Phospho-PDPK1 (Ser241) Antibody
-
中文名稱:磷酸化-PDPK1 (Ser241)兔多克隆抗體
-
貨號:CSB-PA910286
-
規格:¥2454
-
圖片:
-
Western blot analysis of extracts from 293 and PC12 cells untreated or treated with EGF using PDK1(Phospho-Ser241) Antibody.
-
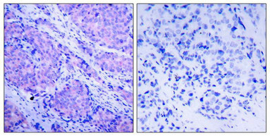
Immunohistochemical analysis of paraffin-embedded human breast carcinoma tissue using PDK1(Phospho-Ser241) Antibody(left) or the same antibody preincubated with blocking peptide(right).
-
Immunofluorescence staining of methanol-fixed Hela cells using PDK1(Phospho-Ser241) Antibody.
-
-
其他:
產品詳情
-
產品名稱:Rabbit anti-Homo sapiens (Human) PDPK1 Polyclonal antibody
-
Uniprot No.:
-
基因名:
-
宿主:Rabbit
-
反應種屬:Human,Mouse,Rat
-
免疫原:Peptide sequence around phosphorylation site of serine 241 (A-N-S(p)-F-V) derived from Human PDK1.
-
免疫原種屬:Homo sapiens (Human)
-
克隆類型:Polyclonal
-
純化方式:Antibodies were produced by immunizing rabbits with synthetic phosphopeptide and KLH conjugates. Antibodies were purified by affinity-chromatography using epitope-specific phosphopeptide. Non-phospho specific antibodies were removed by chromatogramphy usi
-
濃度:It differs from different batches. Please contact us to confirm it.
-
產品提供形式:Liquid
-
應用范圍:ELISA,WB,IHC,IF
-
推薦稀釋比:
Application Recommended Dilution WB 1:500-1:1000 IHC 1:50-1:100 IF 1:100-1:200 -
Protocols:
-
儲存條件:Upon receipt, store at -20°C or -80°C. Avoid repeated freeze.
-
貨期:Basically, we can dispatch the products out in 1-3 working days after receiving your orders. Delivery time maybe differs from different purchasing way or location, please kindly consult your local distributors for specific delivery time.
-
用途:For Research Use Only. Not for use in diagnostic or therapeutic procedures.
相關產品
靶點詳情
-
功能:Serine/threonine kinase which acts as a master kinase, phosphorylating and activating a subgroup of the AGC family of protein kinases. Its targets include: protein kinase B (PKB/AKT1, PKB/AKT2, PKB/AKT3), p70 ribosomal protein S6 kinase (RPS6KB1), p90 ribosomal protein S6 kinase (RPS6KA1, RPS6KA2 and RPS6KA3), cyclic AMP-dependent protein kinase (PRKACA), protein kinase C (PRKCD and PRKCZ), serum and glucocorticoid-inducible kinase (SGK1, SGK2 and SGK3), p21-activated kinase-1 (PAK1), protein kinase PKN (PKN1 and PKN2). Plays a central role in the transduction of signals from insulin by providing the activating phosphorylation to PKB/AKT1, thus propagating the signal to downstream targets controlling cell proliferation and survival, as well as glucose and amino acid uptake and storage. Negatively regulates the TGF-beta-induced signaling by: modulating the association of SMAD3 and SMAD7 with TGF-beta receptor, phosphorylating SMAD2, SMAD3, SMAD4 and SMAD7, preventing the nuclear translocation of SMAD3 and SMAD4 and the translocation of SMAD7 from the nucleus to the cytoplasm in response to TGF-beta. Activates PPARG transcriptional activity and promotes adipocyte differentiation. Activates the NF-kappa-B pathway via phosphorylation of IKKB. The tyrosine phosphorylated form is crucial for the regulation of focal adhesions by angiotensin II. Controls proliferation, survival, and growth of developing pancreatic cells. Participates in the regulation of Ca(2+) entry and Ca(2+)-activated K(+) channels of mast cells. Essential for the motility of vascular endothelial cells (ECs) and is involved in the regulation of their chemotaxis. Plays a critical role in cardiac homeostasis by serving as a dual effector for cell survival and beta-adrenergic response. Plays an important role during thymocyte development by regulating the expression of key nutrient receptors on the surface of pre-T cells and mediating Notch-induced cell growth and proliferative responses. Provides negative feedback inhibition to toll-like receptor-mediated NF-kappa-B activation in macrophages. Isoform 3 is catalytically inactive.
