Phospho-MDM2 (Ser166) Antibody
-
中文名稱:磷酸化-MDM2 (Ser166)兔多克隆抗體
-
貨號:CSB-PA073718
-
規格:¥2454
-
圖片:
-
Western blot analysis of extracts from 293 cells untreated or treated with Hydroxyurea using MDM2(phospho-Ser166) Antibody.
-
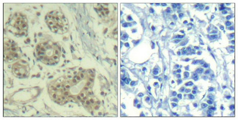
Immunohistochemical analysis of paraffin-embedded human breast carcinoma tissue using MDM2(Phospho-Ser166) Antibody(left) or the same antibody preincubated with blocking peptide(right).
-
Immunofluorescence staining of methanol-fixed Hela cells using MDM2(phospho-Ser166) Antibody.
-
-
其他:
產品詳情
-
產品名稱:Rabbit anti-Homo sapiens (Human) MDM2 Polyclonal antibody
-
Uniprot No.:
-
基因名:
-
宿主:Rabbit
-
反應種屬:Human
-
免疫原:Peptide sequence around phosphorylation site of Serine 166 (A-I-S(p)-E-T) derived from Human MDM2.
-
免疫原種屬:Homo sapiens (Human)
-
克隆類型:Polyclonal
-
純化方式:Antibodies were produced by immunizing rabbits with synthetic phosphopeptide and KLH conjugates. Antibodies were purified by affinity-chromatography using epitope-specific phosphopeptide. Non-phospho specific antibodies were removed by chromatogramphy usi
-
濃度:It differs from different batches. Please contact us to confirm it.
-
產品提供形式:Liquid
-
應用范圍:ELISA,WB,IHC,IF
-
推薦稀釋比:
Application Recommended Dilution WB 1:500-1:1000 IHC 1:50-1:100 IF 1:100-1:200 -
Protocols:
-
儲存條件:Upon receipt, store at -20°C or -80°C. Avoid repeated freeze.
-
貨期:Basically, we can dispatch the products out in 1-3 working days after receiving your orders. Delivery time maybe differs from different purchasing way or location, please kindly consult your local distributors for specific delivery time.
-
用途:For Research Use Only. Not for use in diagnostic or therapeutic procedures.
相關產品
靶點詳情
-
功能:E3 ubiquitin-protein ligase that mediates ubiquitination of p53/TP53, leading to its degradation by the proteasome. Inhibits p53/TP53- and p73/TP73-mediated cell cycle arrest and apoptosis by binding its transcriptional activation domain. Also acts as a ubiquitin ligase E3 toward itself and ARRB1. Permits the nuclear export of p53/TP53. Promotes proteasome-dependent ubiquitin-independent degradation of retinoblastoma RB1 protein. Inhibits DAXX-mediated apoptosis by inducing its ubiquitination and degradation. Component of the TRIM28/KAP1-MDM2-p53/TP53 complex involved in stabilizing p53/TP53. Also component of the TRIM28/KAP1-ERBB4-MDM2 complex which links growth factor and DNA damage response pathways. Mediates ubiquitination and subsequent proteasome degradation of DYRK2 in nucleus. Ubiquitinates IGF1R and SNAI1 and promotes them to proteasomal degradation. Ubiquitinates DCX, leading to DCX degradation and reduction of the dendritic spine density of olfactory bulb granule cells. Ubiquitinates DLG4, leading to proteasomal degradation of DLG4 which is required for AMPA receptor endocytosis. Negatively regulates NDUFS1, leading to decreased mitochondrial respiration, marked oxidative stress, and commitment to the mitochondrial pathway of apoptosis. Binds NDUFS1 leading to its cytosolic retention rather than mitochondrial localization resulting in decreased supercomplex assembly (interactions between complex I and complex III), decreased complex I activity, ROS production, and apoptosis.
