Phospho-MYL9 (Ser19) Antibody
-
中文名稱:磷酸化-MYL9 (Ser19)兔多克隆抗體
-
貨號:CSB-PA186288
-
規格:¥2454
-
圖片:
-
Western blot analysis of extracts from 293 cells untreated or treated with starvation using Myosin Light Chain 2 (Phospho-Ser19) Antibody.
-
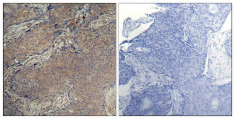
Immunohistochemical analysis of paraffin-embedded human breast carcinoma tissue using Myosin Light Chain 2 (Phospho-Ser19) Antibody (left) or the same antibody preincubated with blocking peptide (right).
-
-
其他:
產品詳情
-
產品名稱:Rabbit anti-Homo sapiens (Human) MYL9 Polyclonal antibody
-
Uniprot No.:
-
基因名:
-
宿主:Rabbit
-
反應種屬:Human,Mouse,Rat
-
免疫原:Peptide sequence around phosphorylation site of serine 19 (A-T-S(p)-N-V) derived from Human Myosin Light Chain 2.
-
免疫原種屬:Homo sapiens (Human)
-
克隆類型:Polyclonal
-
純化方式:Antibodies were produced by immunizing rabbits with synthetic phosphopeptide and KLH conjugates. Antibodies were purified by affinity-chromatography using epitope-specific phosphopeptide. Non-phospho specific antibodies were removed by chromatogramphy usi
-
濃度:It differs from different batches. Please contact us to confirm it.
-
產品提供形式:Liquid
-
應用范圍:ELISA,WB,IHC
-
推薦稀釋比:
Application Recommended Dilution WB 1:500-1:1000 IHC 1:50-1:100 -
Protocols:
-
儲存條件:Upon receipt, store at -20°C or -80°C. Avoid repeated freeze.
-
貨期:Basically, we can dispatch the products out in 1-3 working days after receiving your orders. Delivery time maybe differs from different purchasing way or location, please kindly consult your local distributors for specific delivery time.
-
用途:For Research Use Only. Not for use in diagnostic or therapeutic procedures.
相關產品
靶點詳情
-
功能:Myosin regulatory subunit that plays an important role in regulation of both smooth muscle and nonmuscle cell contractile activity via its phosphorylation. Implicated in cytokinesis, receptor capping, and cell locomotion. In myoblasts, may regulate PIEZO1-dependent cortical actomyosin assembly involved in myotube formation.
-
基因功能參考文獻:
- MYL9 expression might be a promising prognostic marker and therapeutic target in ESCC PMID: 28388691
- At the cleavage furrow Arv1 recruits myosin heavy chain 9 (MYH9) and myosin light chain 9 (MYL9) by interacting with IQ-motif-containing GTPase-activating protein (IQGAP1). PMID: 27104745
- These findings suggested that low MYLK and MYL9 expressions might be associated with the development of NSCLC. PMID: 25179839
- the decreased expression of MYL9 may play an important role in tumor progression of prostate cancer PMID: 24338276
- Overexpression of MRTF-A significantly promoted the migration of MCF-7 cells through its transactivation effects on MYL9 and CYR61 genes PMID: 24084383
- Overexpression of SMYD3 promotes MRTF-A-mediated upregulation of MYL9 and migration of MCF-7 breast cancer cells PMID: 24189459
- surface CD3 expression proceeds through both MYL9-dependent and MYL9-independent pathways (i.e. the protein kinase C- dependent pathway) in Jurkat cells. PMID: 23538510
- The FHC-mediated structural perturbations in RLC that affect Ca(2+) binding properties of mutated myocardium are responsible for triggering the abnormal function of the heart that in turn might initiate a hypertrophic process and lead to heart failure. PMID: 16076902
- Smooth muscle type isoform, MLC-2C, is the inducible isoform, and might play a crucial role in monocyte/macrophage cell lineage. PMID: 18480596
- use of a shRNA to decrease MYL9 expression showed that MYL9 was involved in proplatelet formation PMID: 19724058
顯示更多
收起更多
-
亞細胞定位:Cytoplasm, cytoskeleton. Cytoplasm, cell cortex.
-
組織特異性:Smooth muscle tissues and in some, but not all, nonmuscle cells.
-
數據庫鏈接:
Most popular with customers
-
-
YWHAB Recombinant Monoclonal Antibody
Applications: ELISA, WB, IHC, IF, FC
Species Reactivity: Human, Mouse, Rat
-
Phospho-YAP1 (S127) Recombinant Monoclonal Antibody
Applications: ELISA, WB, IHC
Species Reactivity: Human
-
-
-
-
-















