Phospho-DOK2 (Tyr299) Antibody
-
中文名稱:磷酸化-DOK2 (Tyr299)兔多克隆抗體
-
貨號:CSB-PA935588
-
規格:¥2454
-
圖片:
-
Western blot analysis of extracts from Jurkat cells untreated or treated with insulin using p56Dok-2(Phospho-Tyr299) Antibody.
-
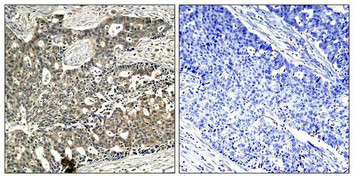
Immunohistochemical analysis of paraffin-embedded human breast carcinoma tissue using p56Dok-2(Phospho-Tyr299) Antibody(left) or the same antibody preincubated with blocking peptide(right).
-
Immunofluorescence staining of methanol-fixed Hela cells using p56Dok-2(Phospho-Tyr299) Antibody.
-
Western blot analysis of extracts from JK cells, treated with G-CSF or calf intestinal phosphatase (CIP), using p56Dok-2 (Phospho-Tyr299) Antibody.
-
-
其他:
產品詳情
-
產品名稱:Rabbit anti-Homo sapiens (Human) DOK2 Polyclonal antibody
-
Uniprot No.:
-
基因名:DOK2
-
宿主:Rabbit
-
反應種屬:Human
-
免疫原:Peptide sequence around phosphorylation site of tyrosine 299 (G-E-Y(p)-A-V) derived from Human p56Dok-2.
-
免疫原種屬:Homo sapiens (Human)
-
克隆類型:Polyclonal
-
純化方式:Antibodies were produced by immunizing rabbits with synthetic phosphopeptide and KLH conjugates. Antibodies were purified by affinity-chromatography using epitope-specific phosphopeptide. Non-phospho specific antibodies were removed by chromatogramphy usi
-
濃度:It differs from different batches. Please contact us to confirm it.
-
產品提供形式:Liquid
-
應用范圍:ELISA,WB,IHC,IF
-
推薦稀釋比:
Application Recommended Dilution WB 1:500-1:1000 IHC 1:50-1:100 IF 1:100-1:200 -
Protocols:
-
儲存條件:Upon receipt, store at -20°C or -80°C. Avoid repeated freeze.
-
貨期:Basically, we can dispatch the products out in 1-3 working days after receiving your orders. Delivery time maybe differs from different purchasing way or location, please kindly consult your local distributors for specific delivery time.
-
用途:For Research Use Only. Not for use in diagnostic or therapeutic procedures.
相關產品
靶點詳情
-
功能:DOK proteins are enzymatically inert adaptor or scaffolding proteins. They provide a docking platform for the assembly of multimolecular signaling complexes. DOK2 may modulate the cellular proliferation induced by IL-4, as well as IL-2 and IL-3. May be involved in modulating Bcr-Abl signaling. Attenuates EGF-stimulated MAP kinase activation.
-
基因功能參考文獻:
- In this report, the authors demonstrated that the cellular adaptor proteins Dok-2 and Dok-1 are tyrosine phosphorylated upon herpes simplex virus 1 infection. In addition, herpes simplex virus 1 induced the selective degradation of Dok-2. Finally, Dok-2 interacts with herpes simplex virus 1 VP11/12, and that herpes simplex virus 1-induced tyrosine phosphorylation and degradation of Dok-2 require VP11/12. PMID: 28841444
- DOK2 and DOK3 expression was significantly reduced in HTLV-1-infected T cells. PMID: 27265473
- point mutations in DOK1 and DOK2 genes are detected with low frequency in chronic myelomonocytic leukemia but may have consequences for the function of the DOK2 PTB domain PMID: 25252871
- Taken together, these results reveal that Dok1 and Dok2 proteins are involved in an intrinsic negative feedback loop downstream of natural killer-cell-activating receptors in mouse and human. PMID: 24963146
- DOK2 as a tumor suppressor in EGFR-mutant lung adenocarcinoma PMID: 24255704
- DOK2 is a marker of poor prognosis in patients with gastric cancer after curative resection PMID: 22130622
- Data indicate there was no evidence of DOK2 somatic mutation in the leukemias analyzed. PMID: 21329978
- data indicate that DOK2 is altered in gastric (GC) and colorectal cancers (CRC) by loss of expressions; data indicate that somatic mutation of DOK2 may be rare in GC, CRC, breast cancer, prostate cancer and liver cancer PMID: 21749457
- Dok1 negatively regulates Dok2-mediated CD200R signaling through the recruitment of CrkL. PMID: 21078907
- Identification of DOK genes as lung tumor suppressors. PMID: 20139980
- identified tyrosine residue 1106 on Tie2 as an Angiopoietin 1-dependent autophosphorylation site that mediates binding and phosphorylation of the downstream-of-kinase-related (Dok-R) docking protein PMID: 12665569
- Dok-R and c-Abl interact in both a constitutive and inducible fashion and Dok-R influences the intracellular kinase and biological activity of c-Abl PMID: 12777393
- Dok-2 tyrosine phosphorylation was also found to be involved in collagen receptor, glycoprotein VI (GPVI), signaling as well as in outside-in signaling through the major platelet integrin, alpha IIIb beta 3 PMID: 14645010
- DOK1 and DOK2 interact with the Tec protein tyrosine kinase. PMID: 14647425
- Dok-R acts as an EGFR-recruited scaffolding molecule that processively assembles c-Src and Csk to attenuate signaling from the EGFR. PMID: 15831486
- Phosphotyrosine-binding mediated oligomerization of Dok-1 and Dok-2 represents an essential step for Dok phosphorylation and function. PMID: 16177091
- The data provide evidence that DOK2 protein has a role in regulating cell proliferation and differentiation and is positive regulators of the MAPK signaling pathway in this context. PMID: 16823827
- Dok-2 is a critical element of a linker for activation of T cells (LAT)-dependent negative feedback loop that attenuates early T-cell receptor (TCR) signal. PMID: 17043143
- results demonstrate differential modes of regulation of Dok1 and Dok2 in platelets, and raise the possibility that Dok2 plays an important role in integrin outside-in signaling through a physical and functional interaction with integrin alphaIIbbeta3 PMID: 17092301
- Dok-1/Dok-2 pleckstrin homology domains bind in vitro to the rare phosphoinositide species, phosphatidylinositol 5-phosphate PMID: 19299694
- CD200R inhibits the activation of human myeloid cells through direct recruitment of Dok2 and subsequent activation of RAS p21 protein activator 1. PMID: 19786546
顯示更多
收起更多
-
蛋白家族:DOK family, Type A subfamily
-
組織特異性:Highly expressed in peripheral blood leukocytes, lymph nodes and spleen. Lower expression in thymus, bone marrow and fetal liver.
-
數據庫鏈接:
Most popular with customers
-
-
YWHAB Recombinant Monoclonal Antibody
Applications: ELISA, WB, IHC, IF, FC
Species Reactivity: Human, Mouse, Rat
-
Phospho-YAP1 (S127) Recombinant Monoclonal Antibody
Applications: ELISA, WB, IHC
Species Reactivity: Human
-
-
-
-
-