-
基因功能參考文獻:
- Meta-analysis suggested that MDM2 SNP309 polymorphism increased the risk of endometrial cancer significantly, especially in endometrioid and Type I endometrial cancer, indicating MDM2 could serve as a potential diagnostic factor marker for endometrial cancer. PMID: 30544386
- The Numb-Mdm2 interaction represents a fuzzy complex mediated by a short Numb sequence encompassing its alternatively spliced exon 3 (Ex3), which is necessary and sufficient to inhibit Mdm2 and prevent p53 degradation. PMID: 29269425
- It has been shown that MDM2 and MDMX are targetable vulnerabilities within TP53-wild-type T-cell lymphomas. PMID: 29789628
- MDM2 down-regulation attenuates the senescence-associated secretory phenotype. PMID: 29402901
- First evidence that DNA induction of MDM2 promotes proliferation of human renal mesangial cells and alters peripheral B cells subsets in pediatric systemic lupus erythematosus. PMID: 29324237
- The genotypes of MDM2 SNP309 may allow forr early detection of and predictor for colorectal cancer risk, especially among smokers and non-alcohol drinkers, but not for prognosis. PMID: 30194081
- Our study showed that miR-145 suppressed MDM2 expression, which subsequently influenced the p53-related cell growth pattern in pterygial epithelium. The regulatory miR-145/MDM2-p53 loop can serve as a potential target for treatment of pterygium. PMID: 29360447
- In contrast to other deubiquitinating enzymes (DUBs) that have been previously implicated in the regulation of Mdm2 protein stability, USP48 did not induce Mdm2 stabilization by significantly reducing Mdm2 ubiquitination levels. PMID: 28233861
- MDM2 rs937283 A > G variant is associated with lung and gastric cancer. PMID: 29777315
- No associations were found between MDM2 SNP309 and either of two FSH/LH groups. PMID: 29957069
- MDM2 promoter variants play a role in determining the risk of recurrence of squamous cell carcinoma of oropharynx PMID: 28045062
- In silico molecular docking and dynamics studies with MDM2-p53 protein revealed that HTMF was more potent compound that could inhibit the binding of MDM2 with p53 and, therefore, could trigger apoptosis in cancer cell. PMID: 29734849
- Our findings suggested that RBM38 may be a core contributor in stabilizing the p53-mdm2 loop function to prevent hepatocellular carcinoma (HCC) and a potential novel target to provide a therapeutic strategy for HCC by inhibiting mdm2 and rescuing p53 from inactivation. PMID: 30176896
- As shown in human MDM2-ALT1-expressing p53 null transgenic mice, MDM2-ALT1 can direct rhabdomyosarcoma (RMS) tumor formation recapitulating many of the histological and immunohistochemical features of fusion-negative RMS. PMID: 28892044
- We demonstrate that extraskeletal osteosarcoma (ESOS) may include at least two small subsets: an MDM2-amplified deep soft-tissue ESOS and an H3K27me3-deficient organ-based ESOS PMID: 29489027
- miR-518 acted as a new tumor suppressor by targeting MDM2 gene and trigger apoptosis in vivo and in vitro. PMID: 29793321
- Overexpression of miR-641 decreased the expression of MDM2 and increased the expression of p53 in lung cancer cells. PMID: 28800790
- The MDM2 T309G polymorphism GG genotype and the TG+GG combination may be risk factors for breast cancer in our Turkish population. PMID: 29699057
- Human blastocyst-secreted miR-661 reduces endometrial epithelial cell adhesion via downregulation of MDM2, regulating endometrial-blastocyst adhesion, and implantation. PMID: 28847363
- MDM2 is associated with giant cell tumor of bone recurrence, which might serve as biomarker for giant cell tumor of bone recurrence PMID: 29651441
- The ID genotype of the MDM2 I/D polymorphism was associated with a lower risk of SLE. There was no association between MDM2 T309G polymorphism and SLE. PMID: 28676527
- The present study demonstrated that the oncostatic effects of melatonin on SGC-7901 GC cells are mediated via the blockade of the AKT/MDM2 intracellular pathway. PMID: 29484412
- Nongenotoxic p53 activation suppresses mTOR activity. Moreover, p53 reactivation via RG7388, a second-generation MDM2 inhibitor, strongly enhances the in vivo antitumor activity of temsirolimus PMID: 28821555
- Overview of the connections between p53-MDM2 axis and human aging disorders and aging-related pathways (review). PMID: 29192902
- The Role of MDM2 in genome stability/instability and DNA repair is reviewed. PMID: 29065514
- Notch1 signaling is an essential downstream pathway of MDM2 in mediating high glucose-induced mitotic catastrophe in podocytes. PMID: 28643424
- our data confirmed the individual susceptibility to BC resulting from polymorphic markers of DNA repair genes (XRCC1), apoptosis genes (TP53), as well as of apoptosis inhibition genes (MDM2). PMID: 29132330
- In multivariate analysis, MDM2/MDM4 and EGFR alterations correlated with time-to-treatment failure (TTF)..Some patients with MDM2 family amplification or EGFR aberrations had poor clinical outcome and significantly increased rate of tumor growth after single-agent checkpoint (PD-1/PD-L1) inhibitors PMID: 28351930
- Results demonstrate that Mdm2 is extremely important in breast cancer metastases to the lung. Specifically, Mdm2 is important to promote cancer invasiveness via cell migration, angiogenesis, and intravasation. PMID: 28784612
