinking patterns of young adults and in moderating the impact of severe life stress on hazardous drinking in experienced alcohol users. PMID: 23533602
- PER2 regulates AKT activity PMID: 22905719
- These results provide preliminary evidence for the role of the PER2 gene in regulating striatal D2R availability in the human brain and in vulnerability for cocaine addiction. PMID: 22832851
- Rhythmic circadian expression of PER2 was found in the control group, but the ADHD group did not display a significant circadian rhythm in PER2. PMID: 22105622
- DNA methylation levels at different CpG sites of CLOCK, BMAL1 and PER2 genes were analyzed in sixty normal-weight, overweight and obese women following a 16-week weight reduction program. PMID: 23003921
- This study showed for the first time that gender altered the expression of a circadian gene, Per2, in an infectious disease. PMID: 22984121
- C/EBPalpha with its associated direct core clock gene target, PER2, are highly deregulated in DLBCL, suggesting an important tumor suppressive pathway in the pathogenesis of this lymphoma entity PMID: 22260161
- Expression of period 2 transgene in the suprachiasmatic nucleus is affected by zeitgeber time (ZT) with a marginal interaction effect of age, genotype, and ZT. PMID: 22634208
- the rs2304672 polymorphism in the PER2 gene locus may influence lipid metabolism by interacting with the plasma total SFA concentration in participants with MetS. PMID: 22623394
- studies identify adenosine-elicited stabilization of Per2 in the control of HIF-dependent cardiac metabolism and ischemia tolerance and implicate Per2 stabilization PMID: 22504483
- Findings are the first to indicate that circadian genes have a significant impact upon circadian-relevant reward circuitry in humans. PMID: 22137505
- Low Per2 is associated with colorectal carcinoma PMID: 22166120
- This study demonstrated a novel mechanism for alcohol-induced intestinal hyperpermeability through stimulation of intestinal circadian Per2 and CLOCK gene expression. PMID: 21463335
顯示更多
收起更多
-
相關疾病:Advanced sleep phase syndrome, familial, 1 (FASPS1)
-
亞細胞定位:[Isoform 1]: Nucleus. Cytoplasm. Cytoplasm, perinuclear region. Note=Nucleocytoplasmic shuttling is effected by interaction with other circadian core oscillator proteins and/or by phosphorylation. Translocate to the nucleus after phosphorylation by CSNK1D or CSNK1E. Also translocated to the nucleus by CRY1 or CRY2. PML regulates its nuclear localization.; [Isoform 2]: Nucleus, nucleolus.
-
組織特異性:Widely expressed. Found in heart, brain, placenta, lung, liver, skeleatal muscle, kidney and pancreas. High levels in skeletal muscle and pancreas. Low levels in lung. Isoform 2 is expressed in keratinocytes (at protein level).
-
數據庫鏈接:
Most popular with customers
-
YWHAB Recombinant Monoclonal Antibody
Applications: ELISA, WB, IHC, IF, FC
Species Reactivity: Human, Mouse, Rat
-
Phospho-YAP1 (S127) Recombinant Monoclonal Antibody
Applications: ELISA, WB, IHC
Species Reactivity: Human
-
-
-
-
-
-