-
基因功能參考文獻:
- The present study strongly suggests that miR-718 inhibits papillary thyroid cancer cell proliferation, metastasis, and glucose metabolism...through PDPK1 PMID: 30166214
- the combination of BX-912 and ABT-263, a BH3 mimetic, resulted in the enhancement of the induction of apoptosis. In conclusion, our results suggest that PDPK1 is a potential novel therapeutic target in Mantle cell lymphoma (MCL) and indicate that clinical development of PDPK1-targeted therapy for MCL is desirable. PMID: 29287939
- Our experimental results suggested that PDK1 may promote chondrocyte apoptosis in osteoarthritis via p38 MAPK signaling pathway PMID: 29061447
- our results offer significant insight into how PIK3CA overexpression drives squamous cell carcinoma (HNSCC) invasion and metastasis, providing a rationale for targeting PI3K/PDK1 and TGFb signaling in advanced HNSCC patients with PIK3CA amplification PMID: 26876212
- Ribociclib, in combination with GSK2334470 or the PI3Kalpha inhibitor alpelisib, decreased xenograft tumor growth more potently than each drug alone. Taken together, our results highlight a role for the PI3K-PDK1 signaling pathway in mediating acquired resistance to CDK4/6 inhibitors. PMID: 28249908
- Decreased PDK1 protein expression in A2058 cells. PMID: 28731179
- Together these results indicate a strong potential regulatory role for PDK1 in OC stimulatory pathways (Akt, ERK) and autophagy induction (via mTORC1), which may contribute to the OC phenotype in Paget's disease of bone. PMID: 26848537
- It targeted the 3-phosphoinositide-dependent protein kinase 1 gene that appeared to be a potent regulator of AKT. PMID: 28333136
- Highly expressed PDK1 could promote cell invasion and secretion of IL-1beta and IL-6 in human rheumatoid arthritis synovial MH7A cells. Inhibition of RSK2 reduced the PDK1-induced cell invasion and cytokines secretion in MH7A cells. In response to TNF-alpha, PDK1 could phosphorylate RSK2 and activated RSK2, then promoting the activation of NF-kappaB. PMID: 28314444
- In cancer cells resistant to PI3Kalpha inhibition, PDK1 blockade restores sensitivity to these therapies. SGK1, which is activated by PDK1, contributes to the maintenance of residual mTORC1 activity through direct phosphorylation and inhibition of TSC2. PMID: 27451907
- Results suggest that Ser-64 is an important phosphorylation site that is part of a positive feedback loop for human PDK1-PKCtheta;-mediated T cell activation. PMID: 28152304
- Elevated expression of PDK1 was an independent negative prognostic factor of gastric carcinoma. PMID: 26373731
- miR-138-1* played a critical role in aflatoxin B1-induced malignant transformation of B-2A13 cells by targeting PDK1. PMID: 26084420
- miR-454 functions as a tumor suppressor in glioblastoma, inhibiting proliferation of human glioblastoma cells by suppressing PDK1 expression. PMID: 26297548
- Decreased PDK1 level is closely associated with reduced Akt/cyclin D1 activity. PMID: 26055151
- MiR-138 regulation of PI3K signaling in ASMCs by altering the expression of PDK1. PMID: 26151666
- Dephosphorylation of PDK-1 and the resulting changes to Akt phosphorylation is one of the mechanisms by which infection with Helicobacter pylori alter the balance between apoptosis and cell proliferation. PMID: 26487493
- Data suggest that claudin-18 suppresses the abnormal proliferation and motility of lung epithelial cells mediated by inhibition of phosphorylation of phosphoinositide-dependent protein kinase-1 and proto-oncogene protein c-akt (Akt). PMID: 26919807
- DK1 inhibits the formation of the TAK1-TAB2-TRAF6 complex and leads to the inhibition of TRAF6 ubiquitination. PMID: 26432169
- Data show that NSC156529 inhibits the interaction of endogenous serine/threonine kinase AKT (AKT1) and 3-phosphoinositide dependent protein kinase-1 (PDPK1) proteins. PMID: 26294745
- PDK1 functions as a tumor promoter in human gallbladder cancer by upregulating JunB, promoting epithelial mesenchymal transformation, and cell migration. PMID: 26318166
- PGE2 increases normal bronchial epithelial cell proliferation through increased PDK1 gene expression that is dependent on EP4 and induction of c-Jun. PMID: 26684827
- data show that PDK1 played a pivotal role in the growth of angiosarcoma cells. PMID: 25726712
- Data propose that PDK1 functions as a cellular sensor that balances basal PIP3 generation at levels sufficient for survival but below a threshold being harmful to the cell. PMID: 23893244
- The crystal structural analysis of PDK1 located the PIF-pocket as the catalytic domain and for substrate recognition. PMID: 24044887
- these data show that overexpression of PDK1 is common in acute myelomonocytic leukemia and is associated with poorer treatment outcome, probably arising from the cytoprotective function of PDK1. PMID: 24334295
- phosphorylating the T-loop Akt residue Thr(308) by PDK1 requires Raptor of the mTORC1 complex as a platform or scaffold protein. PMID: 24516643
- Combined inhibition of PDK1 and CHK1 represents a potentially effective therapeutic approach to reduce the growth of human glioblastoma. PMID: 24810059