- GG genotype of MDM2 re2279744 showed a statistically significantly increased risk of developing endometrial cancer risk in a Chinese Han population. PMID: 29096752
- GATA4 was a transcription factor that activated mouse double minute 2 homolog (MDM2) and B cell lymphoma 2 (BCL2) expression in ALL cells. PMID: 28849107
- Findings of the study confirm that L-THP resulted in p53 independent apoptosis via down-regulating XIAP protein by inhibiting MDM2 associated with proteasome-dependent pathway and increased sensitivity of EU-4 cells against doxorubicin. PMID: 28721806
- MDM2 promoter SNP55 (rs2870820) affects risk of colon cancer but not breast-, lung-, or prostate cancer. PMID: 27624283
- Importantly, these results imply that the Zika virus capsid protein interacts with mouse double-minute-2 homolog (MDM2), which is involved in the P53-mediated apoptosis pathway, activating the death of infected neural cells. PMID: 28775961
- The expression levels of Bcl11a and Mdm2, Pten in B-ALL patients with CR were decreased significantly when compared with the healthy control (P < 0.05). PMID: 28544358
- A near-native models of the p53-MDM2 complex have been presented. PMID: 27905468
- the MDM2 rs937283 polymorphism is a novel functional SNP both in vitro and in vivo as well as a biomarker for poor prognosis in retinoblastoma PMID: 27506496
- Markov models of the apo-MDM2 lid region reveal diffuse yet two-state binding dynamics and receptor poses for computational docking. PMID: 27538695
- The nucleolar protein CSIG is a novel and crucial regulator of the MDM2-p53 pathway. We demonstrate that CSIG translocates from the nucleolus to the nucleoplasm in response to nucleolar stress. Moreover, knockdown of CSIG attenuates the induction of p53 and abrogates G1 phase arrest in response to nucleolar stress. PMID: 27811966
- Data indicate that murine double minute 2 protein (MDMX) expression may serve as an independent unfavorable prognostic factor for non-small cell lung cancer (NSCLC). patient outcome, which in turn may at least partly be due to the ability of the MDMX protein to regulate the proliferative capacity and chemosensitivity of NSCLC cells. PMID: 28567715
- our data suggest that estrogen provokes signals to increase MDM2 expression and this estrogen stimulated MDM2 promotes signal transduction for increasing phosphorylation of Rb. PMID: 28615518
- The MDM2 Del1518 polymorphism (rs3730485) was associated with breast cancer susceptibility, particularly in menopausal patients with breast cancer who reported tobacco consumption, pregnancy loss, obesity and high glucose levels in Mexican population. PMID: 28667029
- study showed that UVB induces alternative splicing of hdm2 by increasing the expression and the binding of hnRNP A1 to hdm2 full-length mRNA PMID: 26757361
- in colon cancer cell migration, activin utilizes NFkB to induce MDM2 activity leading to the degradation of p21 in a PI3K dependent mechanism PMID: 28418896
- Author demonstrated that LRRK2 increases the expression of p53 and p21 by increasing the Mdm2 phosphorylation in response to DNA damage. Loss-of-function in LRRK2 has the opposite effect to that of LRRK2. PMID: 28973420
- Relevant SNPs in DNA repair (ERCC1 and ERCC5) and apoptosis (MDM2 and TP53) genes might influence the severity of radiation-related side-effects in HNSCC patients. Prospective clinical SNP-based validation studies are needed on these bases PMID: 28351583
- this is the first documentation of MDM2 amplification in laryngeal/hypopharyngeal well-differentiated liposarcomas PMID: 27492446
- The MDM2 309GG genotype was associated with higher risk of preeclampsia. PMID: 28508227
- A meta-analysis of case-control studies found that MDM2 rs2279744 (SNP309) and rs117039649 (SNP285) were both associated with the risk of gynecological cancers. Subgroup analysis showed that rs2279744 (SNP309) was associated with the risk of gynecological cancers in Caucasian and Asian according to the ethnicity and cancer type, especially for endometrial cancer. PMID: 29480845
- we here show that subgroups of SDCs display genomic amplifications of MDM2 and/or CDK4, partly in association with TP53 mutations and rearrangement/amplification of HMGA2. PMID: 27662657
顯示更多
收起更多
-
相關疾病:Seems to be amplified in certain tumors (including soft tissue sarcomas, osteosarcomas and gliomas). A higher frequency of splice variants lacking p53 binding domain sequences was found in late-stage and high-grade ovarian and bladder carcinomas. Four of the splice variants show loss of p53 binding.
-
亞細胞定位:Nucleus, nucleoplasm. Cytoplasm. Nucleus, nucleolus. Nucleus. Note=Expressed predominantly in the nucleoplasm. Interaction with ARF(P14) results in the localization of both proteins to the nucleolus. The nucleolar localization signals in both ARF(P14) and MDM2 may be necessary to allow efficient nucleolar localization of both proteins. Colocalizes with RASSF1 isoform A in the nucleus.
-
蛋白家族:MDM2/MDM4 family
-
組織特異性:Ubiquitous. Isoform Mdm2-A, isoform Mdm2-B, isoform Mdm2-C, isoform Mdm2-D, isoform Mdm2-E, isoform Mdm2-F and isoform Mdm2-G are observed in a range of cancers but absent in normal tissues.
-
數據庫鏈接:
Most popular with customers
-
-
YWHAB Recombinant Monoclonal Antibody
Applications: ELISA, WB, IHC, IF, FC
Species Reactivity: Human, Mouse, Rat
-
Phospho-YAP1 (S127) Recombinant Monoclonal Antibody
Applications: ELISA, WB, IHC
Species Reactivity: Human
-
-
-
-
-