- our results demonstrate that ciglitazone inhibits PDK1 expression through AMPKalpha-mediated induction of Egr-1 and Egr-1 binding to the specific DNA site in the PDK1 gene promoter, which is independent of PPARgamma PMID: 24925061
- A functional pathway involving PDK1-mediated activation of MRCKA, links EGF signaling to myosin contraction and directional migration. PMID: 25092657
- Data suggest that regulation of activity of PDK1 (including PDK1 in neoplastic cells) involves serine/threonine/tyrosine phosphorylation, subcellular localization, regulator binding, homodimerization, and conformation changes. [REVIEW] PMID: 25233428
- C4-CER can replace the PI3K/mTORC2 pathway to directly induce SGK1 to autophosphorylate at Ser422, an initial step leading to activation of PDK1 and of SGK1 by PDK1. PMID: 25384981
- Upregulation of PDK1 protein associates with aggressive progression and poor prognosis in esophageal squamous cell carcinoma patients. PMID: 25416048
- modulation of integrin endocytosis by PDK1 hampers endothelial cell adhesion and migration on extracellular matrix, thus unveiling a novel role for this kinase. PMID: 25588838
- SGK3 is a key mediator of PDK1 activity in melanoma. PMID: 25712345
- Altogether, these findings indicate the possibility to rationally target PDK1 in human tumors in order to counteract cancer cell dissemination in the organism. PMID: 26238471
- Low PDK1 expression is associated with Ovarian Serous Carcinoma. PMID: 26504072
- AMIGO2 is an important regulator of the PDK1-Akt pathway. PMID: 26553931
- Data illustrate a critical role for PDK1 in transducing inhibitory signals on eosinophil effector function. Stimulation of EP4 receptors caused PDK1 phosphorylation at Ser396 and induced PI3K-dependent nuclear translocation of PDK1. PMID: 25645675
- This work provides a promising new scaffold for the development of high-affinity PIF pocket ligands, which may be used to enhance the anticancer activity of existing PDK1 inhibitors. PMID: 25518860
- Studied miR-138 and PDK1 mRNA expression in serum of NSCLC patients and their associations with patients' prognosis. PMID: 25064732
- Our study demonstrates that PDPK1 is a potent and a universally targetable signaling mediator in multiple myeloma regardless of the types of cytogenetic/molecular profiles. PMID: 25269480
- PDK1 is independently activated in breast cancer and not only as part of the PIK3CA pathway, suggesting that PDK1 plays a specific and distinct role from the canonical PIK3/Akt pathway and promotes oncogenesis independently of AKT. PMID: 24739482
- miR-375 negatively regulates the expression of 3-phosphoinositide-dependent protein kinase 1 (PDK1) by directly targeting the 3'UTR of the PDK1 transcript, throught Akt signaling pathway. PMID: 24481267
- LOX-1 up-regulation induced by AGE-BSA was a receptor mediated through RAGE and is via the PI3K/PDK1/mTORC2 pathway PMID: 22863784
- Lower phosphorylation levels of PDK1 is associated with poor treatment response in rectal cancer. PMID: 22658458
- Upregulation of PKCeta contributes to breast cancer cell growth and targeting either PKCepsilon or PDK1 triggers PKCeta downregulation PMID: 23562764
- PTD-PDK1- Thr(513)-Asp selectively inhibited binding between PDK1 and CARMA1. PMID: 23530144
- results suggest that PDK1 may contribute to breast cancer, even in the absence of phosphatidylinositol 3 kinase oncogenic mutations and through both Akt-dependent and Akt-independent mechanisms PMID: 22952425
- cell-autonomous phosphoinositide 3-kinase and 3-phosphoinositide-dependent protein kinase 1 are key effectors of oncogenic Kras in the pancreas, mediating cell plasticity, acinar-to-ductal metaplasia, and pancreatic ductal adenocarcinoma formation PMID: 23453624
顯示更多
收起更多
-
亞細胞定位:Cytoplasm. Nucleus. Cell membrane; Peripheral membrane protein. Cell junction, focal adhesion. Note=Tyrosine phosphorylation seems to occur only at the cell membrane. Translocates to the cell membrane following insulin stimulation by a mechanism that involves binding to GRB14 and INSR. SRC and HSP90 promote its localization to the cell membrane. Its nuclear localization is dependent on its association with PTPN6 and its phosphorylation at Ser-396. Restricted to the nucleus in neuronal cells while in non-neuronal cells it is found in the cytoplasm. The Ser-241 phosphorylated form is distributed along the perinuclear region in neuronal cells while in non-neuronal cells it is found in both the nucleus and the cytoplasm. IGF1 transiently increases phosphorylation at Ser-241 of neuronal PDPK1, resulting in its translocation to other cellular compartments. The tyrosine-phosphorylated form colocalizes with PTK2B in focal adhesions after angiotensin II stimulation.
-
蛋白家族:Protein kinase superfamily, AGC Ser/Thr protein kinase family, PDPK1 subfamily
-
組織特異性:Appears to be expressed ubiquitously. The Tyr-9 phosphorylated form is markedly increased in diseased tissue compared with normal tissue from lung, liver, colon and breast.
-
數據庫鏈接:
Most popular with customers
-
YWHAB Recombinant Monoclonal Antibody
Applications: ELISA, WB, IHC, IF, FC
Species Reactivity: Human, Mouse, Rat
-
Phospho-YAP1 (S127) Recombinant Monoclonal Antibody
Applications: ELISA, WB, IHC
Species Reactivity: Human
-
-
-
-
-
-















